IHCeasy® ROR1 Ready-To-Use IHC Kit
ROR1 Ready-to-use reagent kit for IHC.
Reactivity
Human
Sample Type
FFPE tissue
Cat no : KHC0819
Synonyms
NTRKR1, ROR1
Validation Data Gallery
Product Information
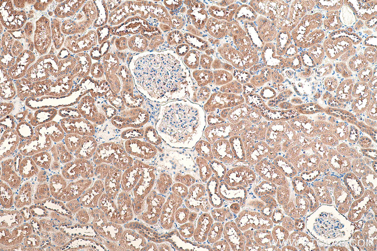
KHC0819 is a ready-to-use IHC kit for staining of ROR1. The kit provides all reagents, from antigen retrieval to cover slip mounting, that require little to no diluting or handling prior to use. Simply apply the reagents to your sample slide according to the protocol and you're steps away from obtaining high-quality IHC data.
| Product name | IHCeasy ROR1 Ready-To-Use IHC Kit |
| Sample type | FFPE tissue |
| Assay type | Immunohistochemistry |
| Primary antibody type | Rabbit Polyclonal |
| Secondary antibody type | Polymer-HRP-Goat anti-Rabbit |
| Reactivity | Human |
Kit components
| Component | Size | Concentration |
|---|---|---|
| Antigen Retrieval Buffer | 100 mL | 50× |
| Washing Buffer | 100 mL ×2 | 20× |
| Blocking Buffer | 5 mL | RTU |
| Primary Antibody | 5 mL | RTU |
| Secondary Antibody | 5 mL | RTU |
| Chromogen Component A | 0.2 mL | RTU |
| Chromogen Component B | 4 mL | RTU |
| Signal Enhancer | 5 mL | RTU |
| Counter Staining Reagent | 5 mL | RTU |
| Mounting Media | 5 mL | RTU |
| Datasheet | 1 Copy | |
| Manual | 1 Copy |
Background Information
ROR1 is a member of the RTK family of orphan receptors related to muscle specific kinase and Trk neurotrophin receptors. ROR1 is primarily expressed by neural crest cells during embryogenesis. High expression of ROR1 is reported in many types of malignancies and is thought to be involved in tumor growth, apoptosis, and epithelial-mesenchymal transition. The human ROR1 gene encodes a 937-amino acid protein with an Ig-like domain, a cysteine-rich domain, a kringle domain, a tyrosine kinase domain and a proline-rich domain.
Properties
| Storage Instructions | All the reagents are stored at 2-8°C. The kit is stable for 6 months from the date of receipt. |
| Synonyms | NTRKR1, ROR1 |




