IHCeasy® RABGGTA Ready-To-Use IHC Kit
RABGGTA Ready-to-use reagent kit for IHC.
Reactivity
Human, Rat
Sample Type
FFPE tissue
Cat no : KHC3307
Synonyms
EC:2.5.1.60, Geranylgeranyl transferase type-2 subunit alpha, Rab geranyl-geranyltransferase subunit alpha, Rab GG transferase alpha, Rab GGTase alpha
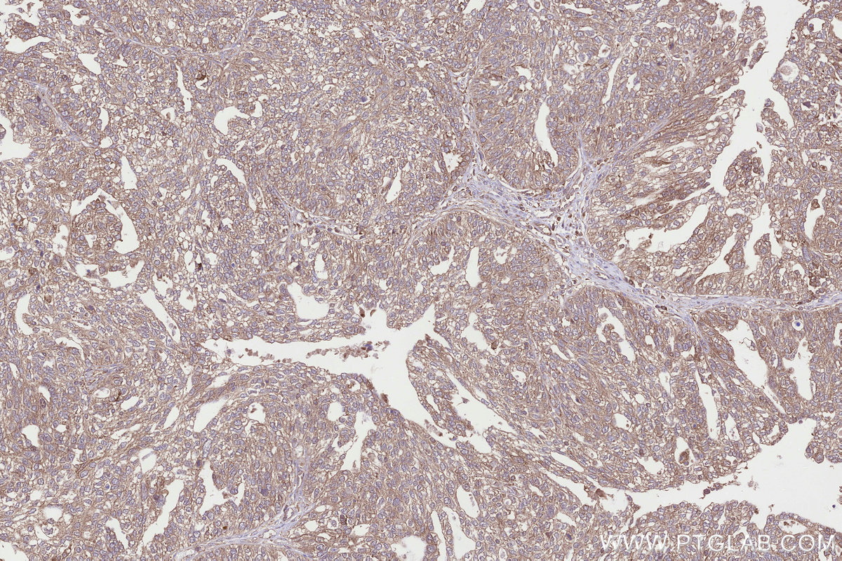
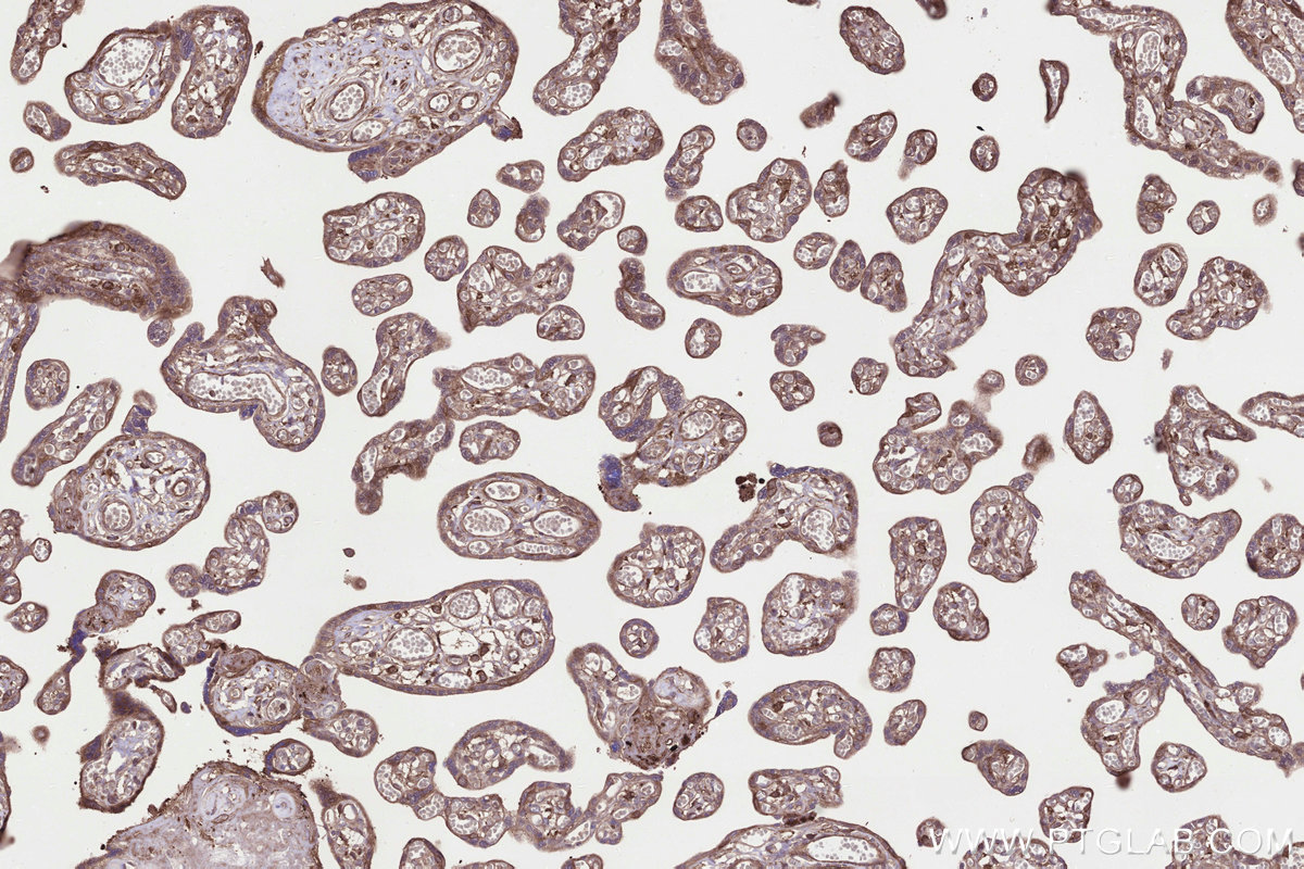
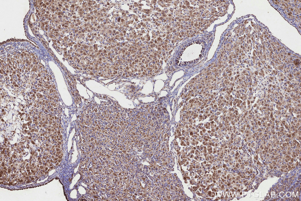
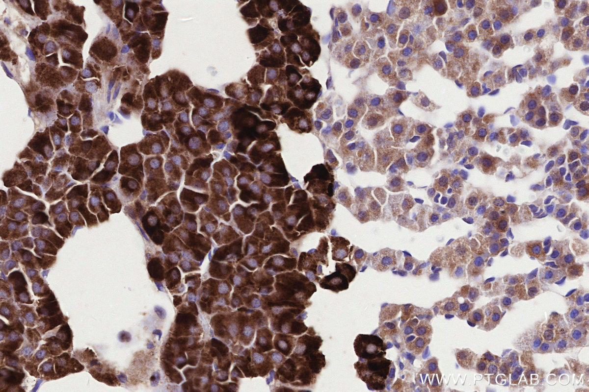
Validation Data Gallery
Product Information
KHC3307 is a ready-to-use IHC kit for staining of RABGGTA. The kit provides all reagents, from antigen retrieval to cover slip mounting, that require little to no diluting or handling prior to use. Simply apply the reagents to your sample slide according to the protocol and you're steps away from obtaining high-quality IHC data.
| Product name | IHCeasy® RABGGTA Ready-To-Use IHC Kit |
| Sample type | FFPE tissue |
| Assay type | Immunohistochemistry |
| Primary antibody type | Rabbit Recombinant |
| Secondary antibody type | Polymer-HRP-Goat anti-Rabbit |
| Reactivity | Human, Rat |
Kit components
| Component | Size | Concentration |
|---|---|---|
