IHCeasy® PCBP2 Ready-To-Use IHC Kit
PCBP2 Ready-to-use reagent kit for IHC.
Reactivity
Human, Mouse, Rat
Sample Type
FFPE tissue
Cat no : KHC2486
Synonyms
hnRNP E2,PCBP2,Alpha CP2,Alpha-CP2,HNRPE2
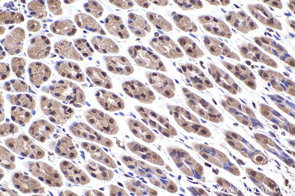
Validation Data Gallery
Product Information
KHC2486 is a ready-to-use IHC kit for staining of PCBP2. The kit provides all reagents, from antigen retrieval to cover slip mounting, that require little to no diluting or handling prior to use. Simply apply the reagents to your sample slide according to the protocol and you're steps away from obtaining high-quality IHC data.
| Product name | IHCeasy PCBP2 Ready-To-Use IHC Kit |
| Sample type | FFPE tissue |
| Assay type | Immunohistochemistry |
| Primary antibody type | Rabbit Polyclonal |
| Secondary antibody type | Polymer-HRP-Goat anti-Rabbit |
| Reactivity | Human, Mouse, Rat |
Kit components
| Component | Size | Concentration |
|---|---|---|
| Antigen Retrieval Buffer | 100 mL | 50× |
| Washing Buffer | 100 mL ×2 | 20× |
| Blocking Buffer | 5 mL | RTU |
| Primary Antibody | 5 mL | RTU |
| Secondary Antibody | 5 mL | RTU |
| Chromogen Component A | 0.2 mL | RTU |
| Chromogen Component B | 4 mL | RTU |
| Signal Enhancer | 5 mL | RTU |
| Counter Staining Reagent | 5 mL | RTU |
| Mounting Media | 5 mL | RTU |
| Datasheet | 1 Copy | |
| Manual | 1 Copy |
Background Information
Poly(rC)-binding protein 2 (PCBP2) is a single-stranded nucleic acid binding protein that binds preferentially to oligo dC, It is also named Heterogeneous nuclear ribonucleoprotein E2, binds also poly(rU). It negatively regulates cellular antiviral responses mediated by MAVS signaling. It acts as an adapter between MAVS and the E3 ubiquitin ligase ITCH, therefore triggering MAVS ubiquitinationa and degradation.
Properties
| Storage Instructions | All the reagents are stored at 2-8°C. The kit is stable for 6 months from the date of receipt. |
| Synonyms | hnRNP E2,PCBP2,Alpha CP2,Alpha-CP2,HNRPE2 |







