IHCeasy® PSMA3 Ready-To-Use IHC Kit
PSMA3 Ready-to-use reagent kit for IHC.
Reactivity
Human, Mouse, Rat
Sample Type
FFPE tissue
Cat no : KHC1563
Synonyms
HC8, Macropain subunit C8, Proteasome component C8, PSC3, PSC8, PSMA3
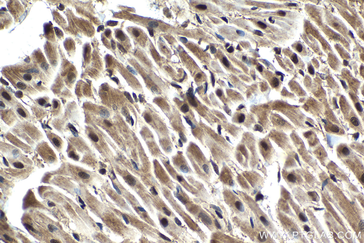
Validation Data Gallery
Product Information
KHC1563 is a ready-to-use IHC kit for staining of PSMA3. The kit provides all reagents, from antigen retrieval to cover slip mounting, that require little to no diluting or handling prior to use. Simply apply the reagents to your sample slide according to the protocol and you're steps away from obtaining high-quality IHC data.
| Product name | IHCeasy PSMA3 Ready-To-Use IHC Kit |
| Sample type | FFPE tissue |
| Assay type | Immunohistochemistry |
| Primary antibody type | Mouse Monoclonal |
| Secondary antibody type | Polymer-HRP-Goat anti-Mouse |
| Reactivity | Human, Mouse, Rat |
Kit components
| Component | Size | Concentration |
|---|---|---|
| Antigen Retrieval Buffer | 100 mL | 50× |
| Washing Buffer | 100 mL ×2 | 20× |
| Blocking Buffer | 5 mL | RTU |
| Primary Antibody | 5 mL | RTU |
| Secondary Antibody | 5 mL | RTU |
| Chromogen Component A | 0.2 mL | RTU |
| Chromogen Component B | 4 mL | RTU |
| Signal Enhancer | 5 mL | RTU |
| Counter Staining Reagent | 5 mL | RTU |
| Mounting Media | 5 mL | RTU |
| Datasheet | 1 Copy | |
| Manual | 1 Copy |
Background Information
PSMA3(Proteasome subunit alpha type-3) is also named as HC8, PSC8 and belongs to the peptidase T1A family. The proteasome is a multicatalytic protease complex that catalyzes an energy-dependent, extralysosomal proteolytic pathway responsible for selective elimination of proteins with aberrant structures and naturally occurring short-lived proteins related to metabolic regulation and cell cycle progression. It has 2 isoforms produced by alternative splicing.
Properties
| Storage Instructions | All the reagents are stored at 2-8°C. The kit is stable for 6 months from the date of receipt. |
| Synonyms | HC8, Macropain subunit C8, Proteasome component C8, PSC3, PSC8, PSMA3 |








