IHCeasy® PLAAT3 Ready-To-Use IHC Kit
PLAAT3 Ready-to-use reagent kit for IHC.
Reactivity
Human
Sample Type
FFPE tissue
Cat no : KHC3227
Synonyms
HRASLS3, PLA2G16
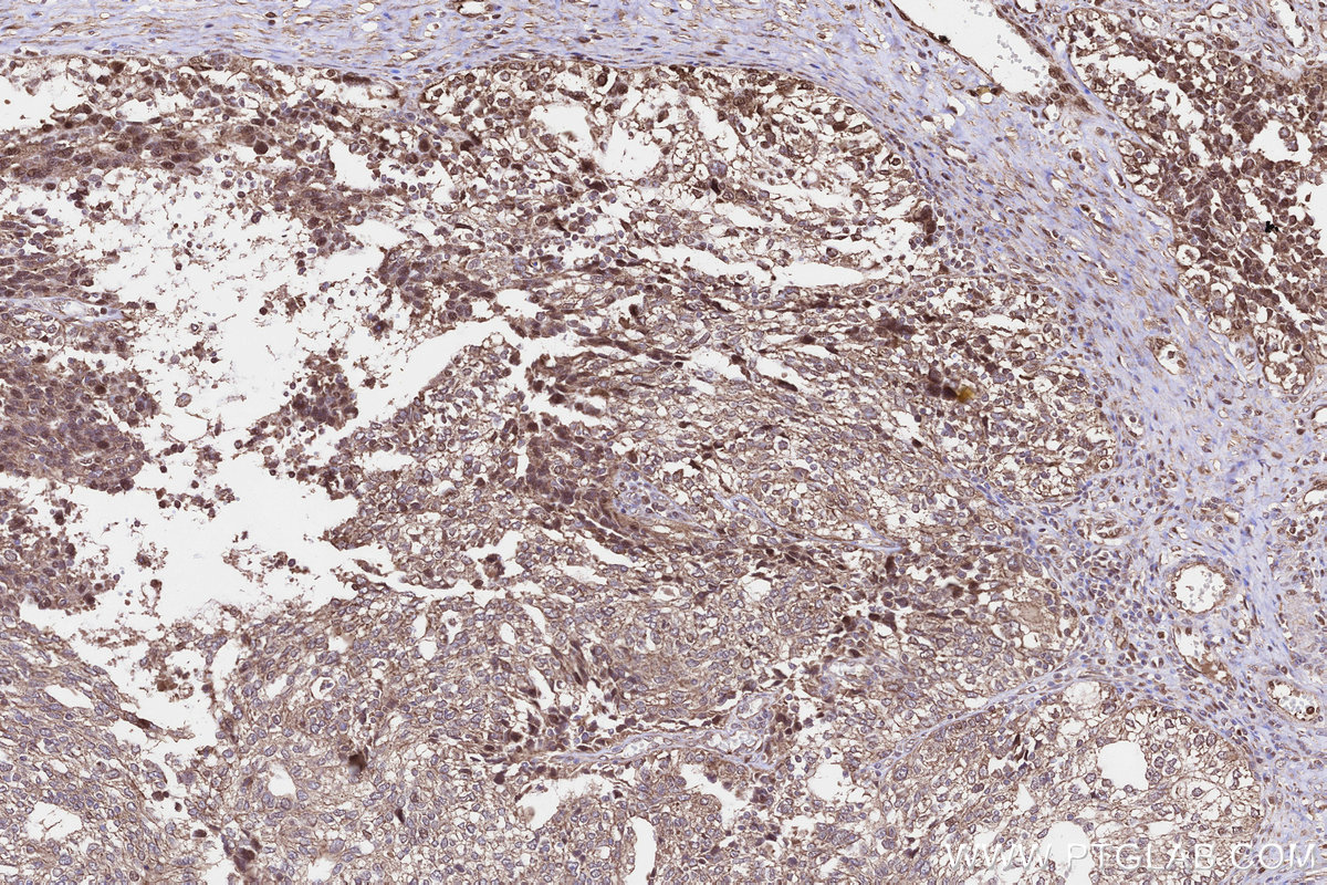
Validation Data Gallery
Product Information
KHC3227 is a ready-to-use IHC kit for staining of PLAAT3. The kit provides all reagents, from antigen retrieval to cover slip mounting, that require little to no diluting or handling prior to use. Simply apply the reagents to your sample slide according to the protocol and you're steps away from obtaining high-quality IHC data.
| Product name | IHCeasy® PLAAT3 Ready-To-Use IHC Kit |
| Sample type | FFPE tissue |
| Assay type | Immunohistochemistry |
| Primary antibody type | Rabbit Polyclonal |
| Secondary antibody type | Polymer-HRP-Goat anti-Rabbit |
| Reactivity | Human |
Kit components
| Component | Size | Concentration |
|---|---|---|
| Antigen Retrieval Buffer | 100 mL | 50× |
| Washing Buffer | 100 mL ×2 | 20× |
| Blocking Buffer | 5 mL | RTU |
| Primary Antibody | 5 mL | RTU |
| Secondary Antibody | 5 mL | RTU |
| Chromogen Component A | 0.2 mL | RTU |
| Chromogen Component B | 4 mL | RTU |
| Signal Enhancer | 5 mL | RTU |
| Counter Staining Reagent | 5 mL | RTU |
| Mounting Media | 5 mL | RTU |
| Datasheet | 1 Copy | |
| Manual | 1 Copy |
Background Information
Phospholipase A/acyltransferase 3 (PLAAT3) is a phospholipid-modifying enzyme predominantly expressed in neural and white adipose tissue (WAT).It belongs to the phospholipase A and acyltransferase (PLAAT) family which is a group of structurally related proteins that are conserved among vertebrates. In humans, the family comprises five members (PLAAT1-5), which share common domain structures, and functions as phospholipase A1/A2 and acyltransferase enzymes. Regarding acyltransferase activities, PLAATs produce N-acyl-phosphatidylethanolamines, which serve as the precursor of bioactive N-acylethanolamines (NAEs).
Properties
| Storage Instructions | All the reagents are stored at 2-8°C. The kit is stable for 6 months from the date of receipt. |
| Synonyms | HRASLS3, PLA2G16 |

