IHCeasy® PSME3 Ready-To-Use IHC Kit
PSME3 Ready-to-use reagent kit for IHC.
Reactivity
Human, Mouse, Rat
Sample Type
FFPE tissue
Cat no : KHC0764
Synonyms
Ki, Ki nuclear autoantigen, PA28 gamma, PA28G, PA28gamma, PSME3, REG GAMMA
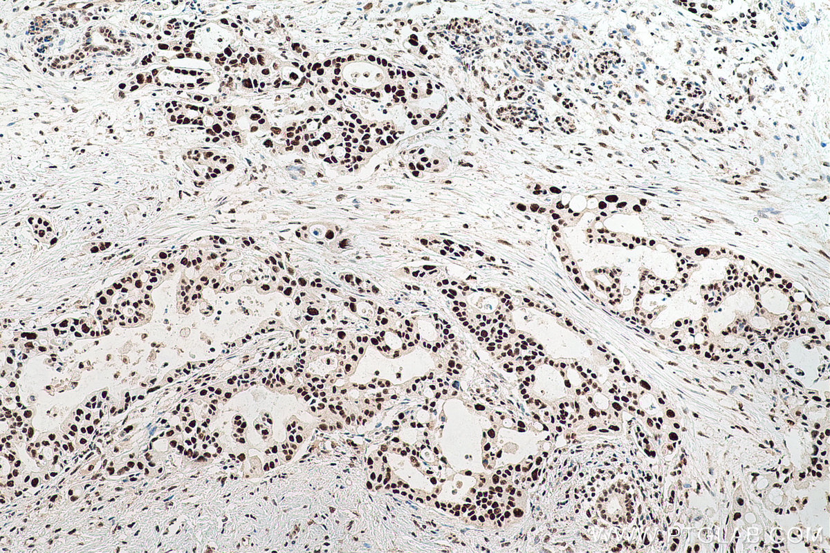
Validation Data Gallery
Product Information
KHC0764 is a ready-to-use IHC kit for staining of PSME3. The kit provides all reagents, from antigen retrieval to cover slip mounting, that require little to no diluting or handling prior to use. Simply apply the reagents to your sample slide according to the protocol and you're steps away from obtaining high-quality IHC data.
| Product name | IHCeasy PSME3 Ready-To-Use IHC Kit |
| Sample type | FFPE tissue |
| Assay type | Immunohistochemistry |
| Primary antibody type | Mouse Monoclonal |
| Secondary antibody type | Polymer-HRP-Goat anti-Mouse |
| Reactivity | Human, Mouse, Rat |
Kit components
| Component | Size | Concentration |
|---|---|---|
| Antigen Retrieval Buffer | 100 mL | 50× |
| Washing Buffer | 100 mL ×2 | 20× |
| Blocking Buffer | 5 mL | RTU |
| Primary Antibody | 5 mL | RTU |
| Secondary Antibody | 5 mL | RTU |
| Chromogen Component A | 0.2 mL | RTU |
| Chromogen Component B | 4 mL | RTU |
| Signal Enhancer | 5 mL | RTU |
| Counter Staining Reagent | 5 mL | RTU |
| Mounting Media | 5 mL | RTU |
| Datasheet | 1 Copy | |
| Manual | 1 Copy |
Background Information
PSME3 gene encodes proteasome activator complex subunit 3, which is also called REG-gamma or PA28-gamma. REG-gamma activates the trypsin-like catalytic subunit of the proteasome thus is a proteasome regulator. MDM2-TP53 interaction which promotes ubiquitination- and MDM2-dependent proteasomal degradation of TP53, may be promoted by REG-gamma resulting in inhibited apoptosis after DNA damage. REG-gamma may also be involved in cell cycle regulation.
Properties
| Storage Instructions | All the reagents are stored at 2-8°C. The kit is stable for 6 months from the date of receipt. |
| Synonyms | Ki, Ki nuclear autoantigen, PA28 gamma, PA28G, PA28gamma, PSME3, REG GAMMA |









