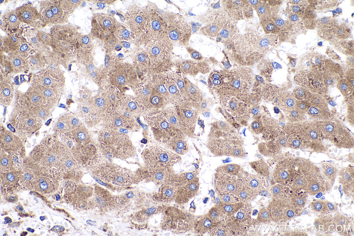
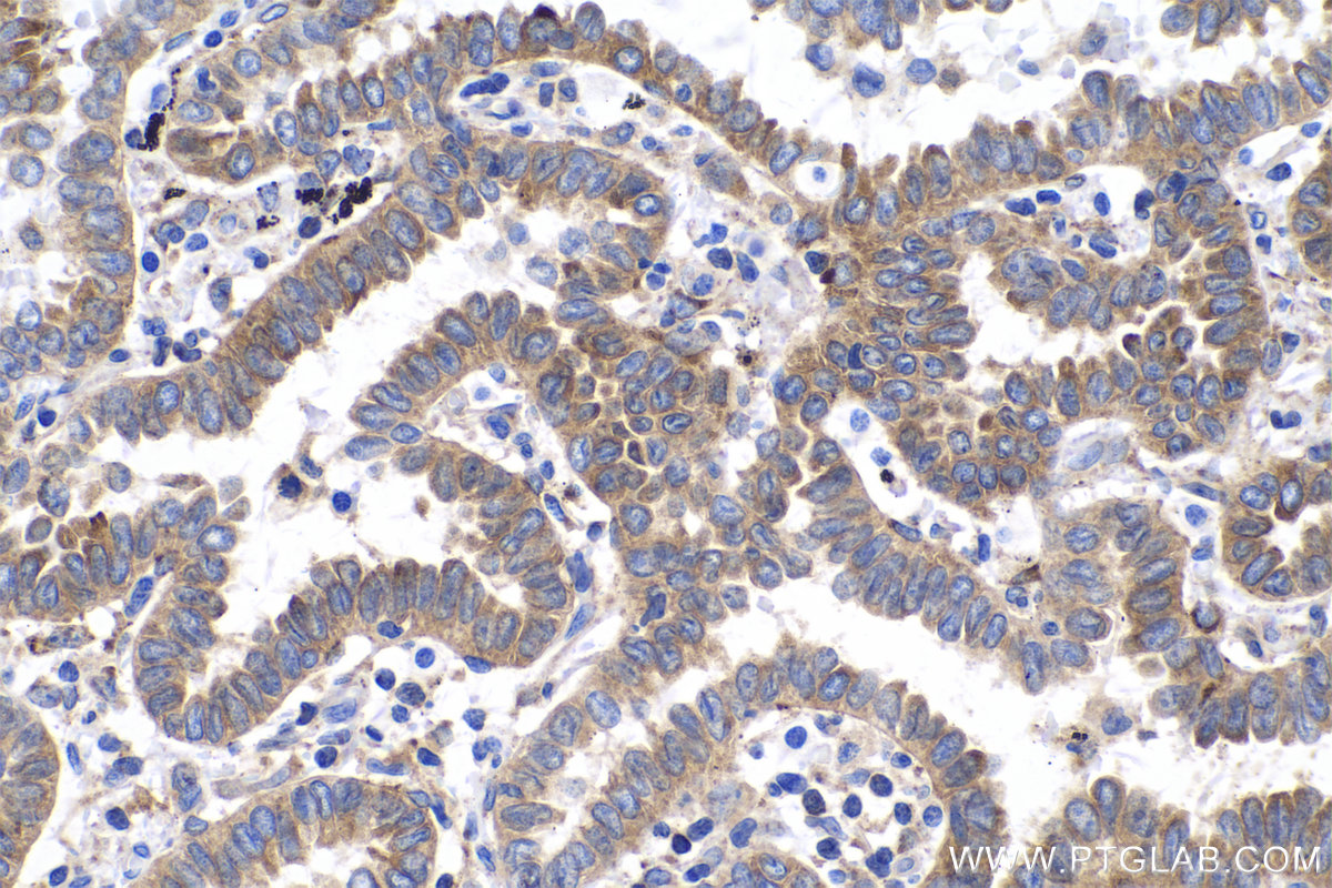
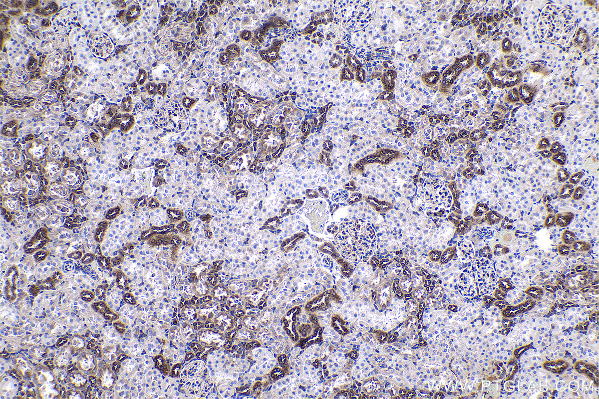
IHCeasy® PPIB Ready-To-Use IHC Kit
PPIB Ready-to-use reagent kit for IHC.
Reactivity
Human, Rat
Sample Type
FFPE tissue
Cat no : KHC0523
Synonyms
Cyclophilin B, CYP S1, CYPB, PPIase B, PPIB, Rotamase B, S cyclophilin, SCYLP
Validation Data Gallery
Product Information
KHC0523 is a ready-to-use IHC kit for staining of PPIB. The kit provides all reagents, from antigen retrieval to cover slip mounting, that require little to no diluting or handling prior to use. Simply apply the reagents to your sample slide according to the protocol and you're steps away from obtaining high-quality IHC data.
| Product name | IHCeasy PPIB Ready-To-Use IHC Kit | 
| Sample type | FFPE tissue | 
| Assay type | Immunohistochemistry | 
| Primary antibody type | Mouse Monoclonal | 
| Secondary antibody type | Polymer-HRP-Goat anti-Mouse | 
| Reactivity | Human, Rat | 
Kit components
| Component | Size | Concentration | 
|---|---|---|
| Antigen Retrieval Buffer | 100 mL | 50× | 
| Washing Buffer | 100 mL ×2 | 20× | 
| Blocking Buffer | 5 mL | RTU | 
| Primary Antibody | 5 mL | RTU | 
| Secondary Antibody | 5 mL | RTU | 
| Chromogen Component A | 0.2 mL | RTU | 
| Chromogen Component B | 4 mL | RTU | 
| Signal Enhancer | 5 mL | RTU | 
| Counter Staining Reagent | 5 mL | RTU | 
| Mounting Media | 5 mL | RTU | 
| Datasheet | 1 Copy | |
| Manual | 1 Copy | 
Background Information
PPIB, also named as CYPB, SCYLP, PPIase B and CYP-S1, belongs to the cyclophilin-type PPIase family and PPIase B subfamily. PPIases accelerate the folding of proteins. It catalyzes the cis-trans isomerization of proline imidic peptide bonds in oligopeptides. PPIB is secreted in biological fluids such as blood or milk and binds to a specific receptor present on the human lymphoblastic cell line Jurkat and on human peripheral blood lymphocytes.
Properties
| Storage Instructions | All the reagents are stored at 2-8°C. The kit is stable for 6 months from the date of receipt. | 
| Synonyms | Cyclophilin B, CYP S1, CYPB, PPIase B, PPIB, Rotamase B, S cyclophilin, SCYLP | 






