IHCeasy® SERTAD1 Ready-To-Use IHC Kit
SERTAD1 Ready-to-use reagent kit for IHC.
Reactivity
Human, Mouse
Sample Type
FFPE tissue
Cat no : KHC3011
Synonyms
SEI 1, SEI1, SEI-1, SERTA domain-containing protein 1, SERTAD 1
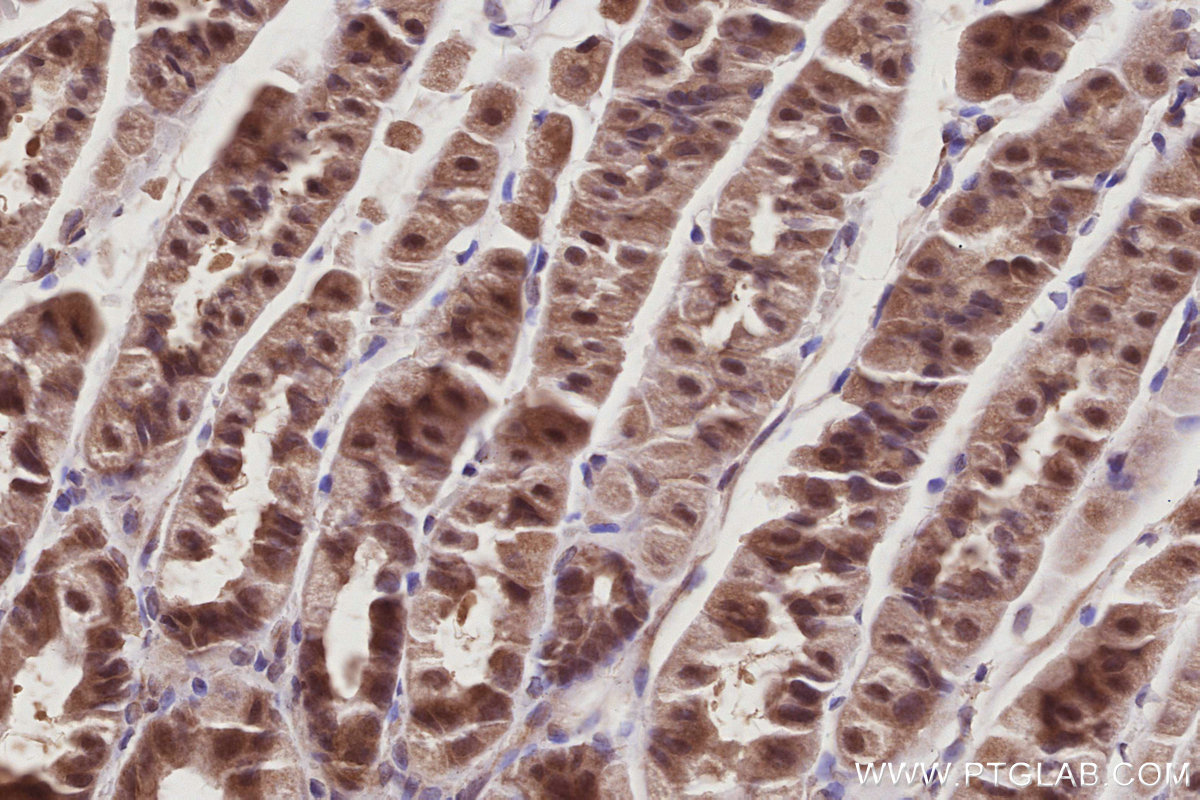
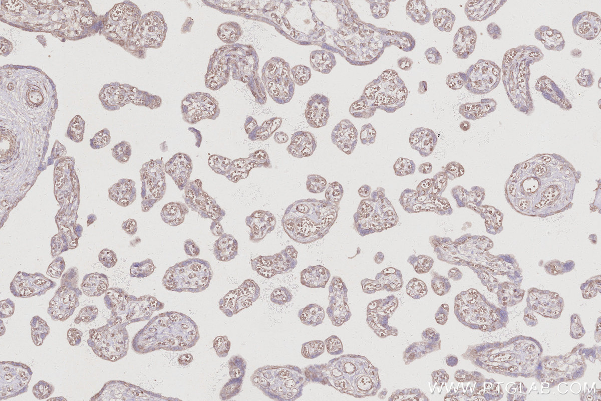
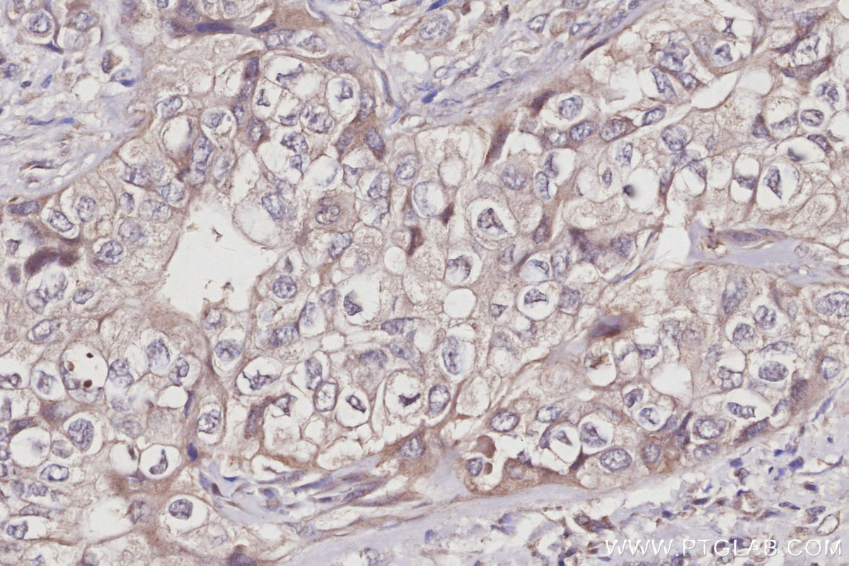
Validation Data Gallery
Product Information
KHC3011 is a ready-to-use IHC kit for staining of SERTAD1. The kit provides all reagents, from antigen retrieval to cover slip mounting, that require little to no diluting or handling prior to use. Simply apply the reagents to your sample slide according to the protocol and you're steps away from obtaining high-quality IHC data.
| Product name | IHCeasy® SERTAD1 Ready-To-Use IHC Kit |
| Sample type | FFPE tissue |
| Assay type | Immunohistochemistry |
| Primary antibody type | Rabbit Polyclonal |
| Secondary antibody type | Polymer-HRP-Goat anti-Rabbit |
| Reactivity | Human, Mouse |
Kit components
| Component | Size | Concentration |
|---|---|---|
| Antigen Retrieval Buffer | 100 mL | 50× |
| Washing Buffer | 100 mL ×2 | 20× |
