IHCeasy® PTPN9 Ready-To-Use IHC Kit
PTPN9 Ready-to-use reagent kit for IHC.
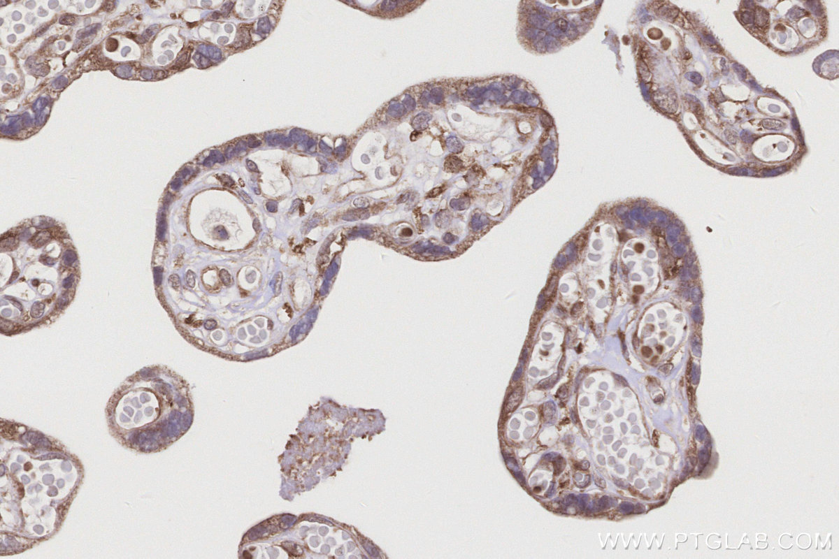
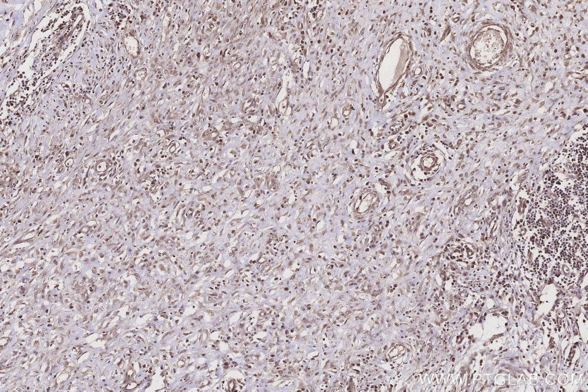
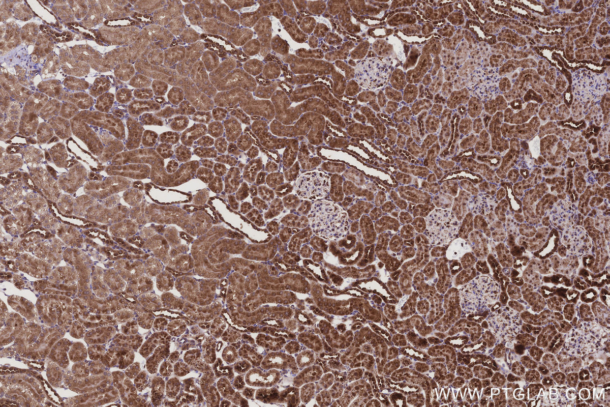
Reactivity
Human, Mouse, Rat
Sample Type
FFPE tissue
Cat no : KHC3210
Synonyms
MEG2, EC:3.1.3.48, Protein-tyrosine phosphatase MEG2, PTPase MEG2, PTPaseMEG2
Validation Data Gallery
Product Information
KHC3210 is a ready-to-use IHC kit for staining of PTPN9. The kit provides all reagents, from antigen retrieval to cover slip mounting, that require little to no diluting or handling prior to use. Simply apply the reagents to your sample slide according to the protocol and you're steps away from obtaining high-quality IHC data.
| Product name | IHCeasy® PTPN9 Ready-To-Use IHC Kit |
| Sample type | FFPE tissue |
| Assay type | Immunohistochemistry |
| Primary antibody type | Rabbit Polyclonal |
| Secondary antibody type | Polymer-HRP-Goat anti-Rabbit |
| Reactivity | Human, Mouse, Rat |
Kit components
| Component | Size | Concentration |
|---|---|---|
| Antigen Retrieval Buffer | 100 mL | 50× |
| Washing Buffer | 100 mL ×2 | 20× |
| Blocking Buffer | 5 mL | RTU |
| Primary Antibody | 5 mL | RTU |
| Secondary Antibody | 5 mL | RTU |
| Chromogen Component A | 0.2 mL | RTU |
| Chromogen Component B | 4 mL | RTU |
| Signal Enhancer | 5 mL | RTU |
| Counter Staining Reagent | 5 mL | RTU |
| Mounting Media | 5 mL | RTU |
| Datasheet | 1 Copy | |
| Manual | 1 Copy |
Background Information
PTPN9, Tyrosine-protein phosphatase non-receptor type 9, is a member of the protein tyrosine phosphatase (PTP) family. PTPs are signaling molecules that regulate a variety of cellular processes including cell growth, differentiation, mitotic cycle, and oncogenic transformation. PTPN9 is involved in the transfer of hydrophobic ligands or in functions of the Golgi apparatus. MiR-96 inhibits PTPN9 expression and consequently promotes proliferation, migration and invasion of breast cancer cells. PTPN9 can be detected double bands. PTPN9 was located in cytoplasm and nucleus in human breast cancer.
Properties
| Storage Instructions | All the reagents are stored at 2-8°C. The kit is stable for 6 months from the date of receipt. |
| Synonyms | MEG2, EC:3.1.3.48, Protein-tyrosine phosphatase MEG2, PTPase MEG2, PTPaseMEG2 |




