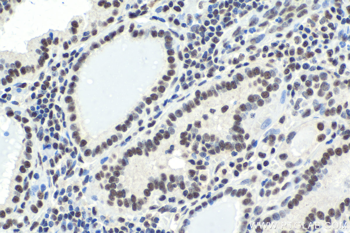
IHCeasy® SAFB Ready-To-Use IHC Kit
SAFB Ready-to-use reagent kit for IHC.
Reactivity
Human, Mouse, Rat
Sample Type
FFPE tissue
Cat no : KHC1752
Synonyms
HAP, HET, HSP27 ERE TATA binding protein, SAF B, SAF B1, SAFB, SAFB1, scaffold attachment factor B, Scaffold attachment factor B1
Validation Data Gallery
Product Information
KHC1752 is a ready-to-use IHC kit for staining of SAFB. The kit provides all reagents, from antigen retrieval to cover slip mounting, that require little to no diluting or handling prior to use. Simply apply the reagents to your sample slide according to the protocol and you're steps away from obtaining high-quality IHC data.
| Product name | IHCeasy SAFB Ready-To-Use IHC Kit |
| Sample type | FFPE tissue |
| Assay type | Immunohistochemistry |
| Primary antibody type | Rabbit Polyclonal |
| Secondary antibody type | Polymer-HRP-Goat anti-Rabbit |
| Reactivity | Human, Mouse, Rat |
Kit components
| Component | Size | Concentration |
|---|---|---|
| Antigen Retrieval Buffer | 100 mL | 50× |
| Washing Buffer | 100 mL ×2 | 20× |
| Blocking Buffer | 5 mL | RTU |
| Primary Antibody | 5 mL | RTU |
| Secondary Antibody | 5 mL | RTU |
| Chromogen Component A | 0.2 mL | RTU |
| Chromogen Component B | 4 mL | RTU |
| Signal Enhancer | 5 mL | RTU |
| Counter Staining Reagent | 5 mL | RTU |
| Mounting Media | 5 mL | RTU |
| Datasheet | 1 Copy | |
| Manual | 1 Copy |
Background Information
Heterogeneous nuclear ribonucleoproteins (hnRNPs) constitute a set of polypeptides that contribute to pre-mRNA processing and transport. hnRNPs also bind heterogeneous nuclear RNA (hnRNA), the transcripts produced by RNA polymerase II. SAFB (scaffold attachment factor B) is a nuclear matrix-associated protein that binds to matrix- or scaffold-associating regions (MARs or SARs) on DNA and interacts with RNA polymerase II and serine-/arginine-rich RNA processing factors (SR proteins). SAFB, also designated HAP (hnRNP A1 associated protein) and HET (HSP 27-ERE-TATA-binding protein) is a proven hnRNP protein that has a speckled distribution in the nucleus and, in response to stress agents such as heat shock, is recruited to a few, large nuclear granules, called perichromatin granules. SAFB also binds to the estrogen receptor (ER) and is expressed in several breast cancer cell lines at varying levels. Subsequently, SAFB may play a role in breast cancer by mediating cellular proliferation and division.
Properties
| Storage Instructions | All the reagents are stored at 2-8°C. The kit is stable for 6 months from the date of receipt. |
| Synonyms | HAP, HET, HSP27 ERE TATA binding protein, SAF B, SAF B1, SAFB, SAFB1, scaffold attachment factor B, Scaffold attachment factor B1 |





