IHCeasy® PITPNB Ready-To-Use IHC Kit
PITPNB Ready-to-use reagent kit for IHC.
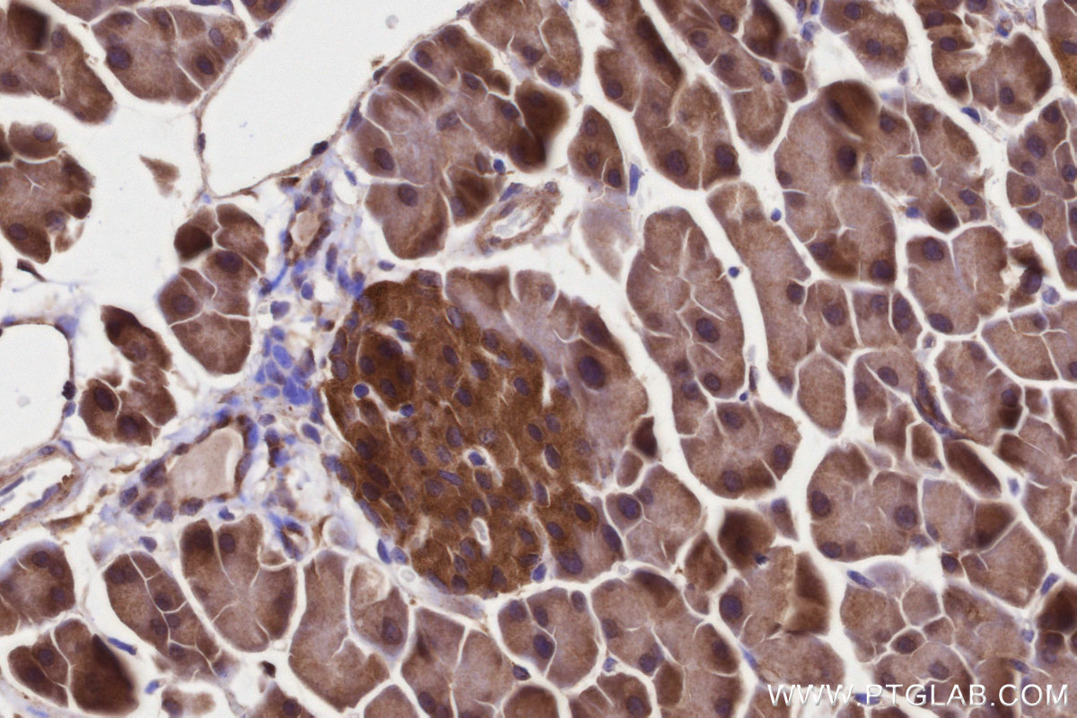
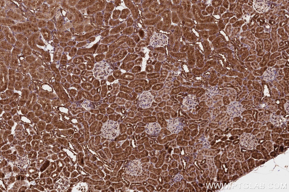
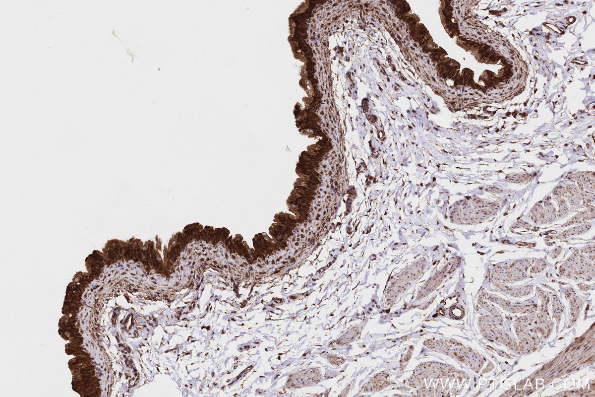
Reactivity
Human, Mouse, Rat
Sample Type
FFPE tissue
Cat no : KHC3215
Synonyms
PI TP beta, PI-TP-beta, PtdIns transfer protein beta, PtdInsTP, PtdInsTP beta
Validation Data Gallery
Product Information
KHC3215 is a ready-to-use IHC kit for staining of PITPNB. The kit provides all reagents, from antigen retrieval to cover slip mounting, that require little to no diluting or handling prior to use. Simply apply the reagents to your sample slide according to the protocol and you're steps away from obtaining high-quality IHC data.
| Product name | IHCeasy® PITPNB Ready-To-Use IHC Kit |
| Sample type | FFPE tissue |
| Assay type | Immunohistochemistry |
| Primary antibody type | Rabbit Polyclonal |
| Secondary antibody type | Polymer-HRP-Goat anti-Rabbit |
| Reactivity | Human, Mouse, Rat |
Kit components
| Component | Size | Concentration |
|---|---|---|
| Antigen Retrieval Buffer | 100 mL | 50× |
| Washing Buffer | 100 mL ×2 | 20× |
| Blocking Buffer | 5 mL | RTU |
| Primary Antibody | 5 mL | RTU |
| Secondary Antibody | 5 mL | RTU |
| Chromogen Component A | 0.2 mL | RTU |
| Chromogen Component B | 4 mL | RTU |
| Signal Enhancer | 5 mL | RTU |
| Counter Staining Reagent | 5 mL | RTU |
| Mounting Media | 5 mL | RTU |
| Datasheet | 1 Copy | |
| Manual | 1 Copy |
Properties
| Storage Instructions | All the reagents are stored at 2-8°C. The kit is stable for 6 months from the date of receipt. |
| Synonyms | PI TP beta, PI-TP-beta, PtdIns transfer protein beta, PtdInsTP, PtdInsTP beta |






