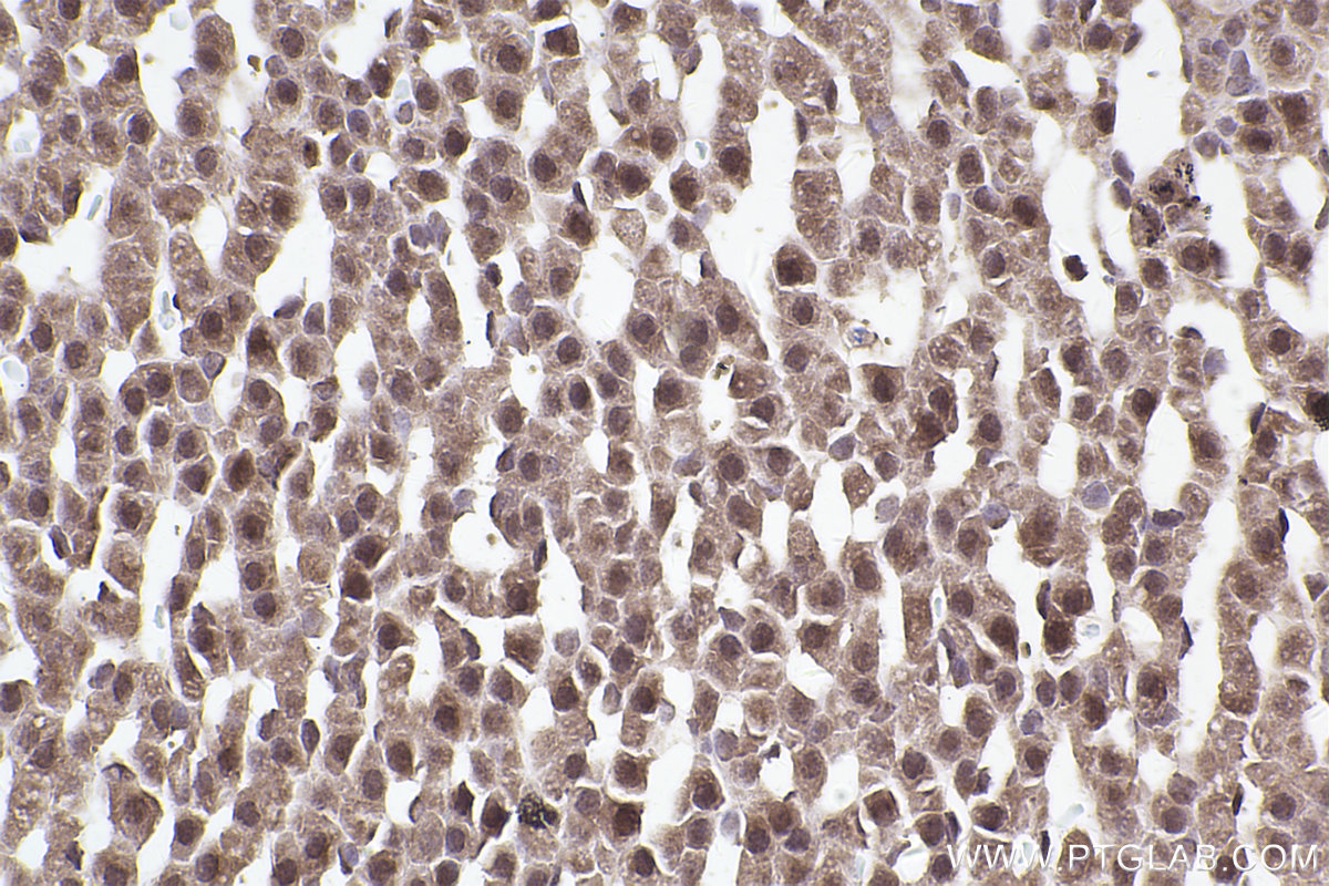
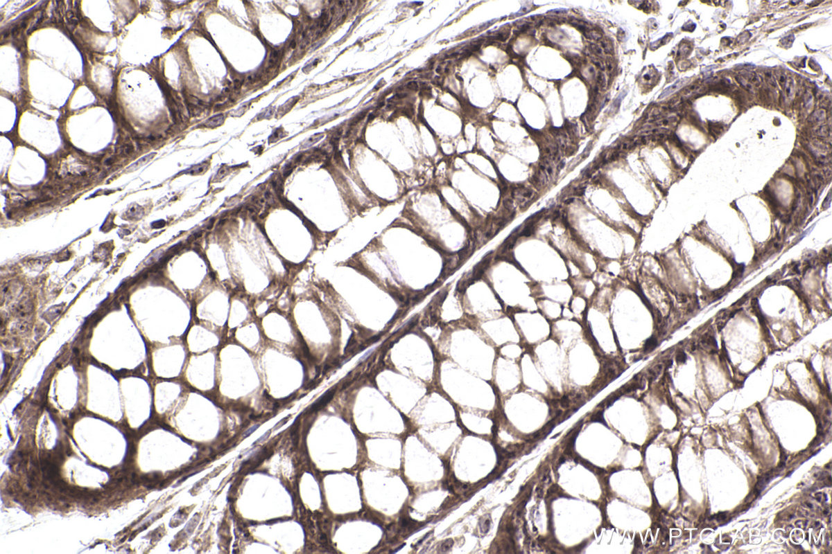
