IHCeasy® SIX4 Ready-To-Use IHC Kit
SIX4 Ready-to-use reagent kit for IHC.
Reactivity
Human, Mouse
Sample Type
FFPE tissue
Cat no : KHC1988
Synonyms
AREC3, Homeobox protein SIX4, Sine oculis homeobox homolog 4, SIX homeobox 4, SIX4
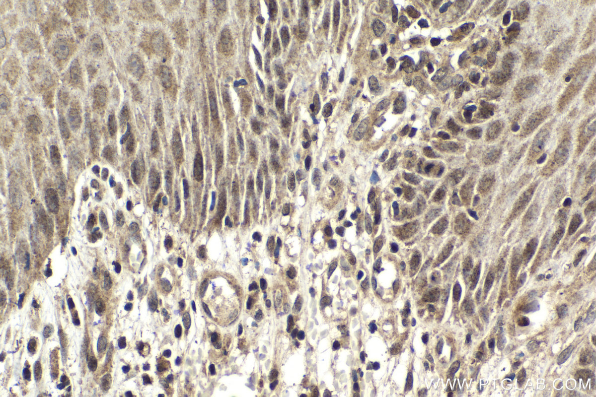
Validation Data Gallery
Product Information
KHC1988 is a ready-to-use IHC kit for staining of SIX4. The kit provides all reagents, from antigen retrieval to cover slip mounting, that require little to no diluting or handling prior to use. Simply apply the reagents to your sample slide according to the protocol and you're steps away from obtaining high-quality IHC data.
| Product name | IHCeasy SIX4 Ready-To-Use IHC Kit |
| Sample type | FFPE tissue |
| Assay type | Immunohistochemistry |
| Primary antibody type | Rabbit Polyclonal |
| Secondary antibody type | Polymer-HRP-Goat anti-Rabbit |
| Reactivity | Human, Mouse |
Kit components
| Component | Size | Concentration |
|---|---|---|
| Antigen Retrieval Buffer | 100 mL | 50× |
| Washing Buffer | 100 mL ×2 | 20× |
| Blocking Buffer | 5 mL | RTU |
| Primary Antibody | 5 mL | RTU |
| Secondary Antibody | 5 mL | RTU |
| Chromogen Component A | 0.2 mL | RTU |
| Chromogen Component B | 4 mL | RTU |
| Signal Enhancer | 5 mL | RTU |
| Counter Staining Reagent | 5 mL | RTU |
| Mounting Media | 5 mL | RTU |
| Datasheet | 1 Copy | |
| Manual | 1 Copy |
Background Information
The Six (sine oculis) proteins are a family of homeodomain transcription factors that share a conserved DNA-binding domain and are human homologs of the Drosophila sine oculis (so) protein. SIX homeobox 4 (SIX4), also known as AREC3, belongs to the the Six family. Six4 contains one Six domain (which funtions as a homeobox DNA-binding motif) and shares 90% sequence similarity with its mouse counterpart, suggesting that both proteins have similar DNA-binding properties. SIX4 is thought to be involved in neurogenesis, myogenesis, and development of other organs, based on its specific expression in certain neuronal cells of the developing embryo and in adult skeletal muscles.
Properties
| Storage Instructions | All the reagents are stored at 2-8°C. The kit is stable for 6 months from the date of receipt. |
| Synonyms | AREC3, Homeobox protein SIX4, Sine oculis homeobox homolog 4, SIX homeobox 4, SIX4 |



