IHCeasy® PSPC1 Ready-To-Use IHC Kit
PSPC1 Ready-to-use reagent kit for IHC.
Reactivity
Human, Mouse, Rat
Sample Type
FFPE tissue
Cat no : KHC2740
Synonyms
PSPC1, PSP1, PSPC 1
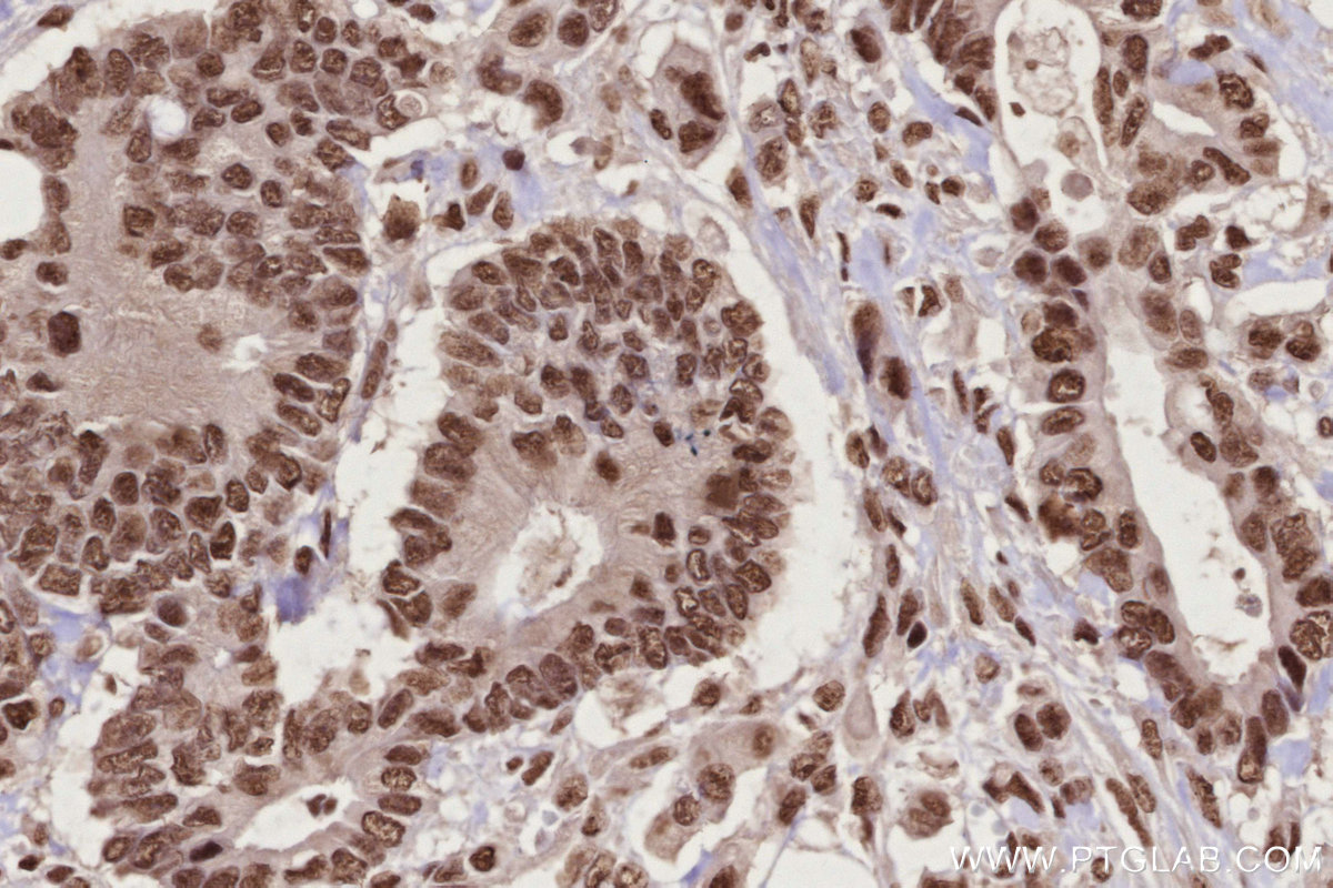
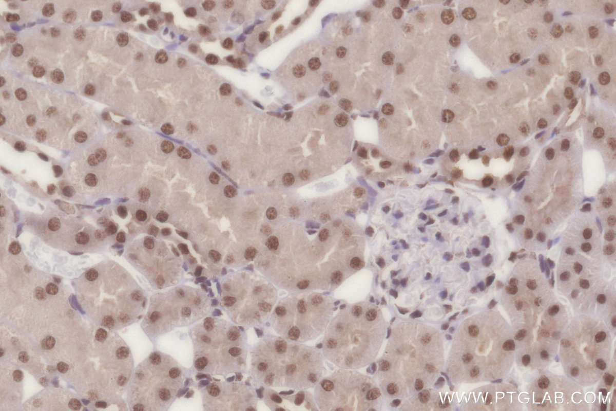
Validation Data Gallery
Product Information
KHC2740 is a ready-to-use IHC kit for staining of PSPC1. The kit provides all reagents, from antigen retrieval to cover slip mounting, that require little to no diluting or handling prior to use. Simply apply the reagents to your sample slide according to the protocol and you're steps away from obtaining high-quality IHC data.
| Product name | IHCeasy PSPC1 Ready-To-Use IHC Kit |
| Sample type | FFPE tissue |
| Assay type | Immunohistochemistry |
| Primary antibody type | Rabbit Polyclonal |
| Secondary antibody type | Polymer-HRP-Goat anti-Rabbit |
| Reactivity | Human, Mouse, Rat |
Kit components
| Component | Size | Concentration |
|---|---|---|
| Antigen Retrieval Buffer | 100 mL | 50× |
| Washing Buffer | 100 mL ×2 | 20× |
| Blocking Buffer | 5 mL | RTU |
| Primary Antibody | 5 mL | RTU |
| Secondary Antibody | 5 mL | RTU |
| Chromogen Component A | 0.2 mL | RTU |
| Chromogen Component B | 4 mL | RTU |
| Signal Enhancer | 5 mL | RTU |
| Counter Staining Reagent | 5 mL | RTU |
| Mounting Media | 5 mL | RTU |
| Datasheet | 1 Copy | |
| Manual | 1 Copy |
Background Information
PSPC1 (paraspeckle component 1), a known paraspeckle biomarker, is a putative transcription factor that belongs to the Drosophila behavior/human splicing (DBHS) family. PSPC1 was recently identified as a contextual determinant of tumor progression in multiple cancer types involving oncogenic reprogramming to switch proapoptotic TGF-β to prometastatic TGF-β via hijacking of Smad2/3 targeting. Upregulated PSPC1 is correlated with advanced tumor stages and poor survival of patients with breast, lung, and liver cancers. Upregulated PSPC1 potentiates expression of mesenchymal markers, EMT transcription factors (EMT-TF), cancer stem-like cell transcription factors (CSC-TF), and c-Myc-related proliferation genes, thus promoting migration, invasion, spheroid formation, tumor formation, and metastasis.
Properties
| Storage Instructions | All the reagents are stored at 2-8°C. The kit is stable for 6 months from the date of receipt. |
| Synonyms | PSPC1, PSP1, PSPC 1 |