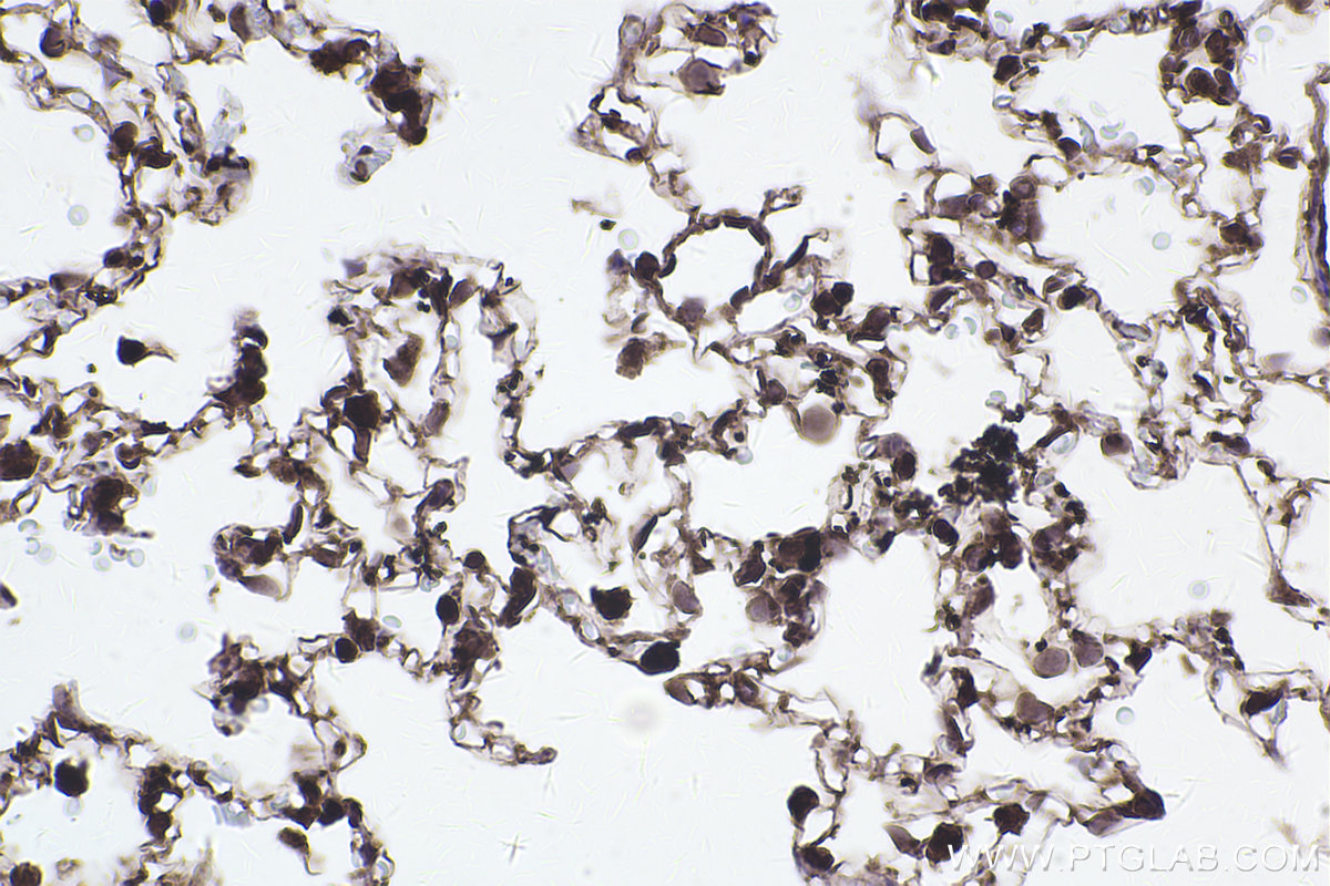
IHCeasy® PDCD11 Ready-To-Use IHC Kit

