IHCeasy® RUVBL1 Ready-To-Use IHC Kit
RUVBL1 Ready-to-use reagent kit for IHC.
Reactivity
Human, Mouse, Rat
Sample Type
FFPE tissue
Cat no : KHC0828
Synonyms
49 kDa TBP interacting protein, ECP 54, ECP54, INO80 complex subunit H, INO80H, Nuclear matrix protein 238, PONTIN, Pontin 52, Pontin52, RuvB like 1, RuvB like 1 (E. coli), RUVBL1, RVB1, TAP54 alpha, TIH1, TIP49, TIP49A
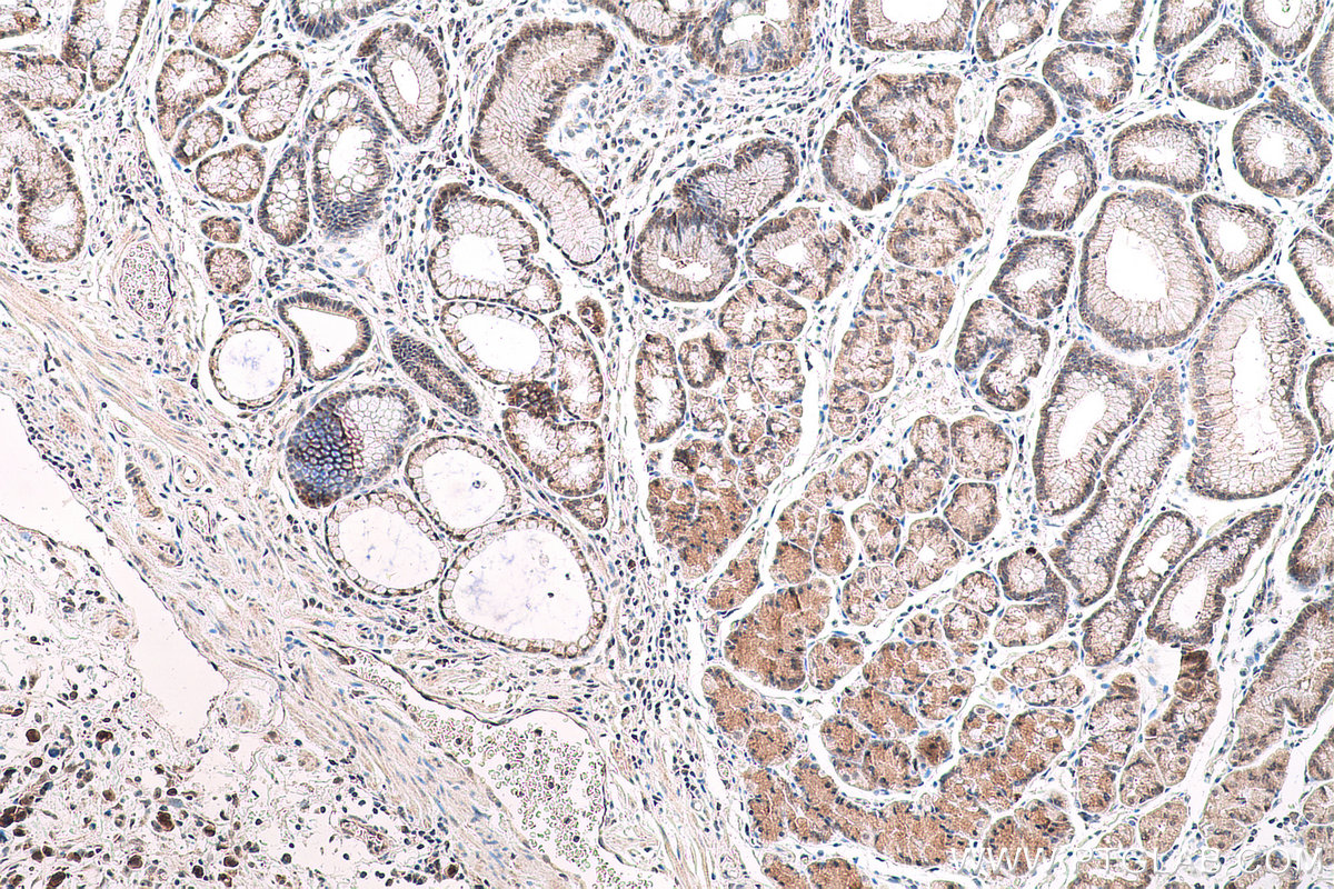
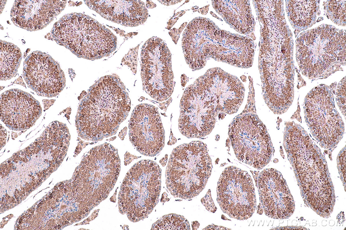
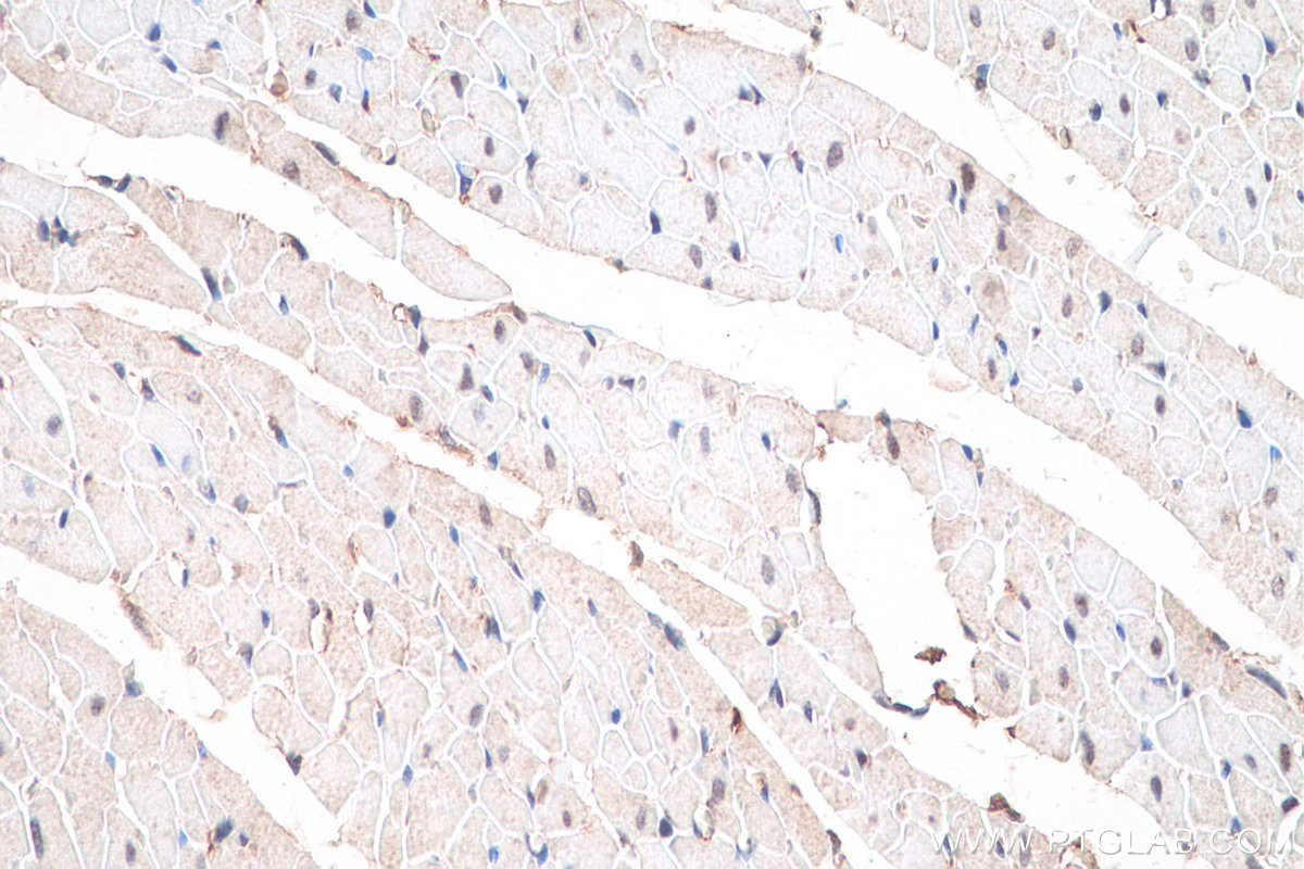
Validation Data Gallery
Product Information
KHC0828 is a ready-to-use IHC kit for staining of RUVBL1. The kit provides all reagents, from antigen retrieval to cover slip mounting, that require little to no diluting or handling prior to use. Simply apply the reagents to your sample slide according to the protocol and you're steps away from obtaining high-quality IHC data.
| Product name | IHCeasy RUVBL1 Ready-To-Use IHC Kit |
| Sample type | FFPE tissue |
| Assay type | Immunohistochemistry |
| Primary antibody type | Mouse Monoclonal |
| Secondary antibody type | Polymer-HRP-Goat anti-Mouse |
| Reactivity | Human, Mouse, Rat |
Kit components
| Component | Size | Concentration |
|---|---|---|
| Antigen Retrieval Buffer | 100 mL | 50× |
| Washing Buffer | 100 mL ×2 | 20× |
| Blocking Buffer | 5 mL | RTU |
| Primary Antibody | 5 mL | RTU |
| Secondary Antibody | 5 mL | RTU |
