IHCeasy® SKP2 Ready-To-Use IHC Kit
SKP2 Ready-to-use reagent kit for IHC.
Reactivity
Human, Mouse, Rat
Sample Type
FFPE tissue
Cat no : KHC1709
Synonyms
F box protein Skp2, F box/LRR repeat protein 1, FBL1, FBXL1, FLB1, p45skp2, SKP2
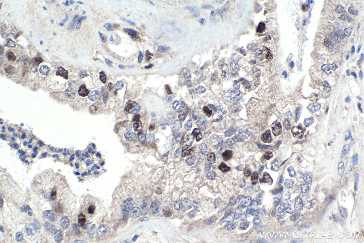
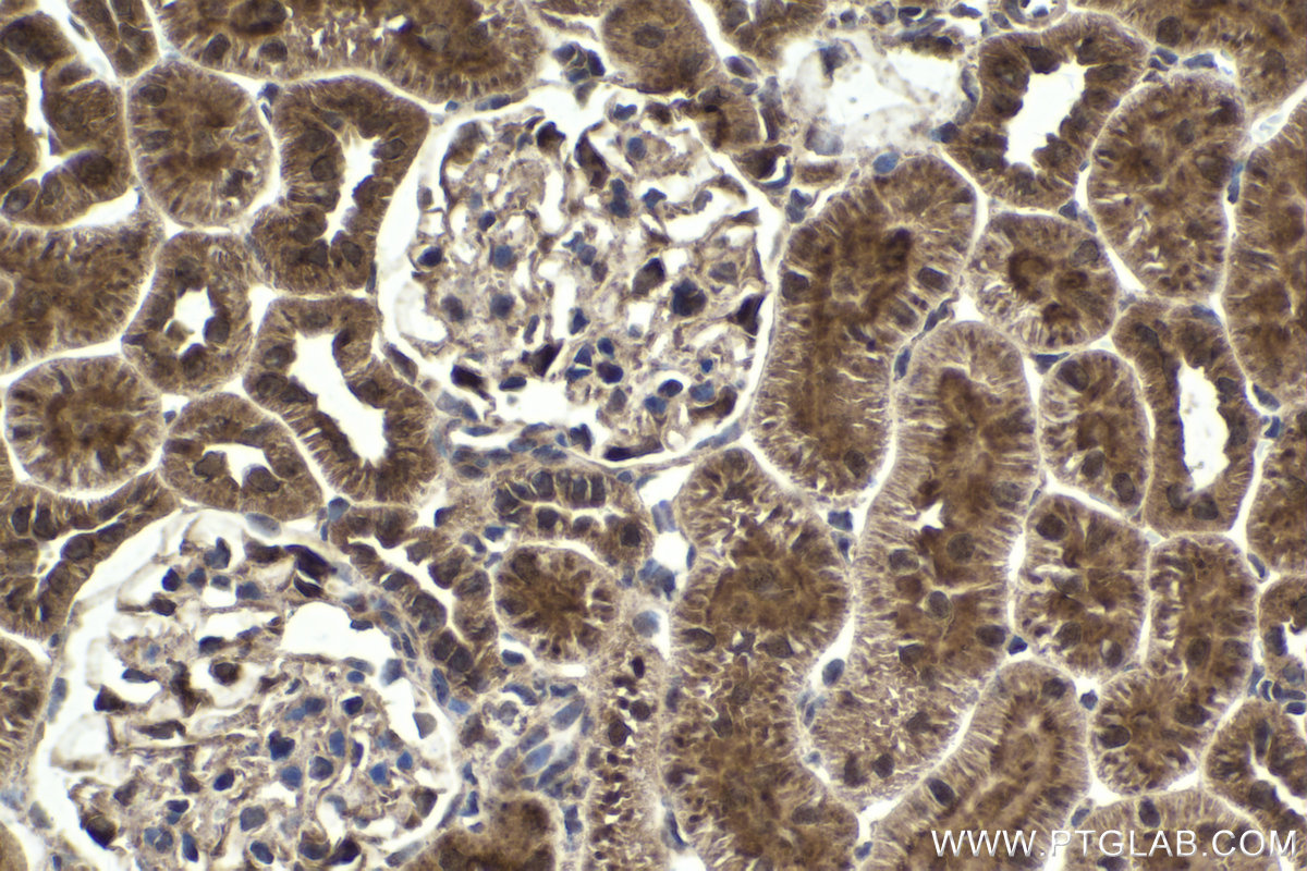
Validation Data Gallery
Product Information
KHC1709 is a ready-to-use IHC kit for staining of SKP2. The kit provides all reagents, from antigen retrieval to cover slip mounting, that require little to no diluting or handling prior to use. Simply apply the reagents to your sample slide according to the protocol and you're steps away from obtaining high-quality IHC data.
| Product name | IHCeasy SKP2 Ready-To-Use IHC Kit |
| Sample type | FFPE tissue |
| Assay type | Immunohistochemistry |
| Primary antibody type | Rabbit Polyclonal |
| Secondary antibody type | Polymer-HRP-Goat anti-Rabbit |
| Reactivity | Human, Mouse, Rat |
Kit components
| Component | Size | Concentration |
|---|---|---|
| Antigen Retrieval Buffer | 100 mL | 50× |
| Washing Buffer | 100 mL ×2 | 20× |
| Blocking Buffer | 5 mL | RTU |
| Primary Antibody | 5 mL | RTU |
| Secondary Antibody | 5 mL | RTU |
| Chromogen Component A | 0.2 mL | RTU |
| Chromogen Component B | 4 mL | RTU |
| Signal Enhancer | 5 mL | RTU |
| Counter Staining Reagent | 5 mL | RTU |
| Mounting Media | 5 mL | RTU |
| Datasheet | 1 Copy | |
| Manual | 1 Copy |
Background Information
SKP2(S-phase kinase-associated protein 2) is also named as FBXL1 and belongs to the F-box family. It regulates cellular proliferation by targeting several cell cycle-regulated proteins for ubiquitination and degradation, including cyclin-dependent kinase inhibitor CDKN1B. The acetylation of SKP2 in the nuclear localization signal (NLS) can promote its cytoplasmic retention, and cytoplasmic SKP2 enhances cellular migration through ubiquitination and destruction of CDH.
Properties
| Storage Instructions | All the reagents are stored at 2-8°C. The kit is stable for 6 months from the date of receipt. |
| Synonyms | F box protein Skp2, F box/LRR repeat protein 1, FBL1, FBXL1, FLB1, p45skp2, SKP2 |






