IHCeasy® OSBPL10 Ready-To-Use IHC Kit
OSBPL10 Ready-to-use reagent kit for IHC.
Reactivity
Human, Mouse, Rat
Sample Type
FFPE tissue
Cat no : KHC2881
Synonyms
ORP 10, ORP10, ORP-10, OSBP related protein 10, OSBP9
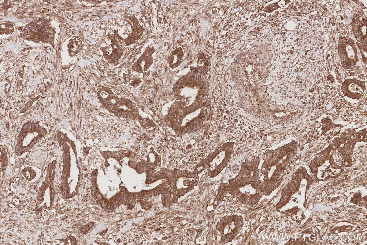
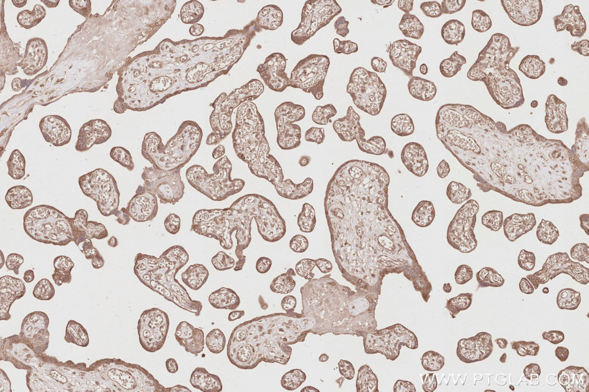
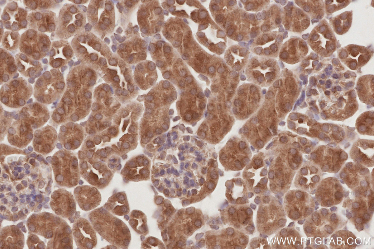
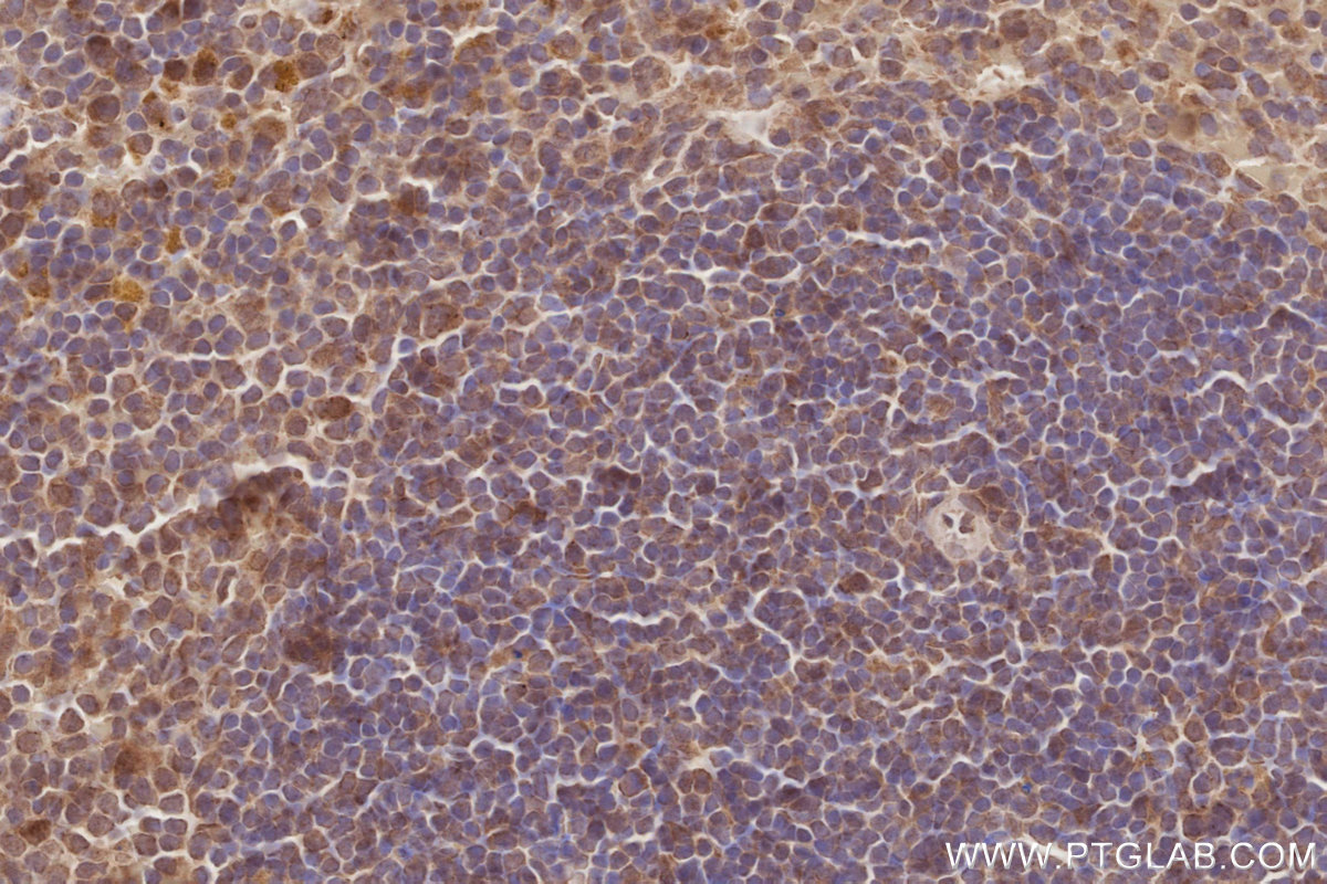
Validation Data Gallery
Product Information
KHC2881 is a ready-to-use IHC kit for staining of OSBPL10. The kit provides all reagents, from antigen retrieval to cover slip mounting, that require little to no diluting or handling prior to use. Simply apply the reagents to your sample slide according to the protocol and you're steps away from obtaining high-quality IHC data.
| Product name | IHCeasy OSBPL10 Ready-To-Use IHC Kit |
| Sample type | FFPE tissue |
| Assay type | Immunohistochemistry |
| Primary antibody type | Rabbit Polyclonal |
| Secondary antibody type | Polymer-HRP-Goat anti-Rabbit |
| Reactivity | Human, Mouse, Rat |
Kit components
| Component | Size | Concentration |
|---|---|---|
| Antigen Retrieval Buffer | 100 mL | 50× |
| Washing Buffer | 100 mL ×2 | 20× |
| Blocking Buffer | 5 mL | RTU |
| Primary Antibody | 5 mL | RTU |
| Secondary Antibody | 5 mL | RTU |
| Chromogen Component A | 0.2 mL | RTU |
| Chromogen Component B | 4 mL | RTU |
| Signal Enhancer | 5 mL | RTU |
| Counter Staining Reagent | 5 mL | RTU |
| Mounting Media | 5 mL | RTU |
| Datasheet | 1 Copy | |
| Manual | 1 Copy |
Background Information
OSBPL10, also known as ORP10, is a member of the oxysterol-binding protein family. OSBPL10 localizes on microtubules and acts as a regulator of cellular lipid biosyntheses and apolipoprotein B-100. Genetic variation in OSBPL10 is associated with dyslipidmias and peripheral artery disease.
Properties
| Storage Instructions | All the reagents are stored at 2-8°C. The kit is stable for 6 months from the date of receipt. |
| Synonyms | ORP 10, ORP10, ORP-10, OSBP related protein 10, OSBP9 |






