IHCeasy® Ribophorin I Ready-To-Use IHC Kit
Ribophorin I Ready-to-use reagent kit for IHC.
Reactivity
Human, Mouse, Rat
Sample Type
FFPE tissue
Cat no : KHC3169
Synonyms
RPN1, Dolichyl-diphosphooligosaccharide--protein glycosyltransferase 67 kDa subunit, Dolichyl-diphosphooligosaccharide--protein glycosyltransferase subunit 1, Ribophorin-1, RPN-I
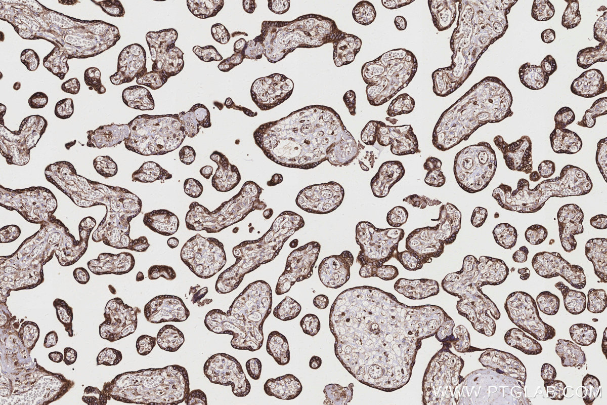
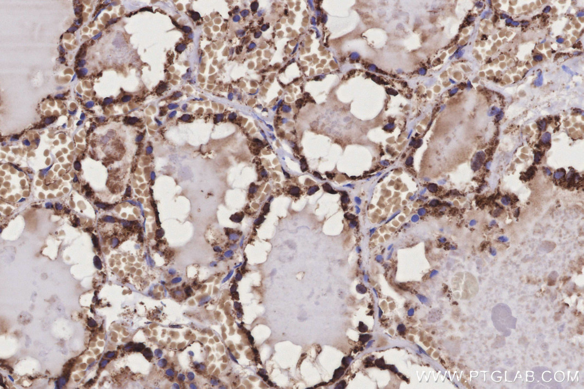
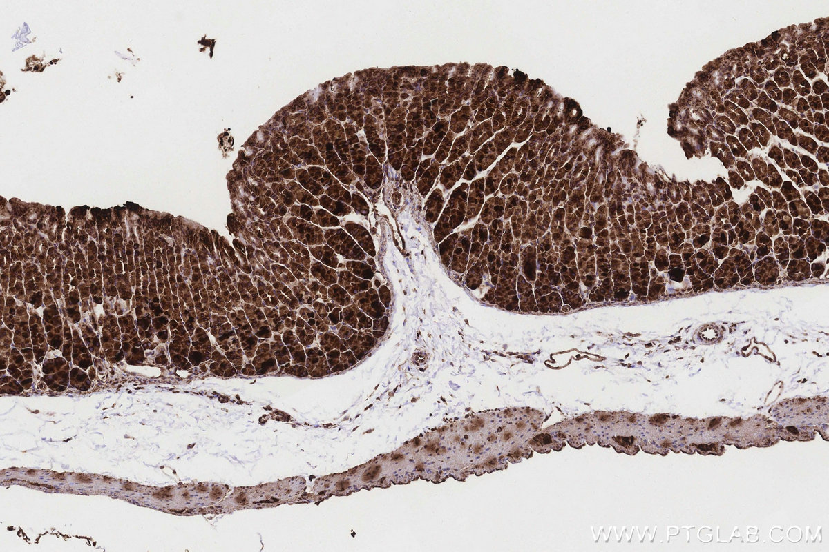
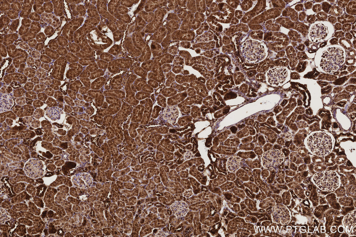
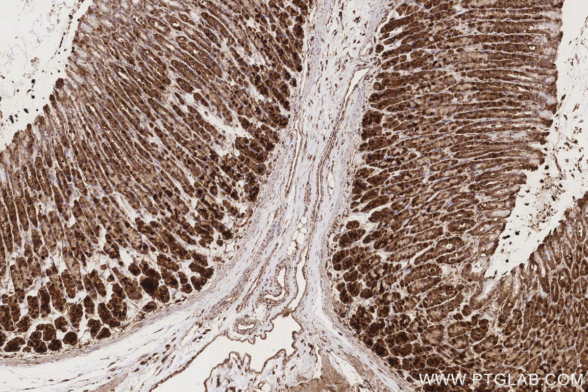
Validation Data Gallery
Product Information
KHC3169 is a ready-to-use IHC kit for staining of Ribophorin I. The kit provides all reagents, from antigen retrieval to cover slip mounting, that require little to no diluting or handling prior to use. Simply apply the reagents to your sample slide according to the protocol and you're steps away from obtaining high-quality IHC data.
| Product name | IHCeasy® Ribophorin I Ready-To-Use IHC Kit |
| Sample type | FFPE tissue |
| Assay type | Immunohistochemistry |
| Primary antibody type | Rabbit Recombinant |
| Secondary antibody type | Polymer-HRP-Goat anti-Rabbit |
| Reactivity | Human, Mouse, Rat |
Kit components
| Component | Size | Concentration |
|---|---|---|
| Antigen Retrieval Buffer | 100 mL | 50× |
| Washing Buffer | 100 mL ×2 | 20× |
| Blocking Buffer | 5 mL | RTU |
| Primary Antibody | 5 mL | RTU |
| Secondary Antibody | 5 mL | RTU |
| Chromogen Component A | 0.2 mL | RTU |
| Chromogen Component B | 4 mL | RTU |
| Signal Enhancer | 5 mL | RTU |
| Counter Staining Reagent | 5 mL | RTU |
| Mounting Media | 5 mL | RTU |
| Datasheet | 1 Copy | |
| Manual | 1 Copy |
Background Information
Ribophorin I, also named as RPN1, is a key protein component of the oligosaccharyltransferase (OST) complex, which is embedded in the membrane of the rough endoplasmic reticulum (RER). It plays a crucial role in the process of N-linked glycosylation, a post-translational modification essential for the proper folding, stability, and function of many secretory and membrane-bound proteins. Ribophorin I, along with Ribophorin II, forms a heterodimeric complex that facilitates the transfer of oligosaccharides from a lipid-linked donor to specific asparagine residues on nascent polypeptide chains.
Properties
| Storage Instructions | All the reagents are stored at 2-8°C. The kit is stable for 6 months from the date of receipt. |
| Synonyms | RPN1, Dolichyl-diphosphooligosaccharide--protein glycosyltransferase 67 kDa subunit, Dolichyl-diphosphooligosaccharide--protein glycosyltransferase subunit 1, Ribophorin-1, RPN-I |






