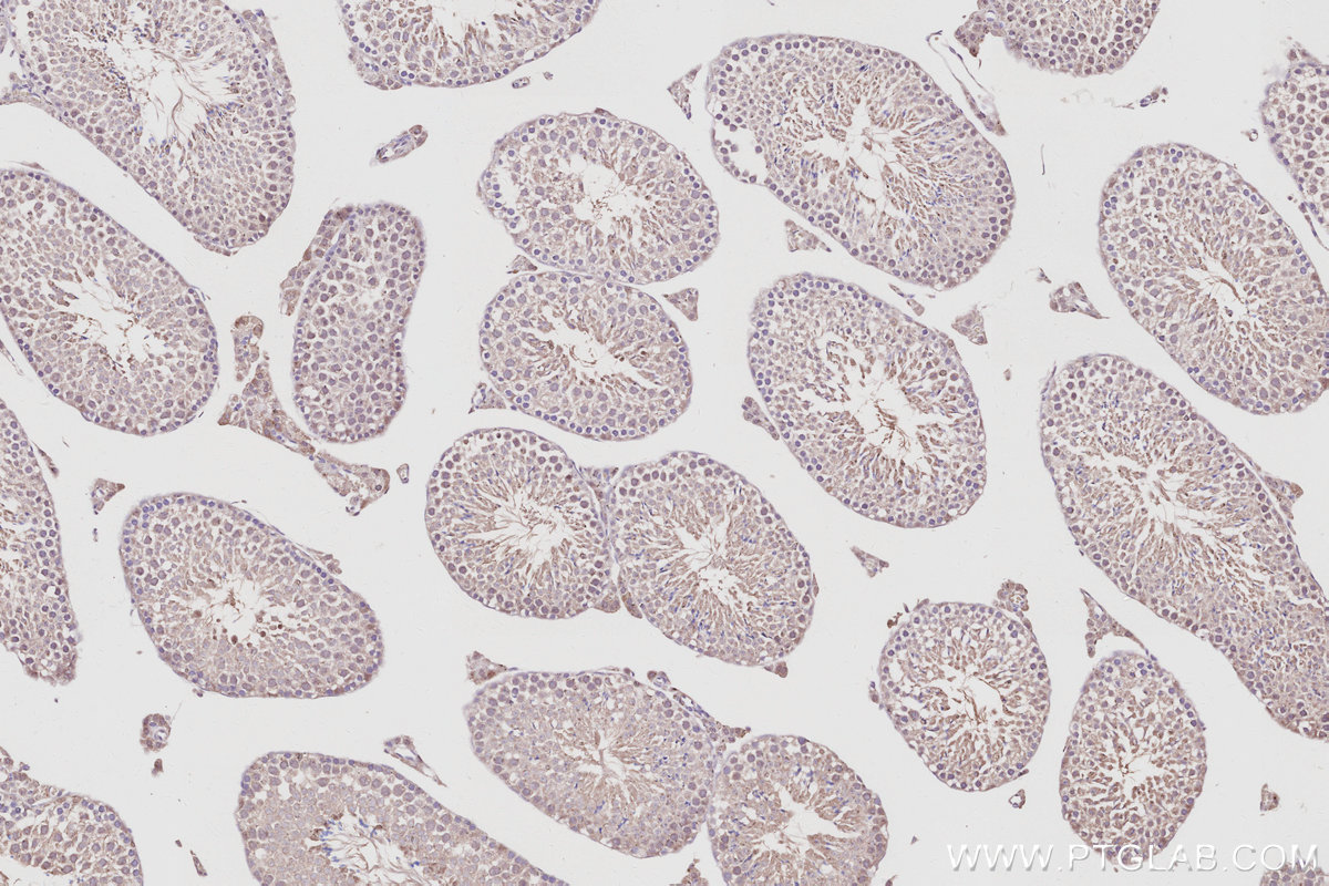
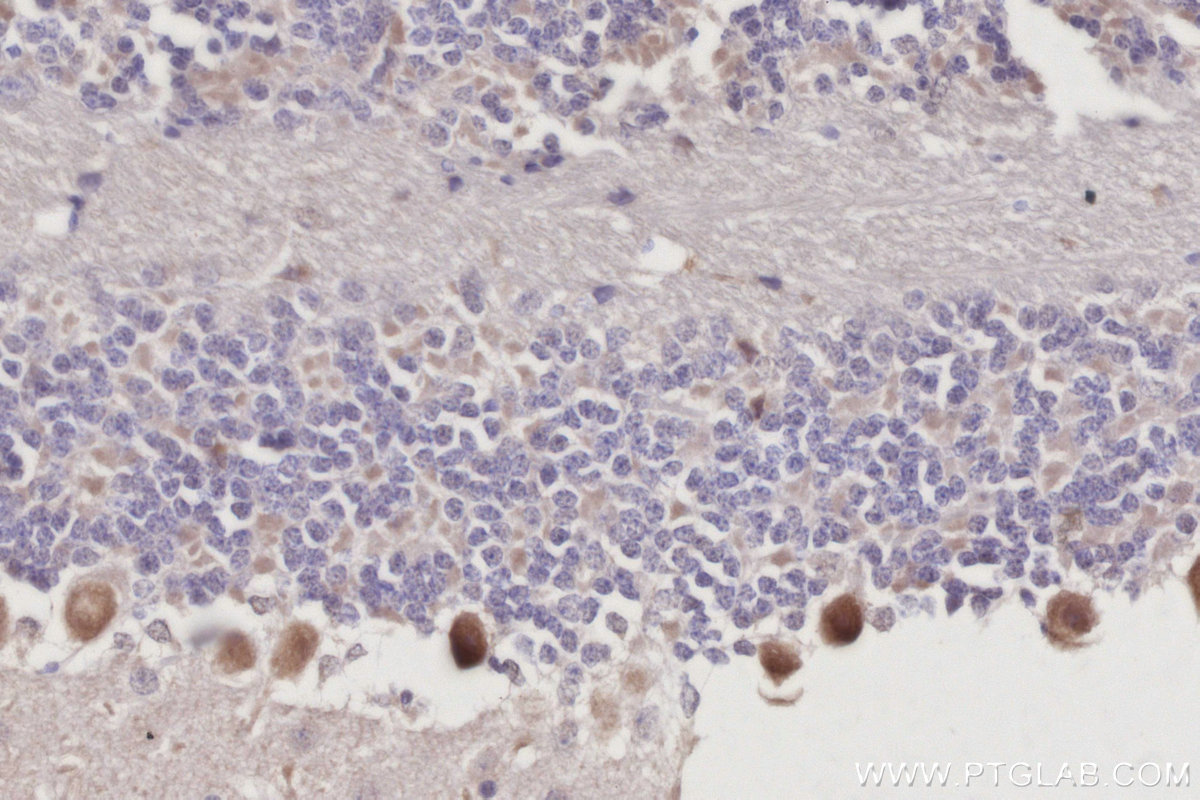
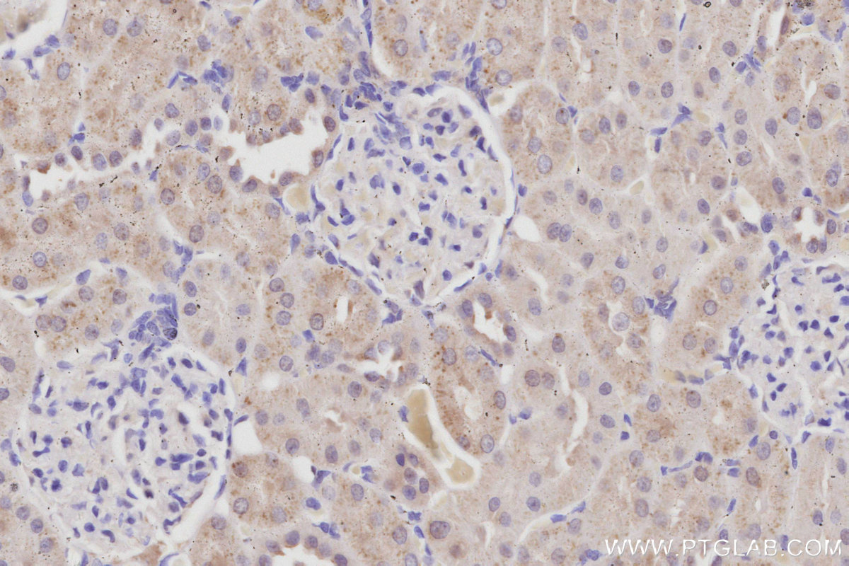
IHCeasy® PDE10A Ready-To-Use IHC Kit
PDE10A Ready-to-use reagent kit for IHC.
Reactivity
Human, Mouse, Rat
Sample Type
FFPE tissue
Cat no : KHC3051
Synonyms
cAMP and cAMP-inhibited cGMP 3',5'-cyclic phosphodiesterase 10A, EC:3.1.4.17, HSPDE10A, phosphodiesterase 10A
Validation Data Gallery
Product Information
KHC3051 is a ready-to-use IHC kit for staining of PDE10A. The kit provides all reagents, from antigen retrieval to cover slip mounting, that require little to no diluting or handling prior to use. Simply apply the reagents to your sample slide according to the protocol and you're steps away from obtaining high-quality IHC data.
| Product name | IHCeasy® PDE10A Ready-To-Use IHC Kit |
| Sample type | FFPE tissue |
| Assay type | Immunohistochemistry |
| Primary antibody type | Rabbit Polyclonal |
| Secondary antibody type | Polymer-HRP-Goat anti-Rabbit |
| Reactivity | Human, Mouse, Rat |
Kit components
| Component | Size | Concentration |
|---|---|---|
