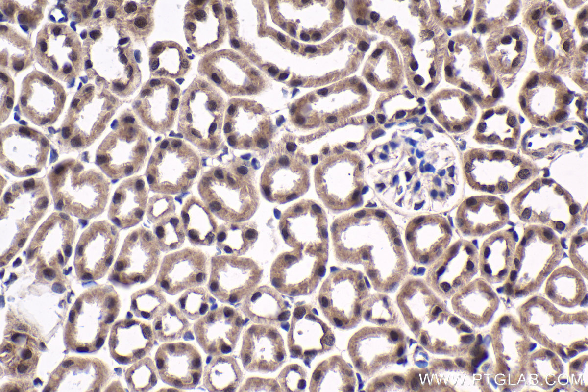
IHCeasy® QRICH1 Ready-To-Use IHC Kit
QRICH1 Ready-to-use reagent kit for IHC.
Reactivity
Human, Mouse, Rat
Sample Type
FFPE tissue
Cat no : KHC1767
Synonyms
FLJ20259, glutamine rich 1, Glutamine rich protein 1, QRICH1
Validation Data Gallery
Product Information
KHC1767 is a ready-to-use IHC kit for staining of QRICH1. The kit provides all reagents, from antigen retrieval to cover slip mounting, that require little to no diluting or handling prior to use. Simply apply the reagents to your sample slide according to the protocol and you're steps away from obtaining high-quality IHC data.
| Product name | IHCeasy QRICH1 Ready-To-Use IHC Kit |
| Sample type | FFPE tissue |
| Assay type | Immunohistochemistry |
| Primary antibody type | Rabbit Polyclonal |
| Secondary antibody type | Polymer-HRP-Goat anti-Rabbit |
| Reactivity | Human, Mouse, Rat |
Kit components
| Component | Size | Concentration |
|---|---|---|
| Antigen Retrieval Buffer | 100 mL | 50× |
| Washing Buffer | 100 mL ×2 | 20× |
| Blocking Buffer | 5 mL | RTU |
| Primary Antibody | 5 mL | RTU |
| Secondary Antibody | 5 mL | RTU |
| Chromogen Component A | 0.2 mL | RTU |
| Chromogen Component B | 4 mL | RTU |
| Signal Enhancer | 5 mL | RTU |
| Counter Staining Reagent | 5 mL | RTU |
| Mounting Media | 5 mL | RTU |
| Datasheet | 1 Copy | |
| Manual | 1 Copy |
Background Information
Glutamine-rich protein 1 (QRICH1) is a transcriptional regulator that acts as a mediator of the integrated stress response (ISR) through transcriptional control of protein homeostasis under conditions of ER stress. QRICH1 is a member of the caspase recruitment domain (CARD)-containing gene family, which encodes for proteins implicated in regulation of caspase activation in the context of apoptosis and inflammation, and in regulation of NF-κB signaling. QRICH1 can be modified by phosphorylation.
Properties
| Storage Instructions | All the reagents are stored at 2-8°C. The kit is stable for 6 months from the date of receipt. |
| Synonyms | FLJ20259, glutamine rich 1, Glutamine rich protein 1, QRICH1 |







