IHCeasy® PPIA Ready-To-Use IHC Kit
PPIA Ready-to-use reagent kit for IHC.
Reactivity
Human
Sample Type
FFPE tissue
Cat no : KHC0654
Synonyms
Cyclophilin A, Cyclosporin A binding protein, CYPA, CYPH, PPIA, PPIase A, Rotamase A
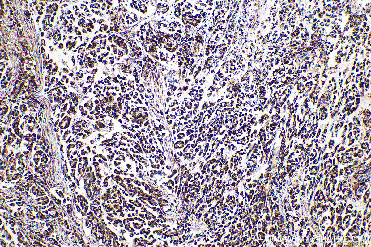
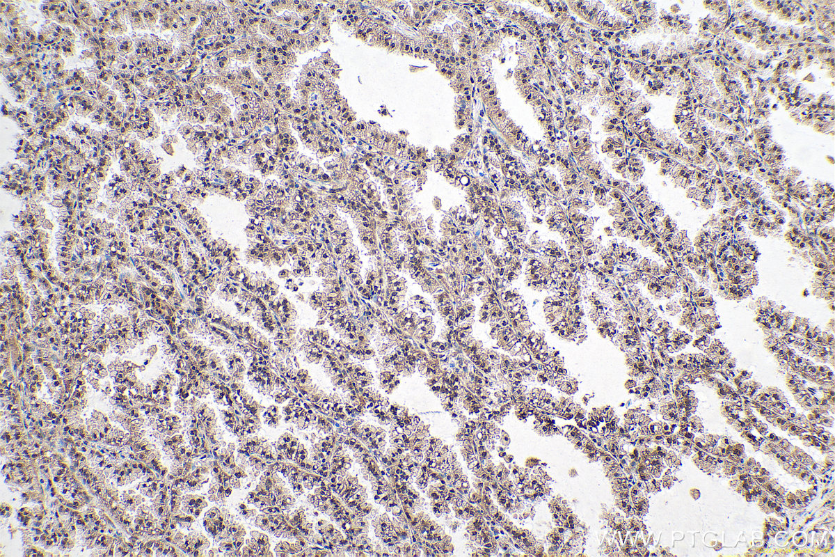
Validation Data Gallery
Product Information
KHC0654 is a ready-to-use IHC kit for staining of PPIA. The kit provides all reagents, from antigen retrieval to cover slip mounting, that require little to no diluting or handling prior to use. Simply apply the reagents to your sample slide according to the protocol and you're steps away from obtaining high-quality IHC data.
| Product name | IHCeasy PPIA Ready-To-Use IHC Kit |
| Sample type | FFPE tissue |
| Assay type | Immunohistochemistry |
| Primary antibody type | Mouse Monoclonal |
| Secondary antibody type | Polymer-HRP-Goat anti-Mouse |
| Reactivity | Human |
Kit components
| Component | Size | Concentration |
|---|---|---|
| Antigen Retrieval Buffer | 100 mL | 50× |
| Washing Buffer | 100 mL ×2 | 20× |
| Blocking Buffer | 5 mL | RTU |
| Primary Antibody | 5 mL | RTU |
| Secondary Antibody | 5 mL | RTU |
| Chromogen Component A | 0.2 mL | RTU |
| Chromogen Component B | 4 mL | RTU |
| Signal Enhancer | 5 mL | RTU |
| Counter Staining Reagent | 5 mL | RTU |
| Mounting Media | 5 mL | RTU |
| Datasheet | 1 Copy | |
| Manual | 1 Copy |
Background Information
Cyclophilin A, also named as PPIA and Rotamase A, belongs to the cyclophilin-type PPIase family and PPIase A subfamily. PPIases accelerate the folding of proteins. It catalyzes the cis-trans isomerization of proline imidic peptide bonds in oligopeptides. PPIA forms a trimolecular complex with cyclophilin and calcineurins to inhibit calcineurin phosphatase activity. PPIA is incorporated into the virion of the type 1 human immunodeficiency virus (HIV-1) via a direct interaction with the capsid domain of the viral Gag polyprotein and is crucial for efficient viral replication.
Properties
| Storage Instructions | All the reagents are stored at 2-8°C. The kit is stable for 6 months from the date of receipt. |
| Synonyms | Cyclophilin A, Cyclosporin A binding protein, CYPA, CYPH, PPIA, PPIase A, Rotamase A |