| Blocking Buffer | 5 mL | RTU |
| Primary Antibody | 5 mL | RTU |
| Secondary Antibody | 5 mL | RTU |
| Chromogen Component A | 0.2 mL | RTU |
| Chromogen Component B | 4 mL | RTU |
| Signal Enhancer | 5 mL | RTU |
| Counter Staining Reagent | 5 mL | RTU |
| Mounting Media | 5 mL | RTU |
| Datasheet | 1 Copy | |
| Manual | 1 Copy |
Background Information
SERTA domain containing 1 (SERTAD1, synonyms: SEI1, TRIP-Br1) protein is a cyclin-dependent kinase 4 (cdk4)-binding protein and acts as a growth factor sensor and facilitates the formation and activation of cyclin D-CDK complexes in the face of inhibitory levels of INK4 proteins, therefore, antagonizes the activity of p16(INK4a) tumor suppressor. SERTAD1 also suppresses CREB-mediated transcription and regulates cell cycle progression through sequential effects on the transcriptional activity of E2F-responsive promoters during G(1) and S phases.
Properties
| Storage Instructions | All the reagents are stored at 2-8°C. The kit is stable for 6 months from the date of receipt. |
| Synonyms | SEI 1, SEI1, SEI-1, SERTA domain-containing protein 1, SERTAD 1 |





