IHCeasy® OPRM1 Ready-To-Use IHC Kit
OPRM1 Ready-to-use reagent kit for IHC.
Reactivity
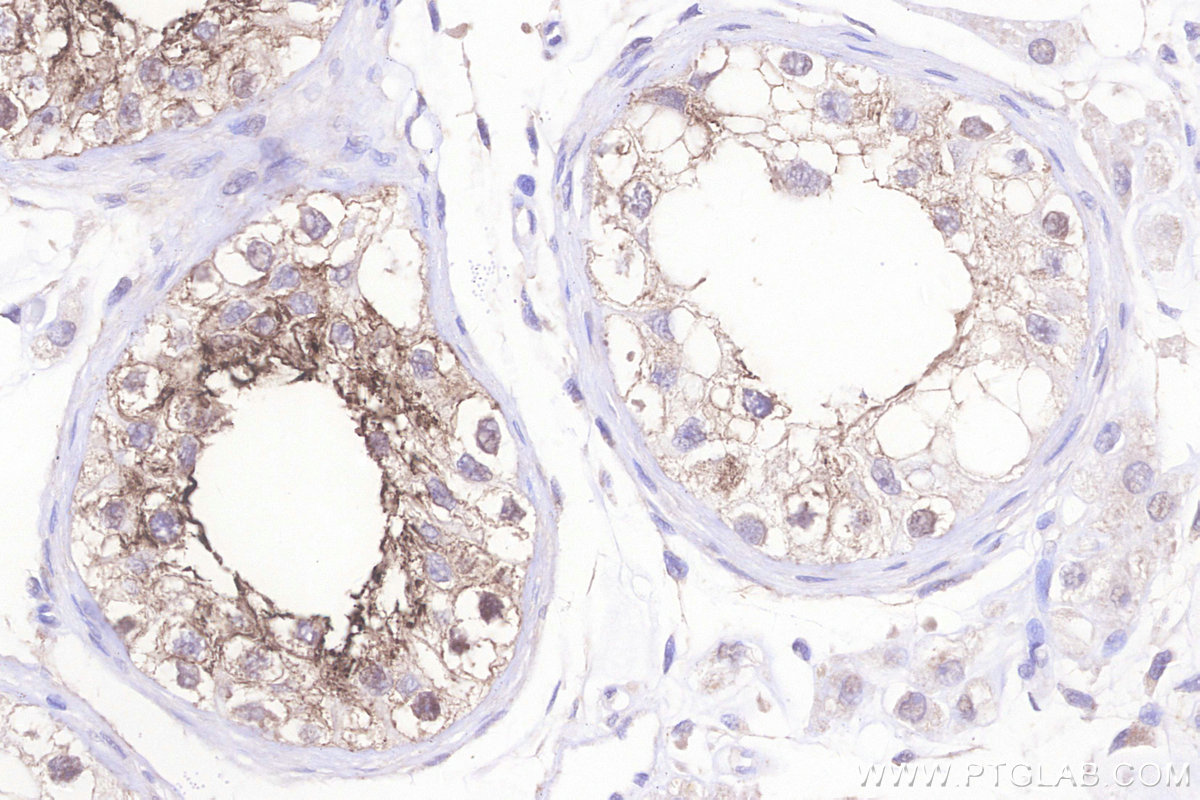
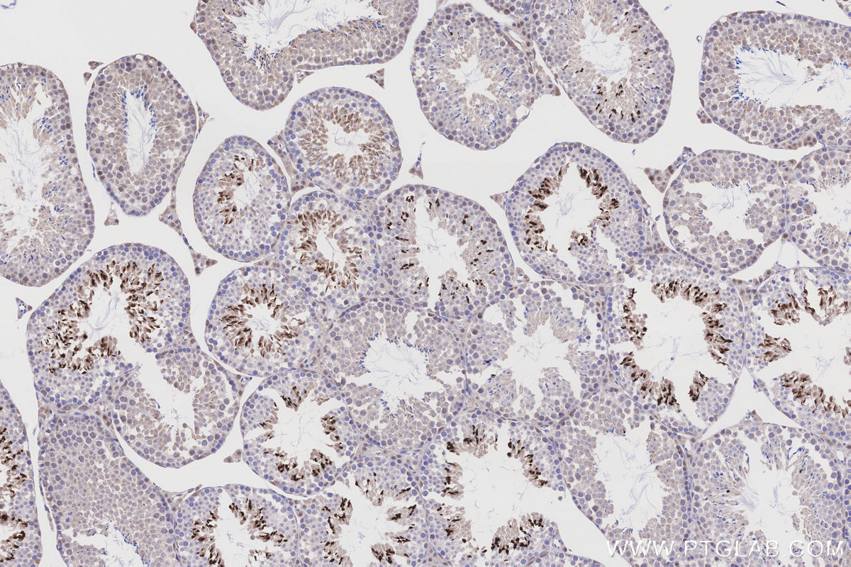
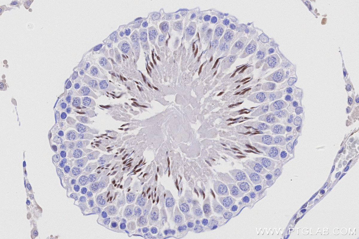
Human, Mouse, Rat
Sample Type
FFPE tissue
Cat no : KHC3206
Synonyms
hMOP, KIAA0403, LMOR, M OR 1, MOP
Validation Data Gallery
Product Information
KHC3206 is a ready-to-use IHC kit for staining of OPRM1. The kit provides all reagents, from antigen retrieval to cover slip mounting, that require little to no diluting or handling prior to use. Simply apply the reagents to your sample slide according to the protocol and you're steps away from obtaining high-quality IHC data.
| Product name | IHCeasy® OPRM1 Ready-To-Use IHC Kit |
| Sample type | FFPE tissue |
| Assay type | Immunohistochemistry |
| Primary antibody type | Rabbit Polyclonal |
| Secondary antibody type | Polymer-HRP-Goat anti-Rabbit |
| Reactivity | Human, Mouse, Rat |
Kit components
| Component | Size | Concentration |
|---|---|---|
| Antigen Retrieval Buffer | 100 mL | 50× |
| Washing Buffer | 100 mL ×2 | 20× |
| Blocking Buffer | 5 mL | RTU |
| Primary Antibody | 5 mL | RTU |
| Secondary Antibody | 5 mL | RTU |
| Chromogen Component A | 0.2 mL | RTU |
| Chromogen Component B | 4 mL | RTU |
| Signal Enhancer | 5 mL | RTU |
| Counter Staining Reagent | 5 mL | RTU |
| Mounting Media | 5 mL | RTU |
| Datasheet | 1 Copy | |
| Manual | 1 Copy |
Background Information
OPRM1 (also known as Mu opioid receptor, MOR1, MOP) is a G protein-coupled receptor that mediates the physiological effects of endogenous opioids as well as the structurally distinct opioid alkaloids including morphine and etorphine. Mu opioid receptor modulates a wide range of physiological functions, particularly involved in the control of pain perception and reward properties. Mu opioid receptor is the principal target of opioid drugs. It is encoded by OPRM1 gene and multiple transcript variants encoding different isoforms have been found.
Properties
| Storage Instructions | All the reagents are stored at 2-8°C. The kit is stable for 6 months from the date of receipt. |
| Synonyms | hMOP, KIAA0403, LMOR, M OR 1, MOP |



