IHCeasy® PARP1 Ready-To-Use IHC Kit
PARP1 Ready-to-use reagent kit for IHC.
Reactivity
Human, Mouse, Rat
Sample Type
FFPE tissue
Cat no : KHC1069
Synonyms
ADPRT, ADPRT 1, ADPRT1, pADPRT 1, PARP, PARP 1, PARP1, poly (ADP ribose) polymerase 1, Poly [ADP ribose] polymerase 1, Poly[ADP ribose] synthase 1, PPOL
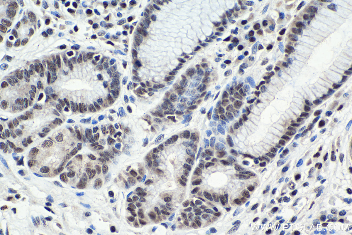
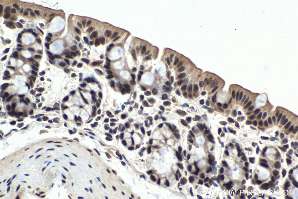
Validation Data Gallery
Product Information
KHC1069 is a ready-to-use IHC kit for staining of PARP1. The kit provides all reagents, from antigen retrieval to cover slip mounting, that require little to no diluting or handling prior to use. Simply apply the reagents to your sample slide according to the protocol and you're steps away from obtaining high-quality IHC data.
| Product name | IHCeasy PARP1 Ready-To-Use IHC Kit |
| Sample type | FFPE tissue |
| Assay type | Immunohistochemistry |
| Primary antibody type | Rabbit Polyclonal |
| Secondary antibody type | Polymer-HRP-Goat anti-Rabbit |
| Reactivity | Human, Mouse, Rat |
Kit components
| Component | Size | Concentration |
|---|---|---|
| Antigen Retrieval Buffer | 100 mL | 50× |
| Washing Buffer | 100 mL ×2 | 20× |
| Blocking Buffer | 5 mL | RTU |
| Primary Antibody | 5 mL | RTU |
| Secondary Antibody | 5 mL | RTU |
| Chromogen Component A | 0.2 mL | RTU |
| Chromogen Component B | 4 mL | RTU |
| Signal Enhancer | 5 mL | RTU |
| Counter Staining Reagent | 5 mL | RTU |
| Mounting Media | 5 mL | RTU |
| Datasheet | 1 Copy | |
| Manual | 1 Copy |
Background Information
PARP1 (poly(ADP-ribose) polymerase 1) is a nuclear enzyme catalyzing the poly(ADP-ribosyl)ation of many key proteins in vivo. The normal function of PARP1 is the routine repair of DNA damage. Activated by DNA strand breaks, the PARP1 is cleaved into an 85 to 89-kDa COOH-terminal fragment and a 24-kDa NH2-terminal peptide by caspases during the apoptotic process. The appearance of PARP fragments is commonly considered as an important biomarker of apoptosis. In addition to caspases, other proteases like calpains, cathepsins, granzymes and matrix metalloproteinases (MMPs) have also been reported to cleave PARP1.
Properties
| Storage Instructions | All the reagents are stored at 2-8°C. The kit is stable for 6 months from the date of receipt. |
| Synonyms | ADPRT, ADPRT 1, ADPRT1, pADPRT 1, PARP, PARP 1, PARP1, poly (ADP ribose) polymerase 1, Poly [ADP ribose] polymerase 1, Poly[ADP ribose] synthase 1, PPOL |







