IHCeasy® PIP5K3 Ready-To-Use IHC Kit
PIP5K3 Ready-to-use reagent kit for IHC.
Reactivity
Human, Mouse, Rat
Sample Type
FFPE tissue
Cat no : KHC3054
Synonyms
PIKfyve, 1-phosphatidylinositol 3-phosphate 5-kinase, CFD, EC:2.7.1.150, EC:2.7.11.1
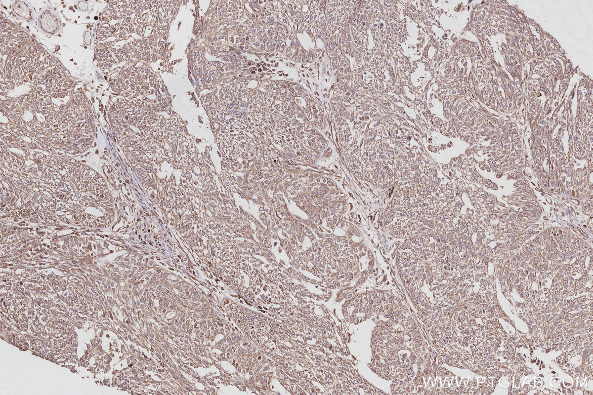
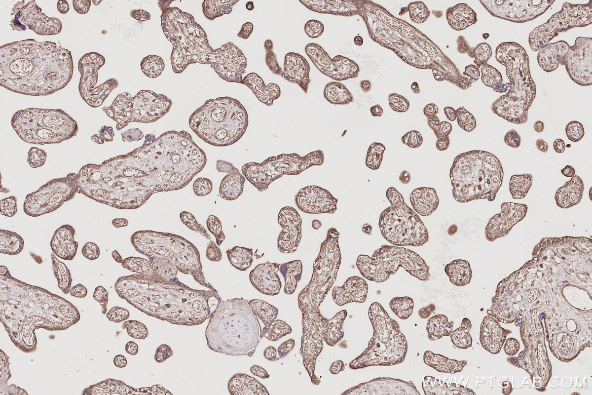
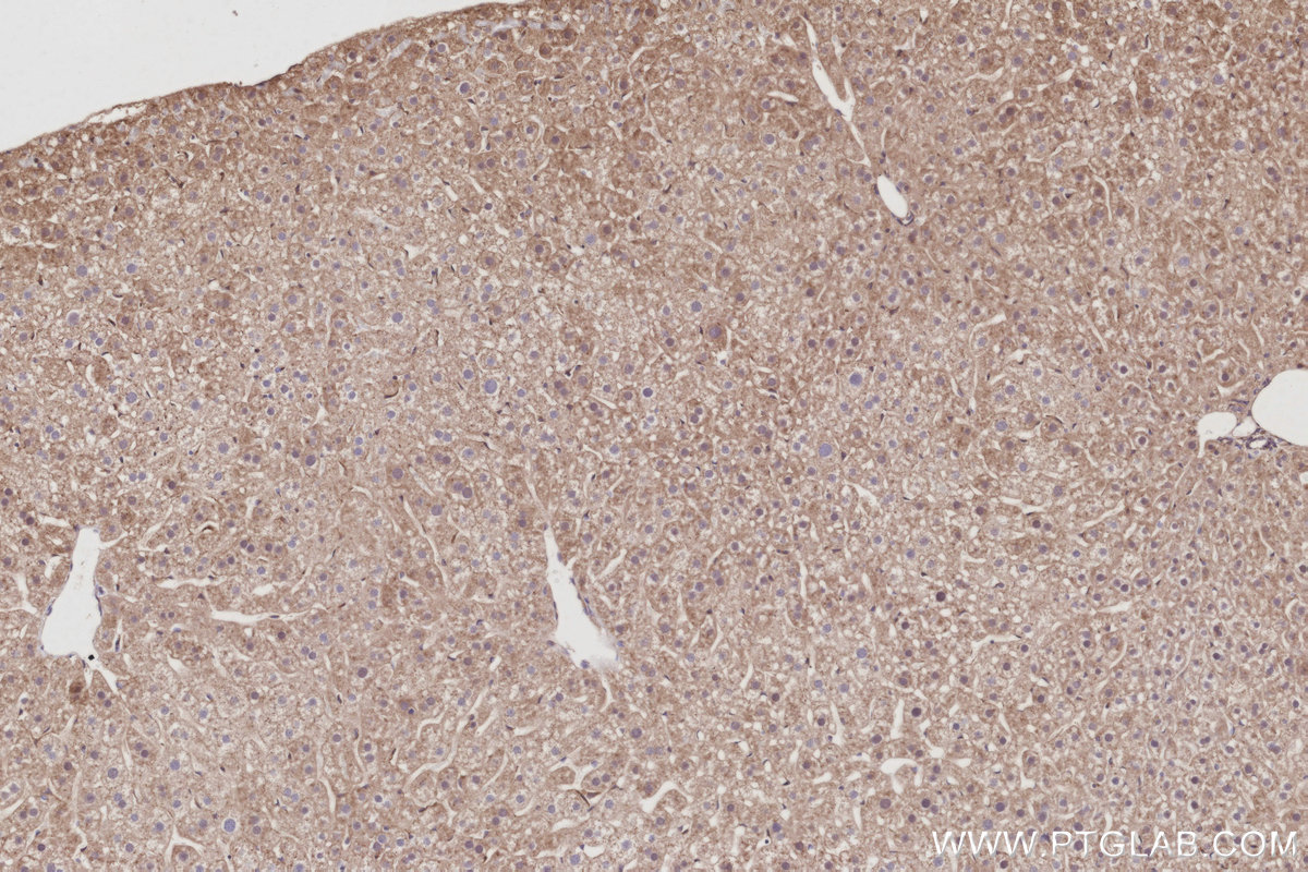
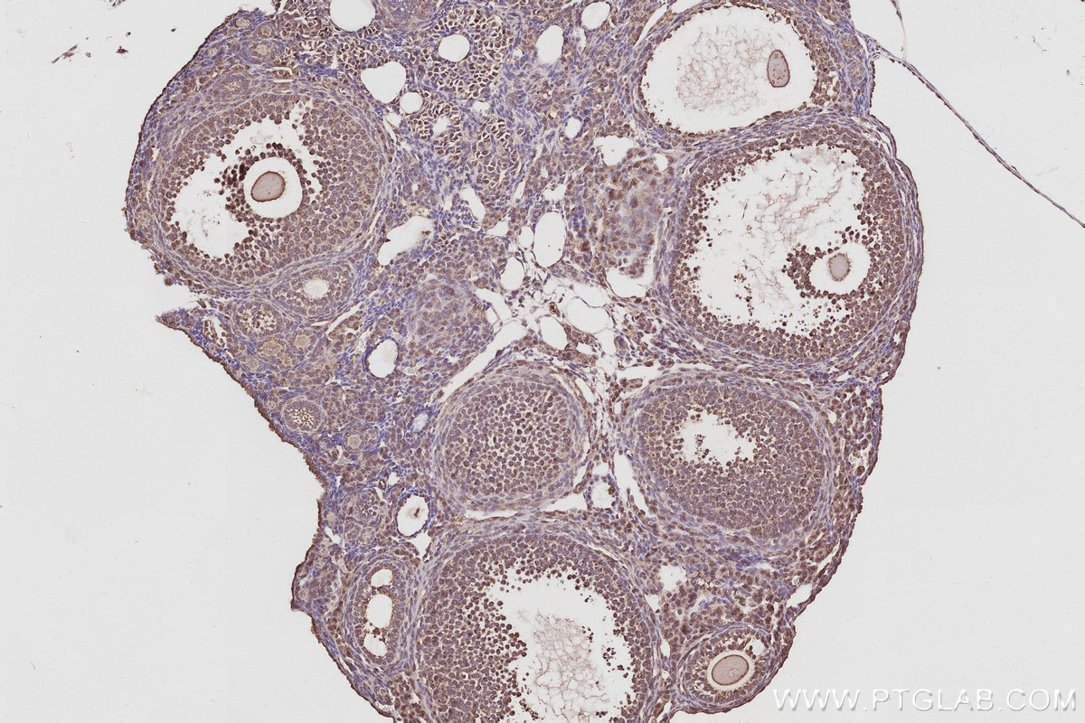
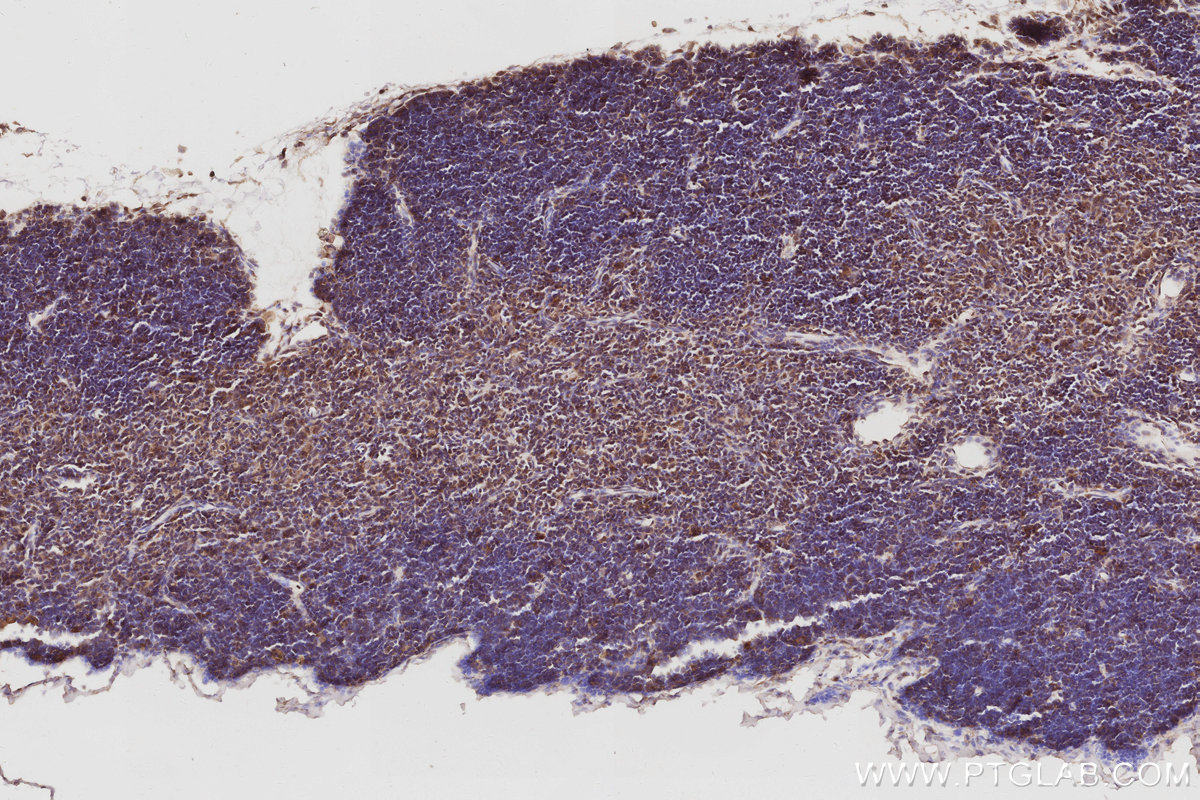
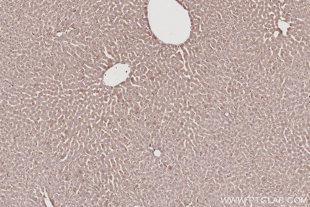
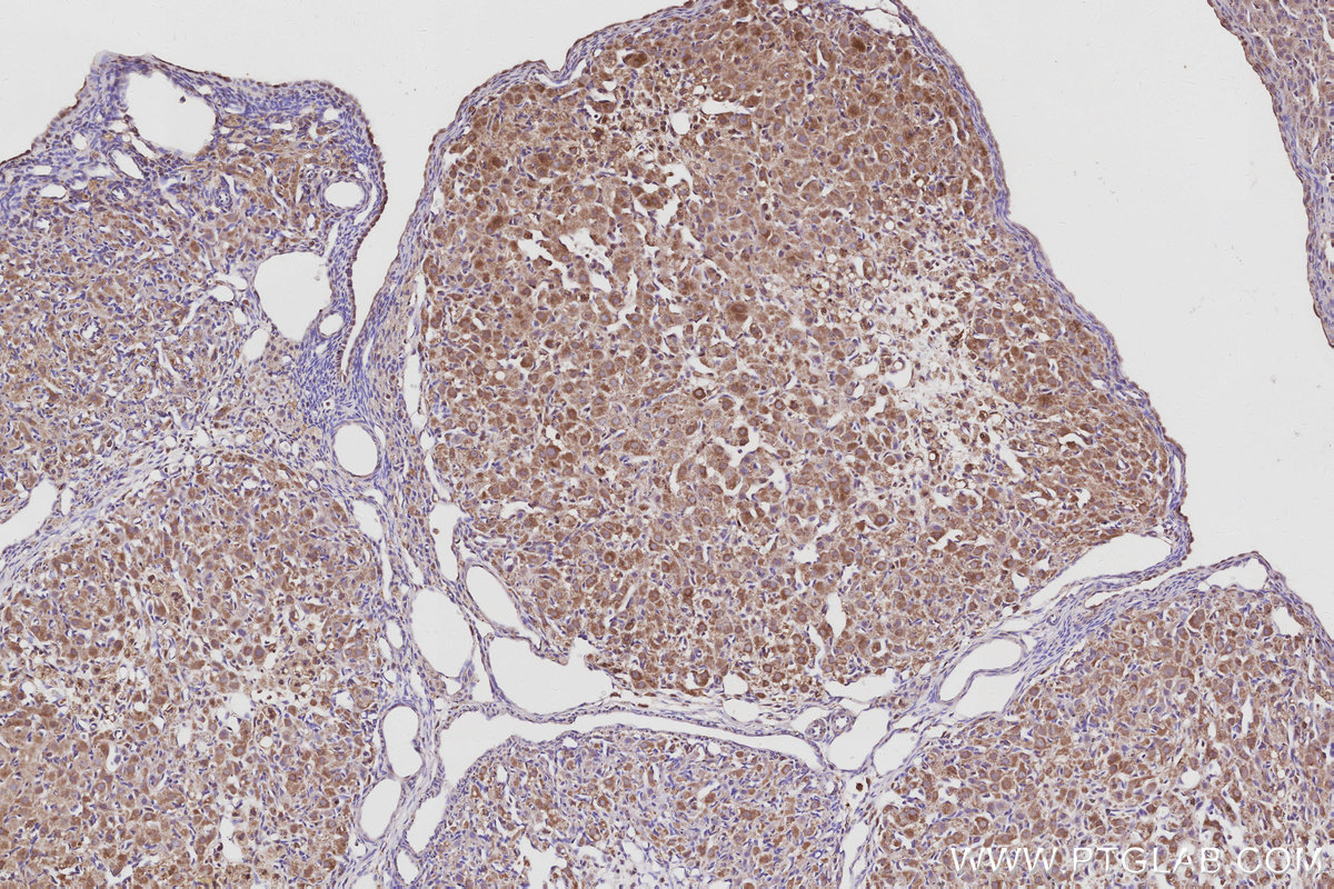
Validation Data Gallery
Product Information
