IHCeasy® PCK1 Ready-To-Use IHC Kit
PCK1 Ready-to-use reagent kit for IHC.
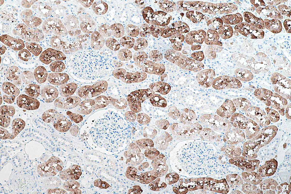
Reactivity
Human
Sample Type
FFPE tissue
Cat no : KHC0231
Synonyms
PCK1, PEPCK C, PEPCK1, PEPCKC
Validation Data Gallery
Product Information
KHC0231 is a ready-to-use IHC kit for staining of PCK1. The kit provides all reagents, from antigen retrieval to cover slip mounting, that require little to no diluting or handling prior to use. Simply apply the reagents to your sample slide according to the protocol and you're steps away from obtaining high-quality IHC data.
| Product name | IHCeasy PCK1 Ready-To-Use IHC Kit |
| Sample type | FFPE tissue |
| Assay type | Immunohistochemistry |
| Primary antibody type | Mouse Monoclonal |
| Secondary antibody type | Polymer-HRP-Goat anti-Mouse |
| Reactivity | Human |
Kit components
| Component | Size | Concentration |
|---|---|---|
| Antigen Retrieval Buffer | 100 mL | 50× |
| Washing Buffer | 100 mL ×2 | 20× |
| Blocking Buffer | 5 mL | RTU |
| Primary Antibody | 5 mL | RTU |
| Secondary Antibody | 5 mL | RTU |
| Chromogen Component A | 0.2 mL | RTU |
| Chromogen Component B | 4 mL | RTU |
| Signal Enhancer | 5 mL | RTU |
| Counter Staining Reagent | 5 mL | RTU |
| Mounting Media | 5 mL | RTU |
| Datasheet | 1 Copy | |
| Manual | 1 Copy |
Background Information
PCK1(Phosphoenolpyruvate carboxykinase, cytosolic) is also named as PEPCK1 and belongs to the phosphoenolpyruvate carboxykinase [GTP] family. It catalyzes the formation of phosphoenolpyruvate from oxaloacetate, with the release of carbon dioxide and GDP. It is also a main control point for the regulation of gluconeogenesis. In eukaryotes there are two isozymes: a cytoplasmic one and a mitochondrial one. Defects in PCK1 are the cause of cytosolic phosphoenolpyruvate carboxykinase deficiency (C-PEPCKD).
Properties
| Storage Instructions | All the reagents are stored at 2-8°C. The kit is stable for 6 months from the date of receipt. |
| Synonyms | PCK1, PEPCK C, PEPCK1, PEPCKC |


