IHCeasy® RAP1GDS1 Ready-To-Use IHC Kit
RAP1GDS1 Ready-to-use reagent kit for IHC.
Reactivity
Human, Mouse, Rat
Sample Type
FFPE tissue
Cat no : KHC0922
Synonyms
Exchange factor smgGDS, GDS1, RAP1GDS1, SMG GDS protein, SmgGDS
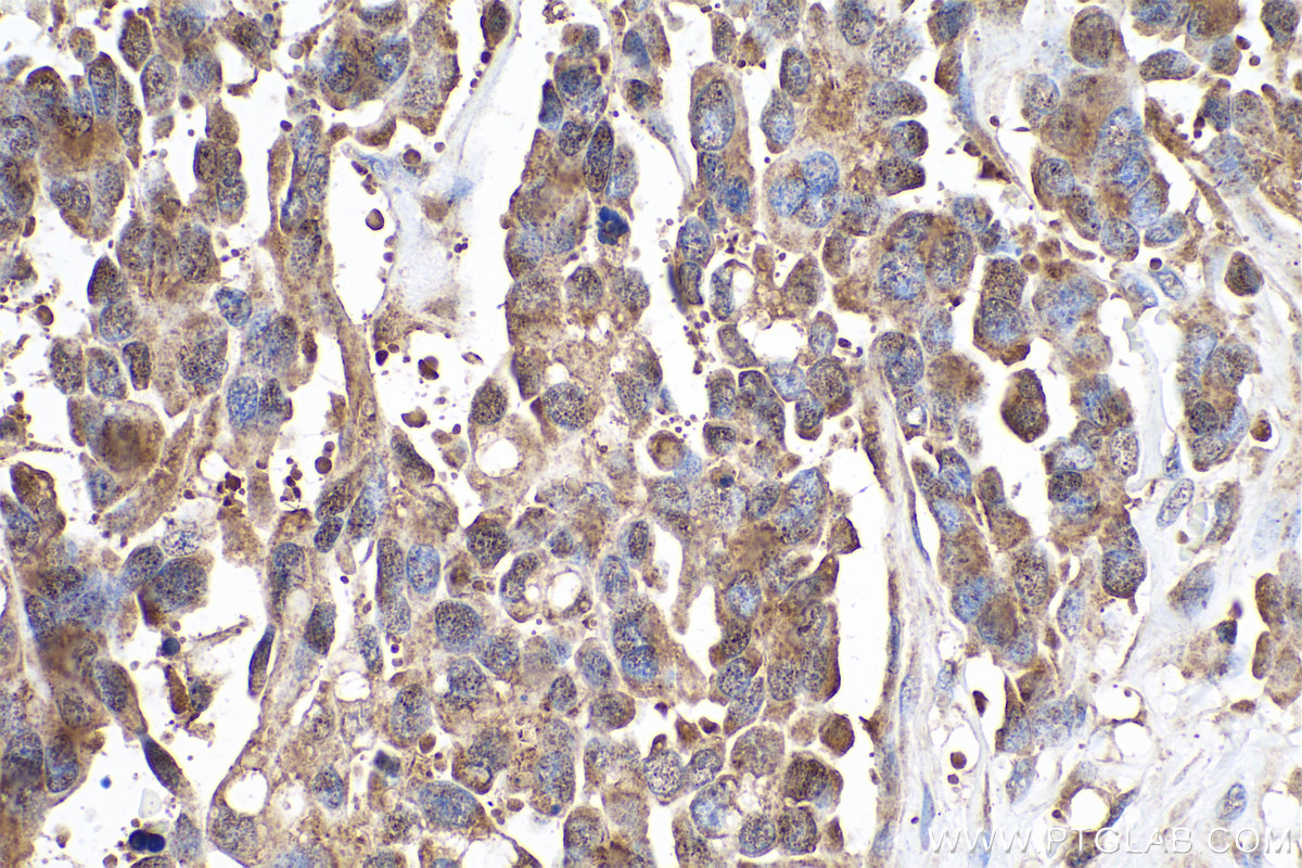
Validation Data Gallery
Product Information
KHC0922 is a ready-to-use IHC kit for staining of RAP1GDS1. The kit provides all reagents, from antigen retrieval to cover slip mounting, that require little to no diluting or handling prior to use. Simply apply the reagents to your sample slide according to the protocol and you're steps away from obtaining high-quality IHC data.
| Product name | IHCeasy RAP1GDS1 Ready-To-Use IHC Kit |
| Sample type | FFPE tissue |
| Assay type | Immunohistochemistry |
| Primary antibody type | Rabbit Polyclonal |
| Secondary antibody type | Polymer-HRP-Goat anti-Rabbit |
| Reactivity | Human, Mouse, Rat |
Kit components
| Component | Size | Concentration |
|---|---|---|
| Antigen Retrieval Buffer | 100 mL | 50× |
| Washing Buffer | 100 mL ×2 | 20× |
| Blocking Buffer | 5 mL | RTU |
| Primary Antibody | 5 mL | RTU |
| Secondary Antibody | 5 mL | RTU |
| Chromogen Component A | 0.2 mL | RTU |
| Chromogen Component B | 4 mL | RTU |
| Signal Enhancer | 5 mL | RTU |
| Counter Staining Reagent | 5 mL | RTU |
| Mounting Media | 5 mL | RTU |
| Datasheet | 1 Copy | |
| Manual | 1 Copy |
Background Information
GDS stimulates the GDP/GTP exchange reaction of a group of small GTP-binding proteins (G proteins), including at least c-Ki-ras p21, smg p21A, smg p21B, rhoA p21 and rhoB p21, by stimulating the dissociation of GDP from and the subsequent binding of GTP to each small G protein. The small GTPase Rap1, which is activated by a large variety of stimuli, functions in the control of integrin-mediated cell adhesion. RAP1GDS1 (synonym: GDS1)is one of RAP1 GTP-GDP dissociation stimulators.
Properties
| Storage Instructions | All the reagents are stored at 2-8°C. The kit is stable for 6 months from the date of receipt. |
| Synonyms | Exchange factor smgGDS, GDS1, RAP1GDS1, SMG GDS protein, SmgGDS |







