IHCeasy® PLTP Ready-To-Use IHC Kit
PLTP Ready-to-use reagent kit for IHC.
Reactivity
Human, Mouse, Rat
Sample Type
FFPE tissue
Cat no : KHC3229
Synonyms
Lipid transfer protein II, Phospholipid transfer protein
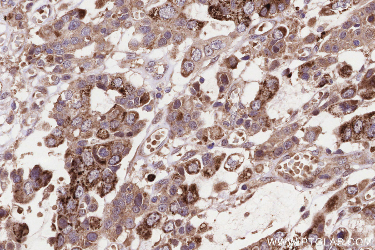
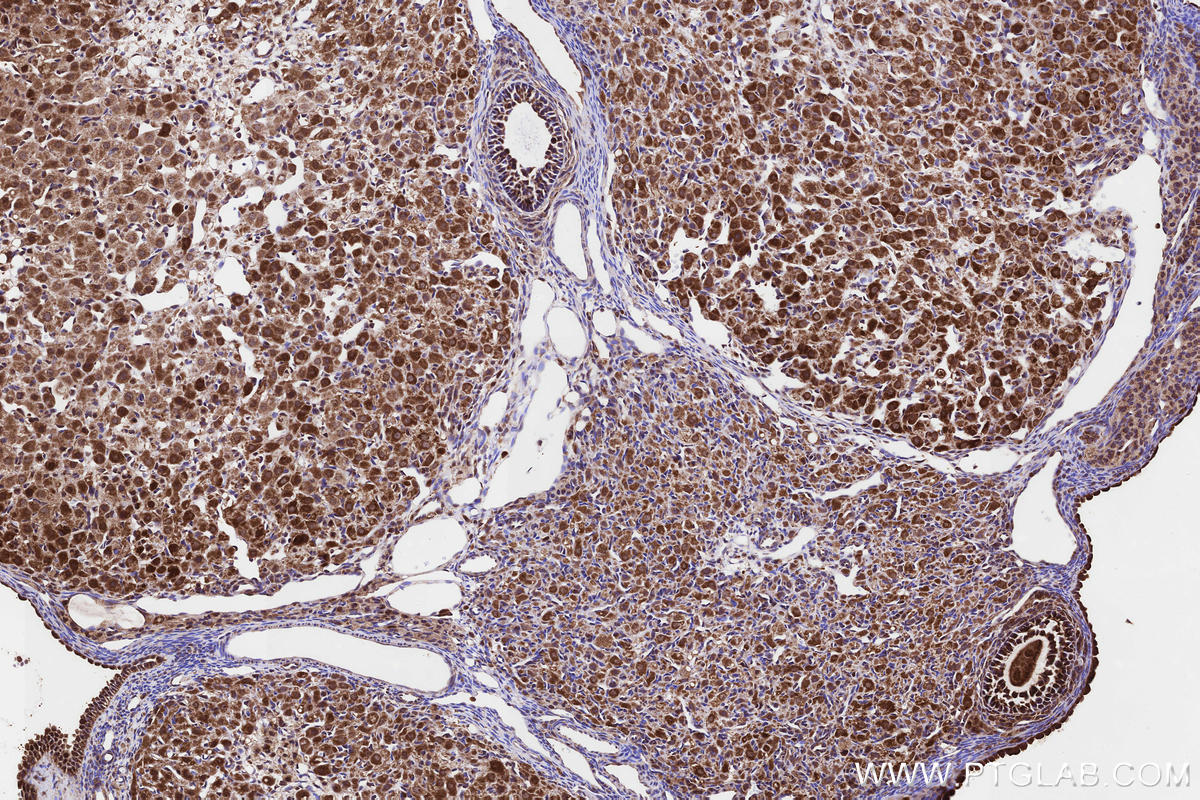
Validation Data Gallery
Product Information
KHC3229 is a ready-to-use IHC kit for staining of PLTP. The kit provides all reagents, from antigen retrieval to cover slip mounting, that require little to no diluting or handling prior to use. Simply apply the reagents to your sample slide according to the protocol and you're steps away from obtaining high-quality IHC data.
| Product name | IHCeasy® PLTP Ready-To-Use IHC Kit |
| Sample type | FFPE tissue |
| Assay type | Immunohistochemistry |
| Primary antibody type | Rabbit Polyclonal |
| Secondary antibody type | Polymer-HRP-Goat anti-Rabbit |
| Reactivity | Human, Mouse, Rat |
Kit components
| Component | Size | Concentration |
|---|---|---|
| Antigen Retrieval Buffer | 100 mL | 50× |
| Washing Buffer | 100 mL ×2 | 20× |
| Blocking Buffer | 5 mL | RTU |
| Primary Antibody | 5 mL | RTU |
| Secondary Antibody | 5 mL | RTU |
| Chromogen Component A | 0.2 mL | RTU |
| Chromogen Component B | 4 mL | RTU |
| Signal Enhancer | 5 mL | RTU |
| Counter Staining Reagent | 5 mL | RTU |
| Mounting Media | 5 mL | RTU |
| Datasheet | 1 Copy | |
| Manual | 1 Copy |
Background Information
PLTP (phospholipid transfer protein) belongs to the family of lipid-binding and lipid-transfer proteins. PLTP is involved in the distribution and metabolism of high-density lipoprotein ( HDL ) and reverse cholesterol transfer ( RCT ). In plasma, PLTP catalyzes the transfer of phospholipids ( mainly phosphatidylcholine ) between lipoproteins.
Properties
| Storage Instructions | All the reagents are stored at 2-8°C. The kit is stable for 6 months from the date of receipt. |
| Synonyms | Lipid transfer protein II, Phospholipid transfer protein |