KHC3054 is a ready-to-use IHC kit for staining of PIP5K3. The kit provides all reagents, from antigen retrieval to cover slip mounting, that require little to no diluting or handling prior to use. Simply apply the reagents to your sample slide according to the protocol and you're steps away from obtaining high-quality IHC data.
| Product name | IHCeasy® PIP5K3 Ready-To-Use IHC Kit |
| Sample type | FFPE tissue |
| Assay type | Immunohistochemistry |
| Primary antibody type | Rabbit Polyclonal |
| Secondary antibody type | Polymer-HRP-Goat anti-Rabbit |
| Reactivity | Human, Mouse, Rat |
Kit components
| Component | Size | Concentration |
|---|---|---|
| Antigen Retrieval Buffer | 100 mL | 50× |
| Washing Buffer | 100 mL ×2 | 20× |
| Blocking Buffer | 5 mL | RTU |
| Primary Antibody | 5 mL | RTU |
| Secondary Antibody | 5 mL | RTU |
| Chromogen Component A | 0.2 mL | RTU |
| Chromogen Component B | 4 mL | RTU |
| Signal Enhancer | 5 mL | RTU |
| Counter Staining Reagent | 5 mL | RTU |
| Mounting Media | 5 mL | RTU |
| Datasheet | 1 Copy | |
| Manual | 1 Copy |
Background Information
PIP5K3 (1-phosphatidylinositol 3-phosphate 5-kinase), also callled PIKFYVE, belongs to a large family of lipid kinases that alter the phosphorylation status of intracellular phosphatidylinositol. The content of phosphatidylinositol 3,5-bisphosphate (PtdIns(3,5)P2) in endosomal membranes changes dynamically with fission and fusion events that generate or absorb intracellular transport vesicles. PIKFYVE is the PtdIns(3,5)P2-producing component of a trimolecular complex that tightly regulates the level of PtdIns(3,5)P2. Other components of this complex are the PIKFYVE activator VAC14 and the PtdIns(3,5)P2 phosphatase. In addition to its phosphoinositide 5-kinase activity, PIKFYVE also has protein kinase activity.
Properties
| Storage Instructions | All the reagents are stored at 2-8°C. The kit is stable for 6 months from the date of receipt. |
| Synonyms | PIKfyve, 1-phosphatidylinositol 3-phosphate 5-kinase, CFD, EC:2.7.1.150, EC:2.7.11.1 |