| Antigen Retrieval Buffer | 100 mL | 50× |
| Washing Buffer | 100 mL ×2 | 20× |
| Blocking Buffer | 5 mL | RTU |
| Primary Antibody | 5 mL | RTU |
| Secondary Antibody | 5 mL | RTU |
| Chromogen Component A | 0.2 mL | RTU |
| Chromogen Component B | 4 mL | RTU |
| Signal Enhancer | 5 mL | RTU |
| Counter Staining Reagent | 5 mL | RTU |
| Mounting Media | 5 mL | RTU |
| Datasheet | 1 Copy | |
| Manual | 1 Copy |
Background Information
GGTase II (RAB geranylgeranyl transferase, RABGGTase) is a heterodimer composed of tightly bound α- and β-subunits, which belongs to the Ras superfamily of small monomeric GTPases. RABGGTase is extensively involved in intracellular membrane trafficking of membrane-bound organelles and vesicles and specifically catalyses the covalent attachment of GGPP to the cysteine of a carboxyl-terminal CC or CXC motif of RAB proteins.
Properties
| Storage Instructions | All the reagents are stored at 2-8°C. The kit is stable for 6 months from the date of receipt. |
| Synonyms | EC:2.5.1.60, Geranylgeranyl transferase type-2 subunit alpha, Rab geranyl-geranyltransferase subunit alpha, Rab GG transferase alpha, Rab GGTase alpha |