PDCD11 Ready-to-use reagent kit for IHC.

Reactivity

Human, Mouse, Rat

Sample Type

FFPE tissue

Cat no : KHC2466

Synonyms

PDCD11,ALG 4,ALG4,KIAA0185,NF kappa B binding prot



Product Information

KHC2466 is a ready-to-use IHC kit for staining of PDCD11. The kit provides all reagents, from antigen retrieval to cover slip mounting, that require little to no diluting or handling prior to use. Simply apply the reagents to your sample slide according to the protocol and you're steps away from obtaining high-quality IHC data.

Product name IHCeasy PDCD11 Ready-To-Use IHC Kit
Sample type FFPE tissue
Assay type Immunohistochemistry
Primary antibody type Rabbit Polyclonal
Secondary antibody type Polymer-HRP-Goat anti-Rabbit
Reactivity Human, Mouse, Rat

Kit components

ComponentSizeConcentration
Antigen Retrieval Buffer100 mL50×
Washing Buffer100 mL ×220×
Blocking Buffer5 mLRTU
Primary Antibody5 mLRTU
Secondary Antibody5 mLRTU
Chromogen Component A0.2 mLRTU
Chromogen Component B4 mLRTU
Signal Enhancer5 mLRTU
Counter Staining Reagent5 mLRTU
Mounting Media5 mLRTU
Datasheet1 Copy
Manual1 Copy

Background Information

PDCD11, also known as ALG-4, RRP5, or NFBP, possesses a series of S1 RNA-binding domains in the N-terminus with approximately 1,400 amino acids, followed by a tetratricopeptide repeat (TPR) domain in the C-terminus. Through S1 N-terminal domains, PDCD11 interacts with pre-rRNA to coordinate rRNA processing and assembly in the nucleolus. It also binds to Exonuclease-1 and upregulates Fas to induce cell apoptosis. Recently, PDCD11 was proved to interact with NF-κB subunits to suppress the expression of inflammatory cytokines and activate the TGFβ1 pathway, thereby modulating microglia differentiation during zebrafish development.

Properties

Storage Instructions All the reagents are stored at 2-8°C. The kit is stable for 6 months from the date of receipt.
Synonyms PDCD11,ALG 4,ALG4,KIAA0185,NF kappa B binding prot
||
New chat Able
正在加载,请稍候...