IHCeasy® SLC30A6/ZNT6 Ready-To-Use IHC Kit
SLC30A6/ZNT6 Ready-to-use reagent kit for IHC.
Reactivity
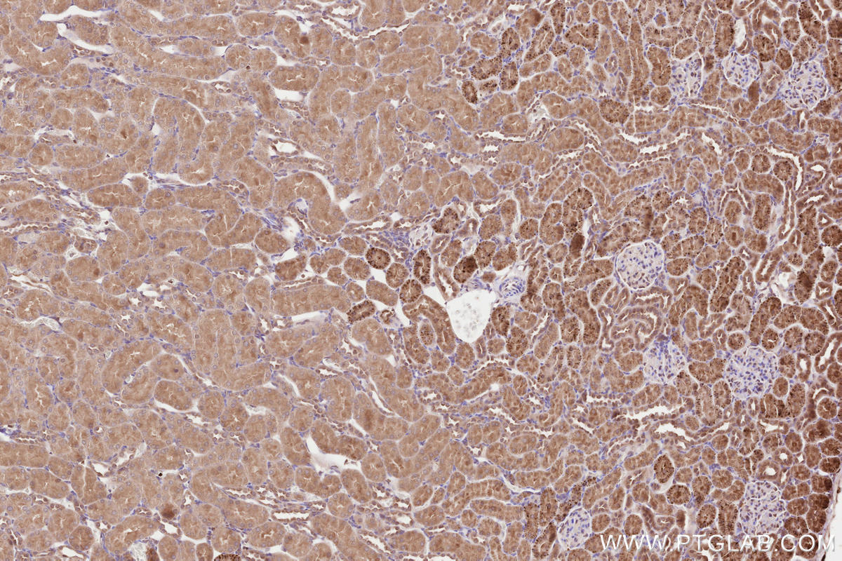
Human, Mouse, Rat
Sample Type
FFPE tissue
Cat no : KHC2583
Synonyms
SLC30A6,ZnT 6,ZNT6,ZnT-6
Validation Data Gallery
Product Information
KHC2583 is a ready-to-use IHC kit for staining of SLC30A6/ZNT6. The kit provides all reagents, from antigen retrieval to cover slip mounting, that require little to no diluting or handling prior to use. Simply apply the reagents to your sample slide according to the protocol and you're steps away from obtaining high-quality IHC data.
| Product name | IHCeasy SLC30A6/ZNT6 Ready-To-Use IHC Kit |
| Sample type | FFPE tissue |
| Assay type | Immunohistochemistry |
| Primary antibody type | Rabbit Polyclonal |
| Secondary antibody type | Polymer-HRP-Goat anti-Rabbit |
| Reactivity | Human, Mouse, Rat |
Kit components
| Component | Size | Concentration |
|---|---|---|
| Antigen Retrieval Buffer | 100 mL | 50× |
| Washing Buffer | 100 mL ×2 | 20× |
| Blocking Buffer | 5 mL | RTU |
| Primary Antibody | 5 mL | RTU |
| Secondary Antibody | 5 mL | RTU |
| Chromogen Component A | 0.2 mL | RTU |
| Chromogen Component B | 4 mL | RTU |
| Signal Enhancer | 5 mL | RTU |
| Counter Staining Reagent | 5 mL | RTU |
| Mounting Media | 5 mL | RTU |
| Datasheet | 1 Copy | |
| Manual | 1 Copy |
Background Information
ZnT6 (encoded by SLC30A6) is a member of zinc transporters. ZnT6 is localized on the membrane of the Golgi apparatus as well as cytoplasmic vesicles. It may function in transporting the cytoplasmic zinc into the Golgi apparatus as well as the vesicular compartment. Altered expression of ZnT6 may correlate to neural diseases including Alzheimer's disease.
Properties
| Storage Instructions | All the reagents are stored at 2-8°C. The kit is stable for 6 months from the date of receipt. |
| Synonyms | SLC30A6,ZnT 6,ZNT6,ZnT-6 |







