IHCeasy® PIGP Ready-To-Use IHC Kit
PIGP Ready-to-use reagent kit for IHC.
Reactivity
Human, Mouse
Sample Type
FFPE tissue
Cat no : KHC3234
Synonyms
DCRC, DSCR5, DSCRC, DSRC, NPD010
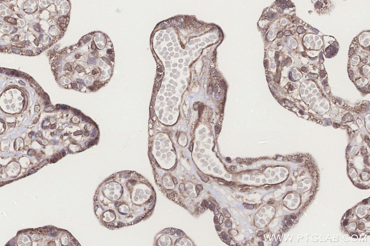
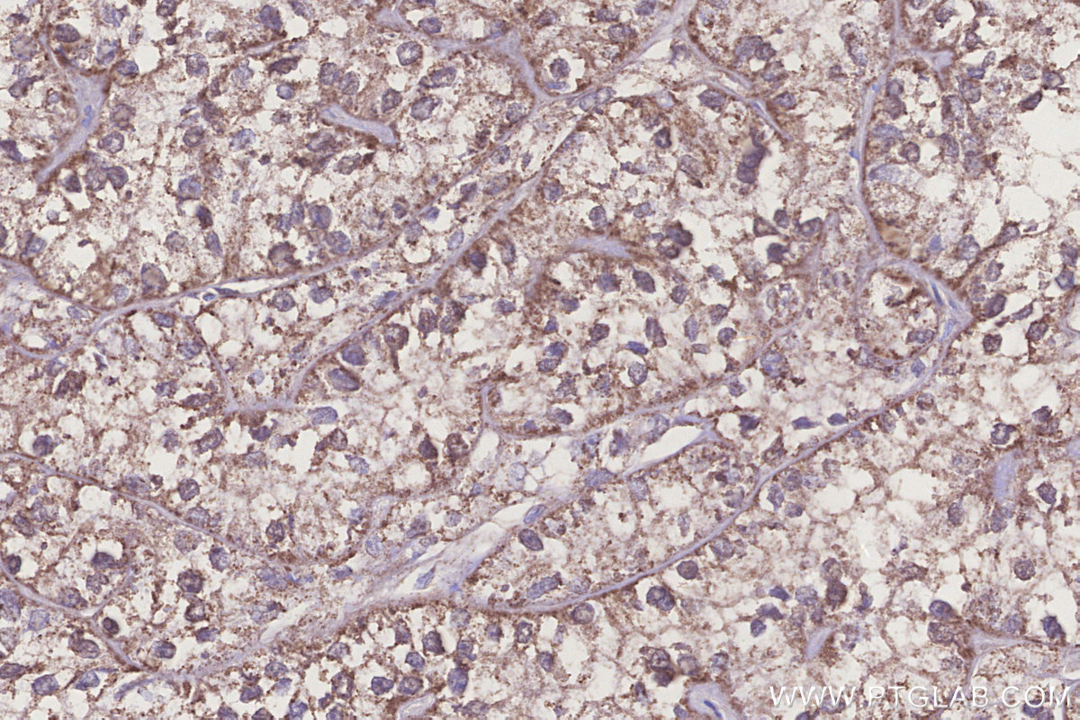
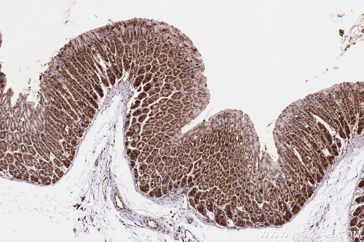
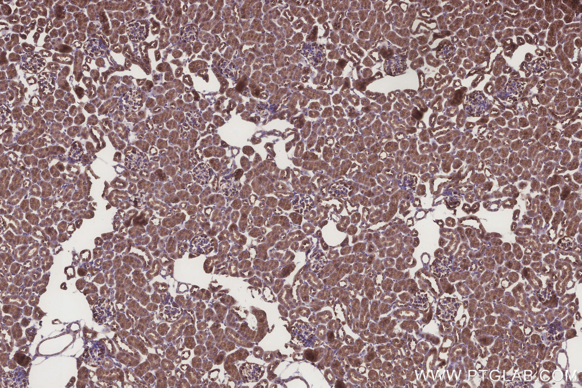
Validation Data Gallery
Product Information
KHC3234 is a ready-to-use IHC kit for staining of PIGP. The kit provides all reagents, from antigen retrieval to cover slip mounting, that require little to no diluting or handling prior to use. Simply apply the reagents to your sample slide according to the protocol and you're steps away from obtaining high-quality IHC data.
| Product name | IHCeasy® PIGP Ready-To-Use IHC Kit |
| Sample type | FFPE tissue |
| Assay type | Immunohistochemistry |
| Primary antibody type | Rabbit Polyclonal |
| Secondary antibody type | Polymer-HRP-Goat anti-Rabbit |
| Reactivity | Human, Mouse |
Kit components
| Component | Size | Concentration |
|---|---|---|
| Antigen Retrieval Buffer | 100 mL | 50× |
| Washing Buffer | 100 mL ×2 | 20× |
| Blocking Buffer | 5 mL | RTU |
| Primary Antibody | 5 mL | RTU |
| Secondary Antibody | 5 mL | RTU |
| Chromogen Component A | 0.2 mL | RTU |
| Chromogen Component B | 4 mL | RTU |
| Signal Enhancer | 5 mL | RTU |
| Counter Staining Reagent | 5 mL | RTU |
| Mounting Media | 5 mL | RTU |
| Datasheet | 1 Copy | |
| Manual | 1 Copy |
Background Information
Phosphatidylinositol glycan anchor biosynthesis, class P (PIGP), a member of the large glycosylphosphatidylinositol (GPI) anchor biosynthesis gene family, encodes a subunit of the enzyme that catalyzes the first step of GPI anchor biosynthesis. Mutations in the PIGP gene can lead to a variety of disorders, including developmental delay, intellectual disability, seizures, dysmorphic features, and diverse congenital anomalies.
Properties
| Storage Instructions | All the reagents are stored at 2-8°C. The kit is stable for 6 months from the date of receipt. |
| Synonyms | DCRC, DSCR5, DSCRC, DSRC, NPD010 |




