IHCeasy® RPS3 Ready-To-Use IHC Kit
RPS3 Ready-to-use reagent kit for IHC.
Reactivity
Human, Mouse, Rat
Sample Type
FFPE tissue
Cat no : KHC1560
Synonyms
40S ribosomal protein S3, Cell and organelle markers, ribosomal protein S3, Ribosome Marker, RPS3
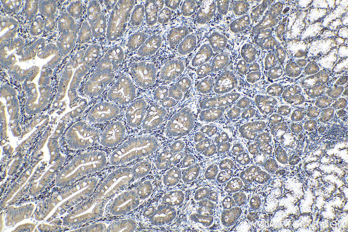
Validation Data Gallery
Product Information
KHC1560 is a ready-to-use IHC kit for staining of RPS3. The kit provides all reagents, from antigen retrieval to cover slip mounting, that require little to no diluting or handling prior to use. Simply apply the reagents to your sample slide according to the protocol and you're steps away from obtaining high-quality IHC data.
| Product name | IHCeasy RPS3 Ready-To-Use IHC Kit |
| Sample type | FFPE tissue |
| Assay type | Immunohistochemistry |
| Primary antibody type | Mouse Monoclonal |
| Secondary antibody type | Polymer-HRP-Goat anti-Mouse |
| Reactivity | Human, Mouse, Rat |
Kit components
| Component | Size | Concentration |
|---|---|---|
| Antigen Retrieval Buffer | 100 mL | 50× |
| Washing Buffer | 100 mL ×2 | 20× |
| Blocking Buffer | 5 mL | RTU |
| Primary Antibody | 5 mL | RTU |
| Secondary Antibody | 5 mL | RTU |
| Chromogen Component A | 0.2 mL | RTU |
| Chromogen Component B | 4 mL | RTU |
| Signal Enhancer | 5 mL | RTU |
| Counter Staining Reagent | 5 mL | RTU |
| Mounting Media | 5 mL | RTU |
| Datasheet | 1 Copy | |
| Manual | 1 Copy |
Background Information
40S ribosomal protein S3 (RPS3), also named as SW-cl. 26, is a 243 amino acid protein,which contains one KH type-2 domain and belongs to the ribosomal protein S3P family. RPS3 localizes in the cytoplasm. RPS3 is identified in a IGF2BP1-dependent mRNP granule complex, which contains untranslated mRNAs. RPS3 plays a role in repairing various DNA damage acting as a repair UV endonuclease. Nuclear accumulation of RPS3 results in an increase in DNA repair activity to some extent, thereby sustaining neuronal survival.
Properties
| Storage Instructions | All the reagents are stored at 2-8°C. The kit is stable for 6 months from the date of receipt. |
| Synonyms | 40S ribosomal protein S3, Cell and organelle markers, ribosomal protein S3, Ribosome Marker, RPS3 |





