IHCeasy® RARS1 Ready-To-Use IHC Kit
RARS1 Ready-to-use reagent kit for IHC.
Reactivity
Human
Sample Type
FFPE tissue
Cat no : KHC0867
Synonyms
Arginine tRNA ligase, arginyl tRNA synthetase, ArgRS, DALRD1, RARS
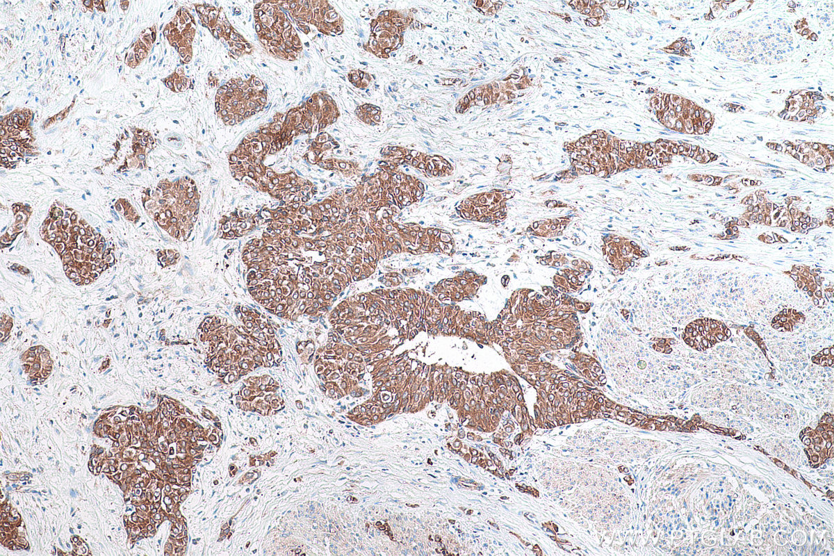
Validation Data Gallery
Product Information
KHC0867 is a ready-to-use IHC kit for staining of RARS1. The kit provides all reagents, from antigen retrieval to cover slip mounting, that require little to no diluting or handling prior to use. Simply apply the reagents to your sample slide according to the protocol and you're steps away from obtaining high-quality IHC data.
| Product name | IHCeasy RARS1 Ready-To-Use IHC Kit |
| Sample type | FFPE tissue |
| Assay type | Immunohistochemistry |
| Primary antibody type | Rabbit Polyclonal |
| Secondary antibody type | Polymer-HRP-Goat anti-Rabbit |
| Reactivity | Human |
Kit components
| Component | Size | Concentration |
|---|---|---|
| Antigen Retrieval Buffer | 100 mL | 50× |
| Washing Buffer | 100 mL ×2 | 20× |
| Blocking Buffer | 5 mL | RTU |
| Primary Antibody | 5 mL | RTU |
| Secondary Antibody | 5 mL | RTU |
| Chromogen Component A | 0.2 mL | RTU |
| Chromogen Component B | 4 mL | RTU |
| Signal Enhancer | 5 mL | RTU |
| Counter Staining Reagent | 5 mL | RTU |
| Mounting Media | 5 mL | RTU |
| Datasheet | 1 Copy | |
| Manual | 1 Copy |
Background Information
RARS, also named ArgRS (arginyl-tRNA synthetase), belongs to the class-I aminoacyl-tRNA synthetase family which catalyze the aminoacylation of tRNA by their cognate amino acid. In higher eukaryotes, one of the two arginyl-tRNA synthetases (ArgRSs) has evolved to have an extended N-terminal domain that plays a crucial role in protein synthesis and cell growth and in integration into the multisynthetase complex (MSC).
Properties
| Storage Instructions | All the reagents are stored at 2-8°C. The kit is stable for 6 months from the date of receipt. |
| Synonyms | Arginine tRNA ligase, arginyl tRNA synthetase, ArgRS, DALRD1, RARS |