| Chromogen Component A | 0.2 mL | RTU |
| Chromogen Component B | 4 mL | RTU |
| Signal Enhancer | 5 mL | RTU |
| Counter Staining Reagent | 5 mL | RTU |
| Mounting Media | 5 mL | RTU |
| Datasheet | 1 Copy | |
| Manual | 1 Copy |
Background Information
RUVBL1 is a member of the AAA (ATPase associated with diverse cellular activities) family of proteins that is associated with several chromatin-remodelling complexes and has important roles in transcriptional regulation, the DNA damage response, telomerase activity, snoRNP assembly, cellular transformation and cancer metastasis. It consists of 456 amino acids and interacts with TATA-binding protein (TBP), which is a central component for transcriptional regulation by forming complexes with various transcription regulators. RUVBL1 is a component of a large nuclear protein complex, possibly the RNA polymerase II holoenzyme. RUVBL1 is also highly homologous to RuvB proteins that function as a DNA helicase promote branch migration of the Holliday junction.
Properties
| Storage Instructions | All the reagents are stored at 2-8°C. The kit is stable for 6 months from the date of receipt. |
| Synonyms | 49 kDa TBP interacting protein, ECP 54, ECP54, INO80 complex subunit H, INO80H, Nuclear matrix protein 238, PONTIN, Pontin 52, Pontin52, RuvB like 1, RuvB like 1 (E. coli), RUVBL1, RVB1, TAP54 alpha, TIH1, TIP49, TIP49A |







