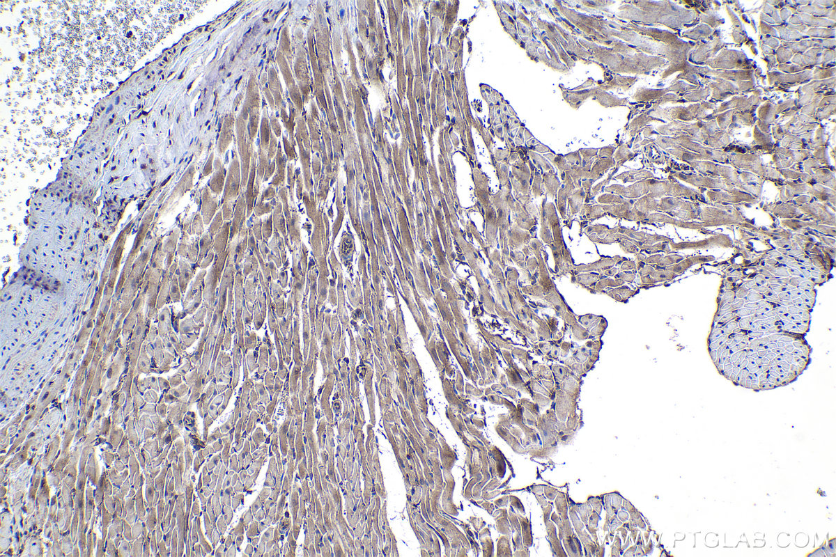
IHCeasy® PPP3CA Ready-To-Use IHC Kit
PPP3CA Ready-to-use reagent kit for IHC.
Reactivity
Human, Mouse, Rat
Sample Type
FFPE tissue
Cat no : KHC1027
Synonyms
CALN, CALNA, CALNA1, CAM PRP catalytic subunit, CCN1, CNA, CNA1, PPP2B, PPP3CA
Validation Data Gallery
Product Information
KHC1027 is a ready-to-use IHC kit for staining of PPP3CA. The kit provides all reagents, from antigen retrieval to cover slip mounting, that require little to no diluting or handling prior to use. Simply apply the reagents to your sample slide according to the protocol and you're steps away from obtaining high-quality IHC data.
| Product name | IHCeasy PPP3CA Ready-To-Use IHC Kit |
| Sample type | FFPE tissue |
| Assay type | Immunohistochemistry |
| Primary antibody type | Mouse Monoclonal |
| Secondary antibody type | Polymer-HRP-Goat anti-Mouse |
| Reactivity | Human, Mouse, Rat |
Kit components
| Component | Size | Concentration |
|---|---|---|
| Antigen Retrieval Buffer | 100 mL | 50× |
| Washing Buffer | 100 mL ×2 | 20× |
| Blocking Buffer | 5 mL | RTU |
| Primary Antibody | 5 mL | RTU |
| Secondary Antibody | 5 mL | RTU |
| Chromogen Component A | 0.2 mL | RTU |
| Chromogen Component B | 4 mL | RTU |
| Signal Enhancer | 5 mL | RTU |
| Counter Staining Reagent | 5 mL | RTU |
| Mounting Media | 5 mL | RTU |
| Datasheet | 1 Copy | |
| Manual | 1 Copy |
Background Information
PPP3CA, also called calcineurin Aα, is the only serine/threonine protein phosphatase under the control of Ca2+/calmodulin, and plays a critical role in the coupling of Ca2+ signals to cellular responses. Ca2+ signaling plays a central role in hypertrophic growth of cardiac and skeletal muscle in response to mechanical load and a variety of signals. Therefore, PPP3CA plays an important role in muscle differentiation, especially in muscle fiber type conversion. It is also involved in osteoclast regulation, regulating bone formation through an effect on osteoblast differentiation.
Properties
| Storage Instructions | All the reagents are stored at 2-8°C. The kit is stable for 6 months from the date of receipt. |
| Synonyms | CALN, CALNA, CALNA1, CAM PRP catalytic subunit, CCN1, CNA, CNA1, PPP2B, PPP3CA |






