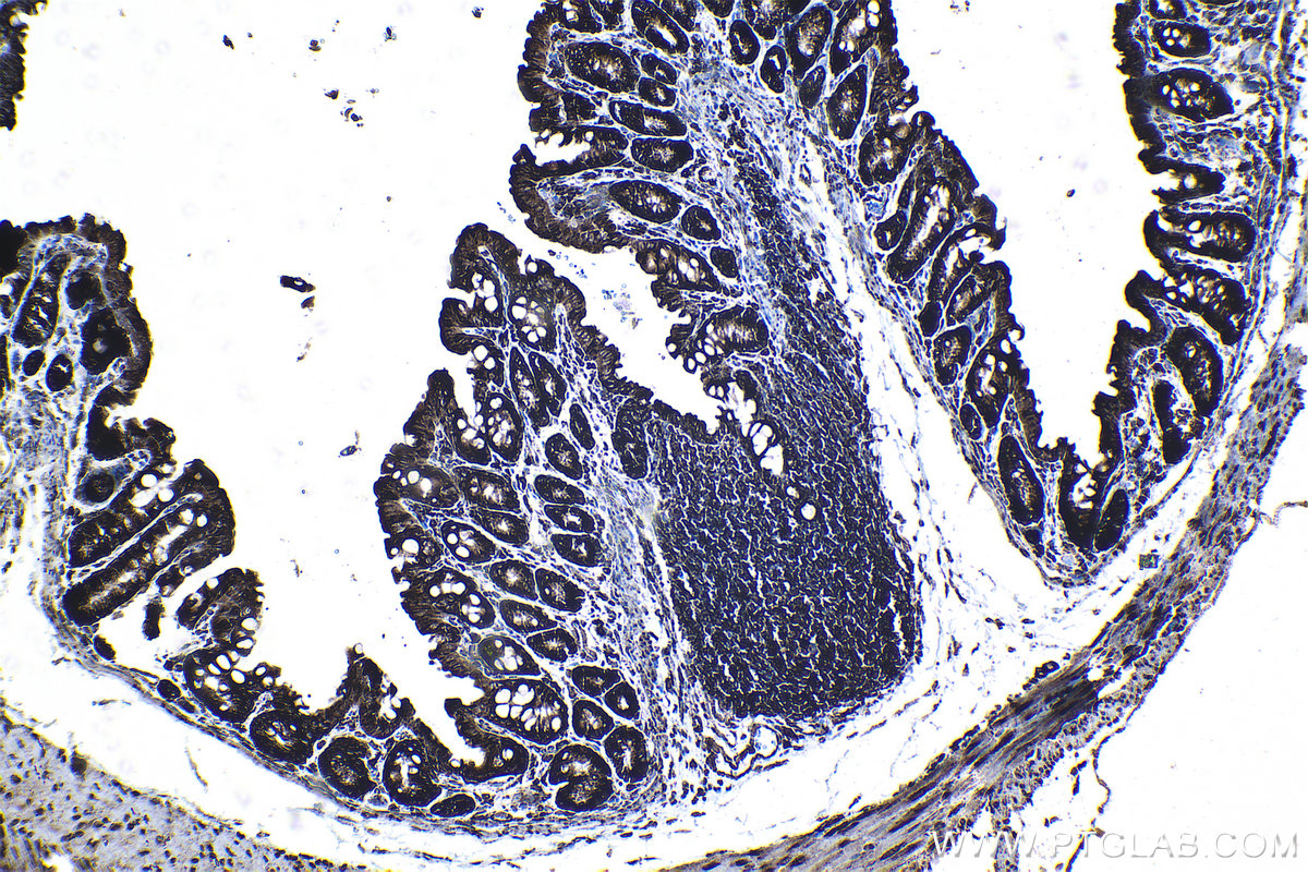
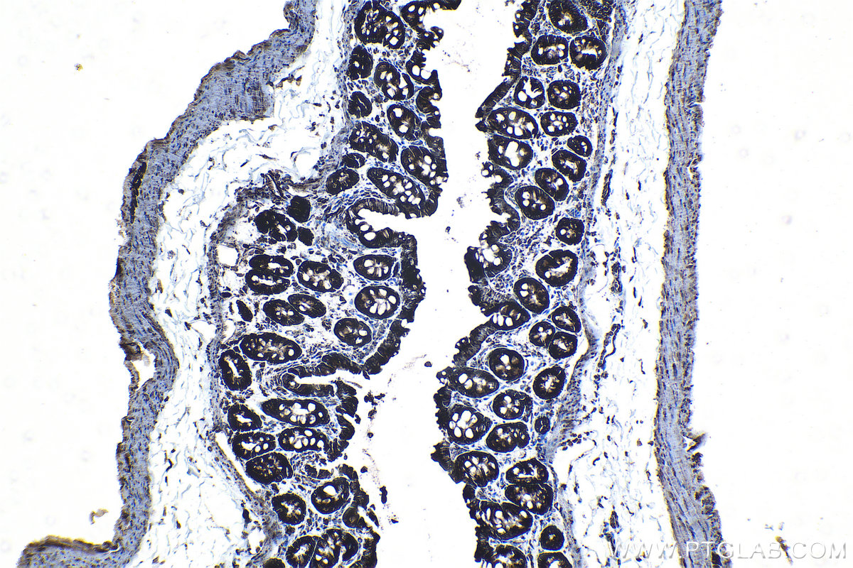
IHCeasy® RPL7A Ready-To-Use IHC Kit
RPL7A Ready-to-use reagent kit for IHC.
Reactivity
Human, Mouse, Rat
Sample Type
FFPE tissue
Cat no : KHC1265
Synonyms
60S ribosomal protein L7a, PLA X polypeptide, ribosomal protein L7a, RPL7A, SURF 3, SURF3, Surfeit locus protein 3, TRUP
Validation Data Gallery
Product Information
KHC1265 is a ready-to-use IHC kit for staining of RPL7A. The kit provides all reagents, from antigen retrieval to cover slip mounting, that require little to no diluting or handling prior to use. Simply apply the reagents to your sample slide according to the protocol and you're steps away from obtaining high-quality IHC data.
| Product name | IHCeasy RPL7A Ready-To-Use IHC Kit |
| Sample type | FFPE tissue |
| Assay type | Immunohistochemistry |
| Primary antibody type | Rabbit Polyclonal |
| Secondary antibody type | Polymer-HRP-Goat anti-Rabbit |
| Reactivity | Human, Mouse, Rat |
Kit components
| Component | Size | Concentration |
|---|---|---|
| Antigen Retrieval Buffer | 100 mL | 50× |
| Washing Buffer | 100 mL ×2 | 20× |
| Blocking Buffer | 5 mL | RTU |
| Primary Antibody | 5 mL | RTU |
| Secondary Antibody | 5 mL | RTU |
| Chromogen Component A | 0.2 mL | RTU |
| Chromogen Component B | 4 mL | RTU |
| Signal Enhancer | 5 mL | RTU |
| Counter Staining Reagent | 5 mL | RTU |
| Mounting Media | 5 mL | RTU |
| Datasheet | 1 Copy | |
| Manual | 1 Copy |
Background Information
Ribosomal proteins are a major component of ribosomes, which catalyze protein synthesis. RPL7a, which is a component of the 60S large ribosomal subunit, has additional functions involved in cell growth and differentiation that occur via interaction with human thyroid hormone receptor (THR) and retinoic acid receptor (RAR) and in turn inhibit the activities of the two nuclear hormone receptors.
Properties
| Storage Instructions | All the reagents are stored at 2-8°C. The kit is stable for 6 months from the date of receipt. |
| Synonyms | 60S ribosomal protein L7a, PLA X polypeptide, ribosomal protein L7a, RPL7A, SURF 3, SURF3, Surfeit locus protein 3, TRUP |







