IHCeasy® PRKAR2A Ready-To-Use IHC Kit
PRKAR2A Ready-to-use reagent kit for IHC.
Reactivity
Human, Mouse, Rat
Sample Type
FFPE tissue
Cat no : KHC0924
Synonyms
PKR2, PRKAR2, PRKAR2A
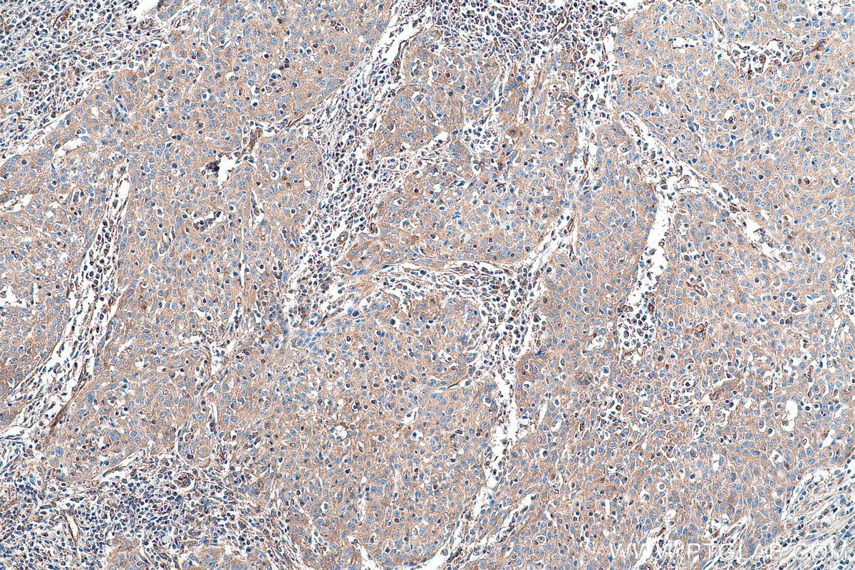
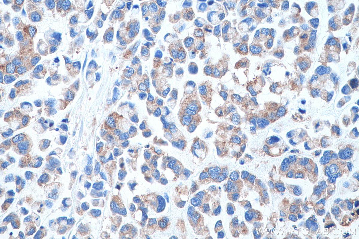
Validation Data Gallery
Product Information
KHC0924 is a ready-to-use IHC kit for staining of PRKAR2A. The kit provides all reagents, from antigen retrieval to cover slip mounting, that require little to no diluting or handling prior to use. Simply apply the reagents to your sample slide according to the protocol and you're steps away from obtaining high-quality IHC data.
| Product name | IHCeasy PRKAR2A Ready-To-Use IHC Kit |
| Sample type | FFPE tissue |
| Assay type | Immunohistochemistry |
| Primary antibody type | Mouse Monoclonal |
| Secondary antibody type | Polymer-HRP-Goat anti-Mouse |
| Reactivity | Human, Mouse, Rat |
Kit components
| Component | Size | Concentration |
|---|---|---|
| Antigen Retrieval Buffer | 100 mL | 50× |
| Washing Buffer | 100 mL ×2 | 20× |
| Blocking Buffer | 5 mL | RTU |
| Primary Antibody | 5 mL | RTU |
| Secondary Antibody | 5 mL | RTU |
| Chromogen Component A | 0.2 mL | RTU |
| Chromogen Component B | 4 mL | RTU |
| Signal Enhancer | 5 mL | RTU |
| Counter Staining Reagent | 5 mL | RTU |
| Mounting Media | 5 mL | RTU |
| Datasheet | 1 Copy | |
| Manual | 1 Copy |
Background Information
The effects of cAMP in most tissues and cell types are mainly modulated via protein kinase A, a heterotetrameric protein complex consisting of two regulatory and two catalytic subunits. The regulatory subunit of cAMP-dependent protein kinase (PRKAR2A) is one of the regulatory subunits and the gene is located on chromosome region 3p21.3-p21.2. The expression of PRKAR2A is tightly regulated during spermatogenesis, a significant increase in expression of this gene was also found in the human myometrium during pregnancy.
Properties
| Storage Instructions | All the reagents are stored at 2-8°C. The kit is stable for 6 months from the date of receipt. |
| Synonyms | PKR2, PRKAR2, PRKAR2A |