| Antigen Retrieval Buffer | 100 mL | 50× |
| Washing Buffer | 100 mL ×2 | 20× |
| Blocking Buffer | 5 mL | RTU |
| Primary Antibody | 5 mL | RTU |
| Secondary Antibody | 5 mL | RTU |
| Chromogen Component A | 0.2 mL | RTU |
| Chromogen Component B | 4 mL | RTU |
| Signal Enhancer | 5 mL | RTU |
| Counter Staining Reagent | 5 mL | RTU |
| Mounting Media | 5 mL | RTU |
| Datasheet | 1 Copy | |
| Manual | 1 Copy |
Background Information
PDE10A (Phosphodiesterase 10A) is a single member of the PDE10 protein family, and it catalyzes both cAMP and cGMP hydrolysis. The literature on PDE10A has been focused on psychiatric and neurological disorders because PDE10A expression is enriched in the striatal region of the brain under normal conditions. Moreover, PDE10A expression is induced in various human tumor cell lines and PDE10A inhibition suppresses tumor cell growth.
Properties
| Storage Instructions | All the reagents are stored at 2-8°C. The kit is stable for 6 months from the date of receipt. |
| Synonyms | cAMP and cAMP-inhibited cGMP 3',5'-cyclic phosphodiesterase 10A, EC:3.1.4.17, HSPDE10A, phosphodiesterase 10A |



