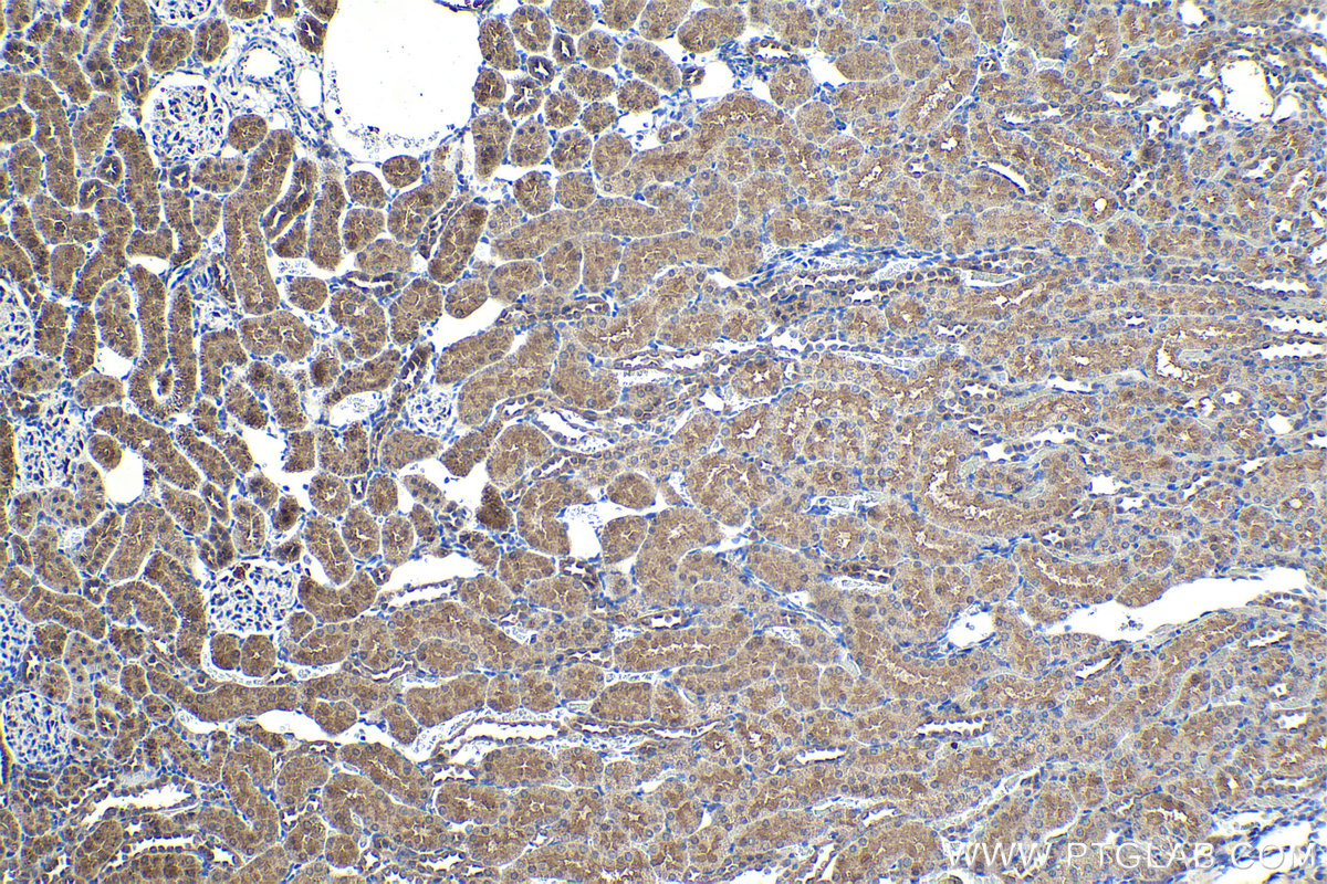
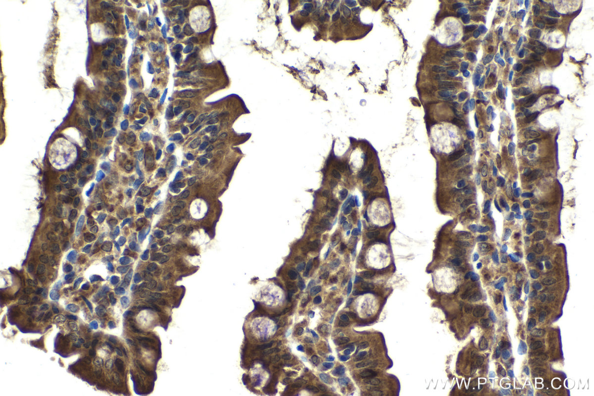
IHCeasy® RIPK2 Ready-To-Use IHC Kit
RIPK2 Ready-to-use reagent kit for IHC.
Reactivity
Human, Mouse, Rat
Sample Type
FFPE tissue
Cat no : KHC2086
Synonyms
EC:2.7.10.2, CCK, CARDIAK, CARD-containing interleukin-1 beta-converting enzyme-associated kinase, CARD-containing IL-1 beta ICE-kinase
Validation Data Gallery
Product Information
KHC2086 is a ready-to-use IHC kit for staining of RIPK2. The kit provides all reagents, from antigen retrieval to cover slip mounting, that require little to no diluting or handling prior to use. Simply apply the reagents to your sample slide according to the protocol and you're steps away from obtaining high-quality IHC data.
| Product name | IHCeasy RIPK2 Ready-To-Use IHC Kit |
| Sample type | FFPE tissue |
| Assay type | Immunohistochemistry |
| Primary antibody type | Rabbit Polyclonal |
| Secondary antibody type | Polymer-HRP-Goat anti-Rabbit |
| Reactivity | Human, Mouse, Rat |
Kit components
| Component | Size | Concentration |
|---|---|---|
| Antigen Retrieval Buffer | 100 mL | 50× |
| Washing Buffer | 100 mL ×2 | 20× |
| Blocking Buffer | 5 mL | RTU |
| Primary Antibody | 5 mL | RTU |
| Secondary Antibody | 5 mL | RTU |
| Chromogen Component A | 0.2 mL | RTU |
| Chromogen Component B | 4 mL | RTU |
| Signal Enhancer | 5 mL | RTU |
| Counter Staining Reagent | 5 mL | RTU |
| Mounting Media | 5 mL | RTU |
| Datasheet | 1 Copy | |
| Manual | 1 Copy |
Background Information
RIPK2 is also named as CARDIAK, RICK, RIP2 and belongs to the receptor-interacting serine/threonine-protein kinase(RIPK) family. RIPK2 functions as a key signaling protein in host defense responses induced by activation of the cytosolic pattern recognition receptors (PRR) NOD1 and NOD2. It has also been reported to mediate other cellular responses, including TLR signaling, caspase 1 activation , apoptosis and autophagy.
Properties
| Storage Instructions | All the reagents are stored at 2-8°C. The kit is stable for 6 months from the date of receipt. |
| Synonyms | EC:2.7.10.2, CCK, CARDIAK, CARD-containing interleukin-1 beta-converting enzyme-associated kinase, CARD-containing IL-1 beta ICE-kinase |







