IHCeasy® RIPK3 Ready-To-Use IHC Kit
RIPK3 Ready-to-use reagent kit for IHC.
Reactivity
Human, Mouse, Rat
Sample Type
FFPE tissue
Cat no : KHC2025
Synonyms
RIP3, RIP like protein kinase 3, RIP 3, Receptor-interacting serine/threonine-protein kinase 3, Receptor-interacting protein 3
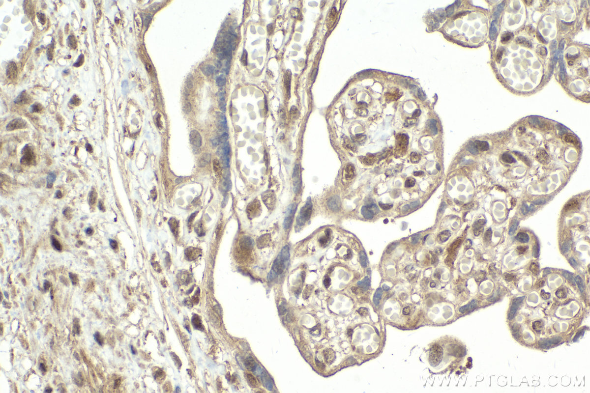
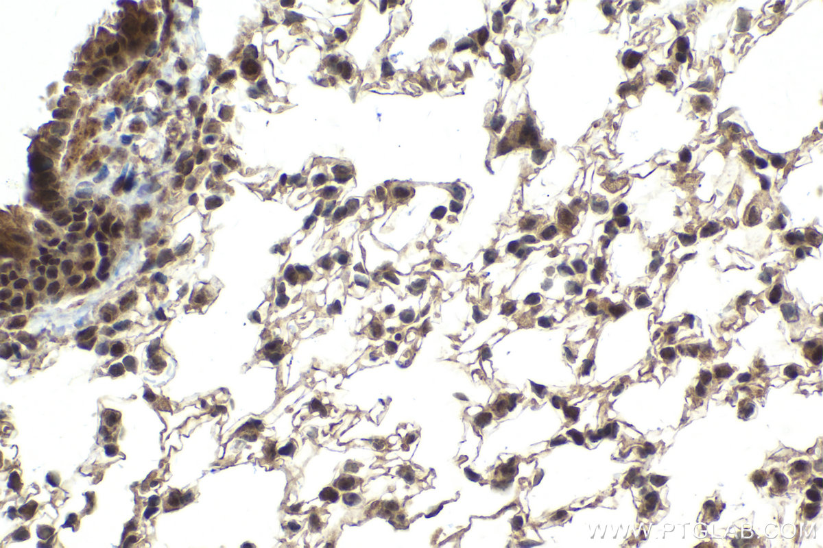
Validation Data Gallery
Product Information
KHC2025 is a ready-to-use IHC kit for staining of RIPK3. The kit provides all reagents, from antigen retrieval to cover slip mounting, that require little to no diluting or handling prior to use. Simply apply the reagents to your sample slide according to the protocol and you're steps away from obtaining high-quality IHC data.
| Product name | IHCeasy RIPK3 Ready-To-Use IHC Kit |
| Sample type | FFPE tissue |
| Assay type | Immunohistochemistry |
| Primary antibody type | Rabbit Polyclonal |
| Secondary antibody type | Polymer-HRP-Goat anti-Rabbit |
| Reactivity | Human, Mouse, Rat |
Kit components
| Component | Size | Concentration |
|---|---|---|
| Antigen Retrieval Buffer | 100 mL | 50× |
| Washing Buffer | 100 mL ×2 | 20× |
| Blocking Buffer | 5 mL | RTU |
| Primary Antibody | 5 mL | RTU |
| Secondary Antibody | 5 mL | RTU |
| Chromogen Component A | 0.2 mL | RTU |
| Chromogen Component B | 4 mL | RTU |
| Signal Enhancer | 5 mL | RTU |
| Counter Staining Reagent | 5 mL | RTU |
| Mounting Media | 5 mL | RTU |
| Datasheet | 1 Copy | |
| Manual | 1 Copy |
Background Information
RIPK3,also named as RIP3, a Ser/Thr kinase of RIP (Receptor Interacting Protein) family, is recruited to the TNFR1 signaling complex through RIP and has been shown to mediate apoptosis induction and NF-κB activation. RIPK3 is a nucleocytoplasmic shuttling protein and its unconventional nuclear localization signal (NLS, 442-472 aa) is sufficient to trigger apoptosis in the nucleus. It has 3 isoforms produced by alternative splicing. RIPK3 might form a homodimer within cells, and its apoptotic activity may not be required for this dimerization.
Properties
| Storage Instructions | All the reagents are stored at 2-8°C. The kit is stable for 6 months from the date of receipt. |
| Synonyms | RIP3, RIP like protein kinase 3, RIP 3, Receptor-interacting serine/threonine-protein kinase 3, Receptor-interacting protein 3 |






