IHCeasy® RBBP6 Ready-To-Use IHC Kit
RBBP6 Ready-to-use reagent kit for IHC.
Reactivity
Human, Mouse, Rat
Sample Type
FFPE tissue
Cat no : KHC2624
Synonyms
RBBP6,E3 ubiquitin-protein ligase RBBP6,EC:2.3.2.2
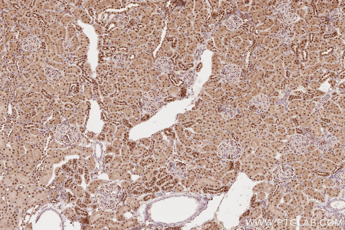
Validation Data Gallery
Product Information
KHC2624 is a ready-to-use IHC kit for staining of RBBP6. The kit provides all reagents, from antigen retrieval to cover slip mounting, that require little to no diluting or handling prior to use. Simply apply the reagents to your sample slide according to the protocol and you're steps away from obtaining high-quality IHC data.
| Product name | IHCeasy RBBP6 Ready-To-Use IHC Kit |
| Sample type | FFPE tissue |
| Assay type | Immunohistochemistry |
| Primary antibody type | Rabbit Polyclonal |
| Secondary antibody type | Polymer-HRP-Goat anti-Rabbit |
| Reactivity | Human, Mouse, Rat |
Kit components
| Component | Size | Concentration |
|---|---|---|
| Antigen Retrieval Buffer | 100 mL | 50× |
| Washing Buffer | 100 mL ×2 | 20× |
| Blocking Buffer | 5 mL | RTU |
| Primary Antibody | 5 mL | RTU |
| Secondary Antibody | 5 mL | RTU |
| Chromogen Component A | 0.2 mL | RTU |
| Chromogen Component B | 4 mL | RTU |
| Signal Enhancer | 5 mL | RTU |
| Counter Staining Reagent | 5 mL | RTU |
| Mounting Media | 5 mL | RTU |
| Datasheet | 1 Copy | |
| Manual | 1 Copy |
Background Information
RBBP6 (retinoblastoma binding protein 6) is a multifunctional protein that interacts with both p53 and pRb and has been implicated in mRNA processing. It has also been identified as a putative E3 ubiquitin ligase due to the presence of a RING finger domain. RBBP6 contains an N-terminal ubiquitin-like domain and a cysteine-rich RING finger-like domain, through which it promotes the ubiquitination of p53 by Hdm2 in an E4-like manner. It is implicated in a diverse set of cellular functions, including mRNA metabolism, regulation of the cell cycle, tumorigenesis, and development.
Properties
| Storage Instructions | All the reagents are stored at 2-8°C. The kit is stable for 6 months from the date of receipt. |
| Synonyms | RBBP6,E3 ubiquitin-protein ligase RBBP6,EC:2.3.2.2 |






