IHCeasy® RNASET2 Ready-To-Use IHC Kit
RNASET2 Ready-to-use reagent kit for IHC.
Reactivity
Human, Mouse, Rat
Sample Type
FFPE tissue
Cat no : KHC1143
Synonyms
Ribonuclease 6, Ribonuclease T2, RNase T2, RNASE6PL, RNASET2
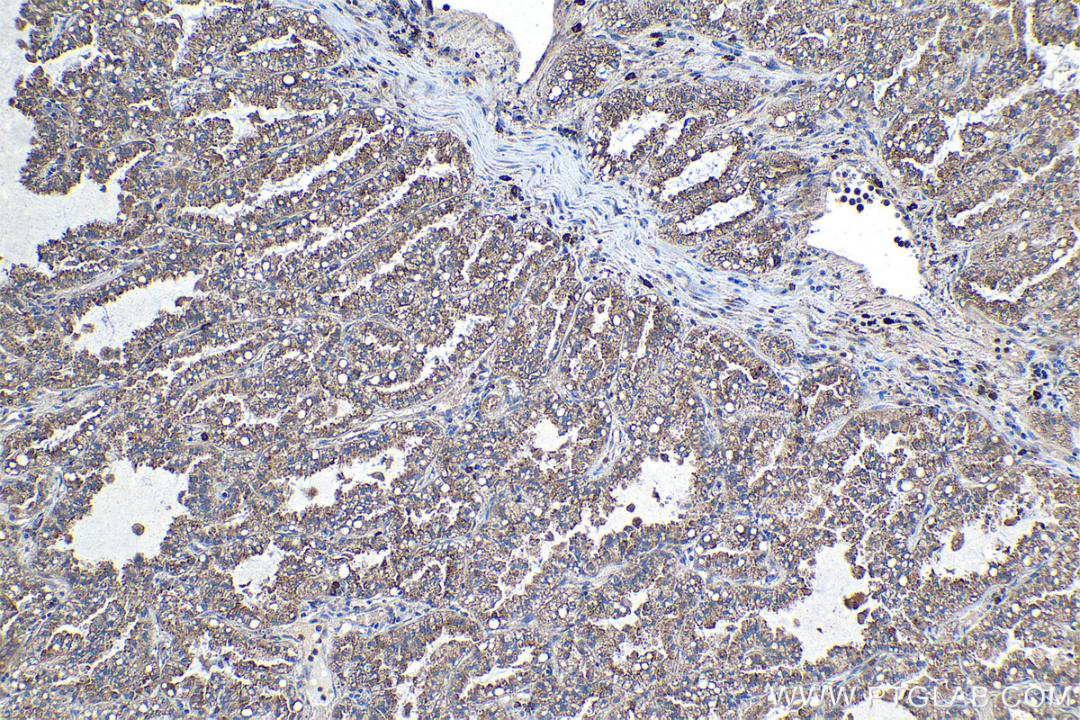
Validation Data Gallery
Product Information
KHC1143 is a ready-to-use IHC kit for staining of RNASET2. The kit provides all reagents, from antigen retrieval to cover slip mounting, that require little to no diluting or handling prior to use. Simply apply the reagents to your sample slide according to the protocol and you're steps away from obtaining high-quality IHC data.
| Product name | IHCeasy RNASET2 Ready-To-Use IHC Kit |
| Sample type | FFPE tissue |
| Assay type | Immunohistochemistry |
| Primary antibody type | Rabbit Polyclonal |
| Secondary antibody type | Polymer-HRP-Goat anti-Rabbit |
| Reactivity | Human, Mouse, Rat |
Kit components
| Component | Size | Concentration |
|---|---|---|
| Antigen Retrieval Buffer | 100 mL | 50× |
| Washing Buffer | 100 mL ×2 | 20× |
| Blocking Buffer | 5 mL | RTU |
| Primary Antibody | 5 mL | RTU |
| Secondary Antibody | 5 mL | RTU |
| Chromogen Component A | 0.2 mL | RTU |
| Chromogen Component B | 4 mL | RTU |
| Signal Enhancer | 5 mL | RTU |
| Counter Staining Reagent | 5 mL | RTU |
| Mounting Media | 5 mL | RTU |
| Datasheet | 1 Copy | |
| Manual | 1 Copy |
Background Information
RNASET2(Ribonuclease T2) is also named as RNASE6PL(Ribonuclease 6) and belongs to the RNase T2 family. It is a unique member of the growing family of tumor-antagonizing genes and behaves as a class II tumor suppressor and abolish the tumorigenic potential of an ovarian cancer-derived cell line. This protein has 2 isoforms produced by alternative splicing.
Properties
| Storage Instructions | All the reagents are stored at 2-8°C. The kit is stable for 6 months from the date of receipt. |
| Synonyms | Ribonuclease 6, Ribonuclease T2, RNase T2, RNASE6PL, RNASET2 |






