IHCeasy® PRKAG1 Ready-To-Use IHC Kit
PRKAG1 Ready-to-use reagent kit for IHC.
Reactivity
Human, Mouse, Rat
Sample Type
FFPE tissue
Cat no : KHC2324
Synonyms
AMPK Gamma 1, 5'-AMP-activated protein kinase subunit gamma-1, AMPKG, AMPK subunit gamma-1, AMPK subunit gamma 1
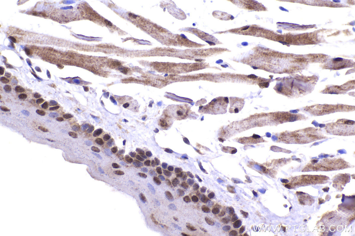
Validation Data Gallery
Product Information
KHC2324 is a ready-to-use IHC kit for staining of PRKAG1. The kit provides all reagents, from antigen retrieval to cover slip mounting, that require little to no diluting or handling prior to use. Simply apply the reagents to your sample slide according to the protocol and you're steps away from obtaining high-quality IHC data.
| Product name | IHCeasy PRKAG1 Ready-To-Use IHC Kit |
| Sample type | FFPE tissue |
| Assay type | Immunohistochemistry |
| Primary antibody type | Rabbit Polyclonal |
| Secondary antibody type | Polymer-HRP-Goat anti-Rabbit |
| Reactivity | Human, Mouse, Rat |
Kit components
| Component | Size | Concentration |
|---|---|---|
| Antigen Retrieval Buffer | 100 mL | 50× |
| Washing Buffer | 100 mL ×2 | 20× |
| Blocking Buffer | 5 mL | RTU |
| Primary Antibody | 5 mL | RTU |
| Secondary Antibody | 5 mL | RTU |
| Chromogen Component A | 0.2 mL | RTU |
| Chromogen Component B | 4 mL | RTU |
| Signal Enhancer | 5 mL | RTU |
| Counter Staining Reagent | 5 mL | RTU |
| Mounting Media | 5 mL | RTU |
| Datasheet | 1 Copy | |
| Manual | 1 Copy |
Background Information
Protein kinase, AMP-activated, gamma 1 non-catalytic subunit (PRKAG1, synonyms: AMPKG, MGC8666) is a regulatory subunit of the AMP-activated protein kinase (AMPK). AMPK is a heterotrimer consisting of an catalytic subunit, and non-catalytic and subunits. AMPK is an important energy-sensing enzyme that monitors cellular energy status. In response to cellular metabolic stresses, AMPK is activated, and thus phosphorylates and iAMP-activated protein kinase (AMPK) is a highly conserved heterotrimeric serine/threonine kinase widely characterised as a sensor of cellular energetic stress. AMPK is a heterotrimeric complex consisting of a catalytic α-subunit and two regulatory subunits (β and γ). AMPK is an important energy-sensing enzyme that monitors cellular energy status. In response to cellular metabolic stresses, AMPK is activated, and thus phosphorylates and inactivates acetyl-CoA carboxylase (ACC) and beta-hydroxy beta-methylglutaryl-CoA reductase (HMGCR), key enzymes involved in regulating de novo biosynthesis of fatty acid and cholesterol. AMPK gamma 1 is one of the gamma regulatory subunits of AMPK.
Properties
| Storage Instructions | All the reagents are stored at 2-8°C. The kit is stable for 6 months from the date of receipt. |
| Synonyms | AMPK Gamma 1, 5'-AMP-activated protein kinase subunit gamma-1, AMPKG, AMPK subunit gamma-1, AMPK subunit gamma 1 |






