IHCeasy® PLAA Ready-To-Use IHC Kit
PLAA Ready-to-use reagent kit for IHC.
Reactivity
Human, Mouse, Rat
Sample Type
FFPE tissue
Cat no : KHC0774
Synonyms
DOA1, PLA2P, PLAA, PLAP
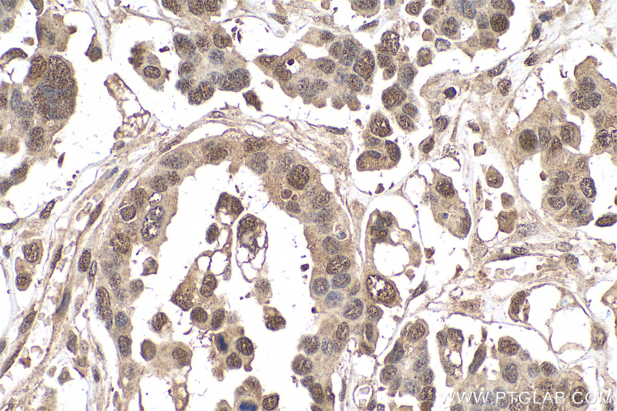
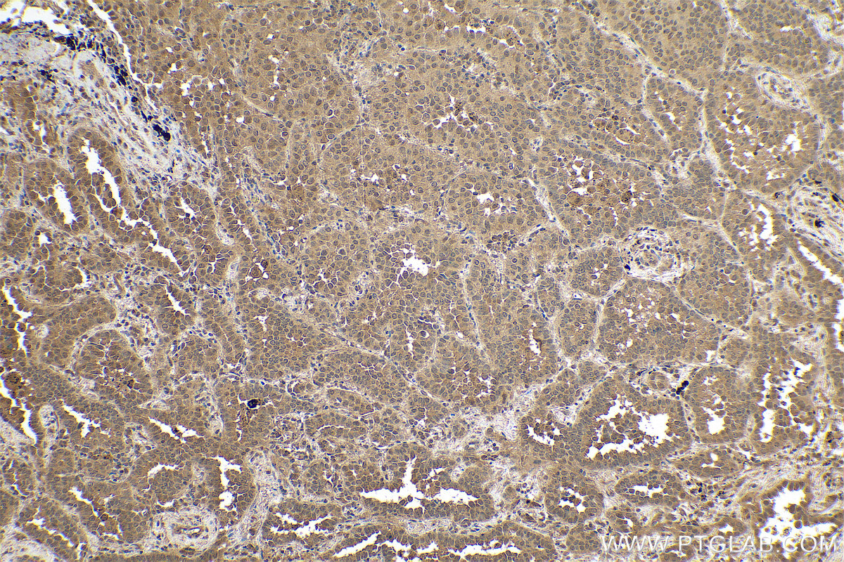
Validation Data Gallery
Product Information
KHC0774 is a ready-to-use IHC kit for staining of PLAA. The kit provides all reagents, from antigen retrieval to cover slip mounting, that require little to no diluting or handling prior to use. Simply apply the reagents to your sample slide according to the protocol and you're steps away from obtaining high-quality IHC data.
| Product name | IHCeasy PLAA Ready-To-Use IHC Kit |
| Sample type | FFPE tissue |
| Assay type | Immunohistochemistry |
| Primary antibody type | Mouse Monoclonal |
| Secondary antibody type | Polymer-HRP-Goat anti-Mouse |
| Reactivity | Human, Mouse, Rat |
Kit components
| Component | Size | Concentration |
|---|---|---|
| Antigen Retrieval Buffer | 100 mL | 50× |
| Washing Buffer | 100 mL ×2 | 20× |
| Blocking Buffer | 5 mL | RTU |
| Primary Antibody | 5 mL | RTU |
| Secondary Antibody | 5 mL | RTU |
| Chromogen Component A | 0.2 mL | RTU |
| Chromogen Component B | 4 mL | RTU |
| Signal Enhancer | 5 mL | RTU |
| Counter Staining Reagent | 5 mL | RTU |
| Mounting Media | 5 mL | RTU |
| Datasheet | 1 Copy | |
| Manual | 1 Copy |
Background Information
Phospholipase A-2-activating protein (PLAA), also named PLAP, can interact with ubiquitin and is involved in the maintenance of ubiquitin levels. PLAA contains multiple consensus domains including WD repeats, PFU domain and PUL domain. Although the function of PLAA remains unclear, ubiquitin binding of PLAA might be the central role that connects ubiquitination and degradation in ERAD. Recent finding revealed that PLAA served as a novel nociveptive mediator after incision, and its expression level is regulated by miR-203.
Properties
| Storage Instructions | All the reagents are stored at 2-8°C. The kit is stable for 6 months from the date of receipt. |
| Synonyms | DOA1, PLA2P, PLAA, PLAP |






