IHCeasy® PAPD5 Ready-To-Use IHC Kit
PAPD5 Ready-to-use reagent kit for IHC.
Reactivity
Human, Mouse, Rat
Sample Type
FFPE tissue
Cat no : KHC2688
Synonyms
PAPD5,EC:2.7.7.-,EC:2.7.7.19,GLD4,Non-canonical po
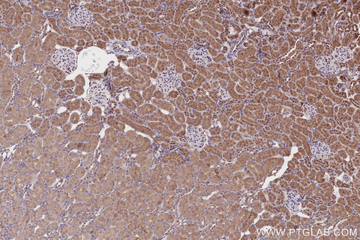
Validation Data Gallery
Product Information
KHC2688 is a ready-to-use IHC kit for staining of PAPD5. The kit provides all reagents, from antigen retrieval to cover slip mounting, that require little to no diluting or handling prior to use. Simply apply the reagents to your sample slide according to the protocol and you're steps away from obtaining high-quality IHC data.
| Product name | IHCeasy PAPD5 Ready-To-Use IHC Kit |
| Sample type | FFPE tissue |
| Assay type | Immunohistochemistry |
| Primary antibody type | Rabbit Polyclonal |
| Secondary antibody type | Polymer-HRP-Goat anti-Rabbit |
| Reactivity | Human, Mouse, Rat |
Kit components
| Component | Size | Concentration |
|---|---|---|
| Antigen Retrieval Buffer | 100 mL | 50× |
| Washing Buffer | 100 mL ×2 | 20× |
| Blocking Buffer | 5 mL | RTU |
| Primary Antibody | 5 mL | RTU |
| Secondary Antibody | 5 mL | RTU |
| Chromogen Component A | 0.2 mL | RTU |
| Chromogen Component B | 4 mL | RTU |
| Signal Enhancer | 5 mL | RTU |
| Counter Staining Reagent | 5 mL | RTU |
| Mounting Media | 5 mL | RTU |
| Datasheet | 1 Copy | |
| Manual | 1 Copy |
Background Information
PAPD5, also named as Non-canonical poly(A) RNA polymerase PAPD5, is a 572 amino acid protein, which contains 1 PAP-associated domain and belongs to the DNA polymerase type-B-like family. PAPD5 is predominantly expressed in the cytoplasm. PAPD5 as catalytic subunit of a TRAMP-like complex that has a poly(A) RNA polymerase activity and is involved in a post-transcriptional quality control mechanism. Polyadenylation with short oligo(A) tails is required for the degradative activity of the exosome on several of its nuclear RNA substrates. PAPD5 plays a role in replication-dependent histone mRNA degradation, probably through terminal uridylation of mature histone mRNAs. PAPD5 also may play a role in sister chromatid cohesion.
Properties
| Storage Instructions | All the reagents are stored at 2-8°C. The kit is stable for 6 months from the date of receipt. |
| Synonyms | PAPD5,EC:2.7.7.-,EC:2.7.7.19,GLD4,Non-canonical po |







