IHCeasy® PIK3C3/VPS34 Ready-To-Use IHC Kit
PIK3C3/VPS34 Ready-to-use reagent kit for IHC.
Reactivity
Human, Mouse
Sample Type
FFPE tissue
Cat no : KHC2691
Synonyms
PIK3C3,Vps34,EC:2.7.1.137,hVps34,PI 3 Kinase Class
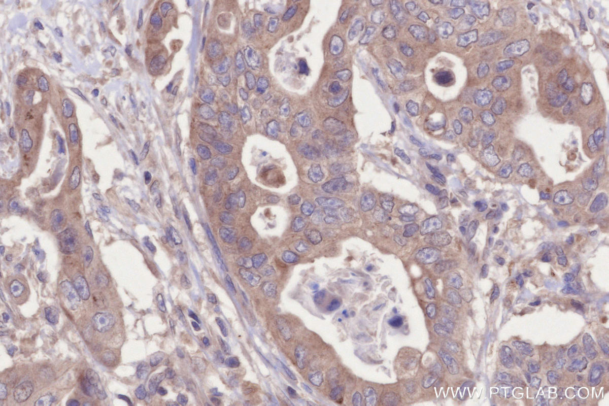
Validation Data Gallery
Product Information
KHC2691 is a ready-to-use IHC kit for staining of PIK3C3/VPS34. The kit provides all reagents, from antigen retrieval to cover slip mounting, that require little to no diluting or handling prior to use. Simply apply the reagents to your sample slide according to the protocol and you're steps away from obtaining high-quality IHC data.
| Product name | IHCeasy PIK3C3/VPS34 Ready-To-Use IHC Kit | 
| Sample type | FFPE tissue | 
| Assay type | Immunohistochemistry | 
| Primary antibody type | Rabbit Polyclonal | 
| Secondary antibody type | Polymer-HRP-Goat anti-Rabbit | 
| Reactivity | Human, Mouse | 
Kit components
| Component | Size | Concentration | 
|---|---|---|
| Antigen Retrieval Buffer | 100 mL | 50× | 
| Washing Buffer | 100 mL ×2 | 20× | 
| Blocking Buffer | 5 mL | RTU | 
| Primary Antibody | 5 mL | RTU | 
| Secondary Antibody | 5 mL | RTU | 
| Chromogen Component A | 0.2 mL | RTU | 
| Chromogen Component B | 4 mL | RTU | 
| Signal Enhancer | 5 mL | RTU | 
| Counter Staining Reagent | 5 mL | RTU | 
| Mounting Media | 5 mL | RTU | 
| Datasheet | 1 Copy | |
| Manual | 1 Copy | 
Background Information
PIK3C3(Phosphatidylinositol 3-kinase catalytic subunit type 3) is also named as VPS34 and belongs to the PI3/PI4-kinase family.It is a catalytic subunit of the PI3K complex that mediates formation of phosphatidylinositol 3-phosphate which plays a key role in initiation and maturation of autophagosomes.It can form a dimer.
Properties
| Storage Instructions | All the reagents are stored at 2-8°C. The kit is stable for 6 months from the date of receipt. | 
| Synonyms | PIK3C3,Vps34,EC:2.7.1.137,hVps34,PI 3 Kinase Class | 




