IHCeasy® NUMBL Ready-To-Use IHC Kit
NUMBL Ready-to-use reagent kit for IHC.
Reactivity
Human, Mouse, Rat
Sample Type
FFPE tissue
Cat no : KHC1269
Synonyms
CAG3A, CTG3a, NBL, numb homolog (Drosophila) like, Numb like protein, NUMB R, Numb related protein, NUMBL, NUMBLIKE, NUMBR, TNRC23
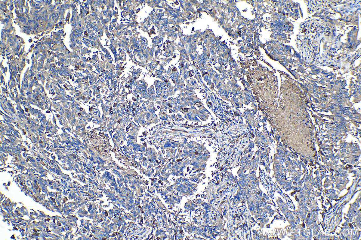
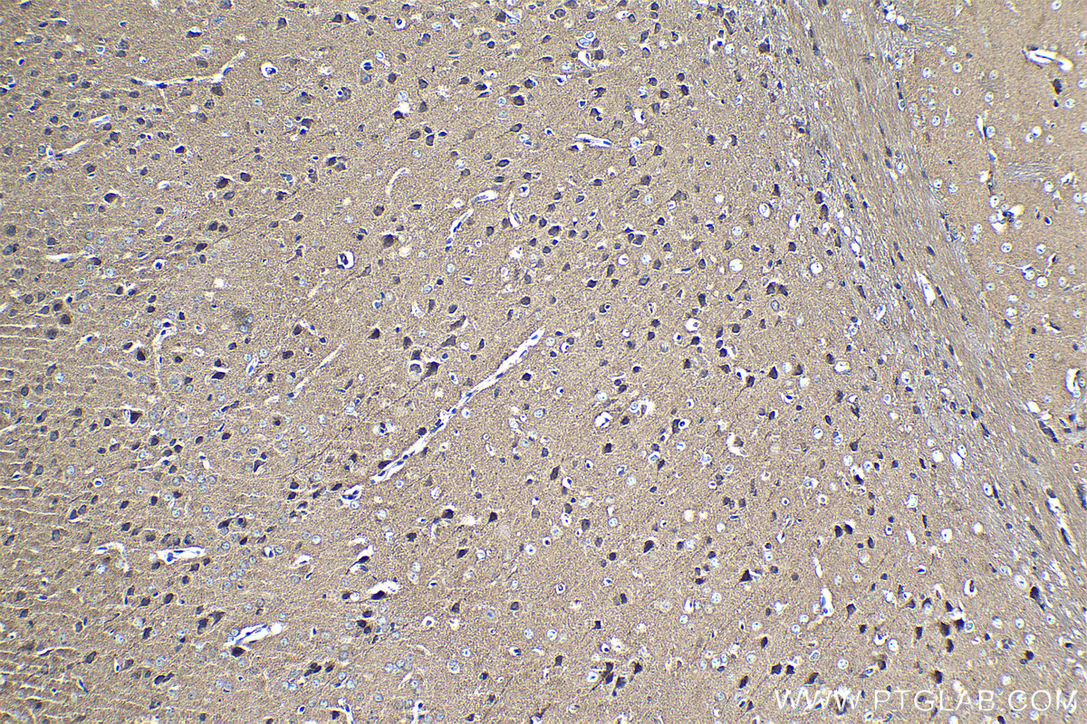
Validation Data Gallery
Product Information
KHC1269 is a ready-to-use IHC kit for staining of NUMBL. The kit provides all reagents, from antigen retrieval to cover slip mounting, that require little to no diluting or handling prior to use. Simply apply the reagents to your sample slide according to the protocol and you're steps away from obtaining high-quality IHC data.
| Product name | IHCeasy NUMBL Ready-To-Use IHC Kit |
| Sample type | FFPE tissue |
| Assay type | Immunohistochemistry |
| Primary antibody type | Rabbit Polyclonal |
| Secondary antibody type | Polymer-HRP-Goat anti-Rabbit |
| Reactivity | Human, Mouse, Rat |
Kit components
| Component | Size | Concentration |
|---|---|---|
| Antigen Retrieval Buffer | 100 mL | 50× |
| Washing Buffer | 100 mL ×2 | 20× |
| Blocking Buffer | 5 mL | RTU |
| Primary Antibody | 5 mL | RTU |
| Secondary Antibody | 5 mL | RTU |
| Chromogen Component A | 0.2 mL | RTU |
| Chromogen Component B | 4 mL | RTU |
| Signal Enhancer | 5 mL | RTU |
| Counter Staining Reagent | 5 mL | RTU |
| Mounting Media | 5 mL | RTU |
| Datasheet | 1 Copy | |
| Manual | 1 Copy |
Background Information
Numbl (also known as numblike or Nbl), as a conserved homolog of Drosophila Numb, is specifically expressed in the brain. Numbl is a cytoplasm protein and has redundant functions in embryonic neurogenesis. It plays an important role in ependymal wall integrity and subventricular zone neuroblast survival. However, its expression and function in the central nervous system lesion are still unclear.
Properties
| Storage Instructions | All the reagents are stored at 2-8°C. The kit is stable for 6 months from the date of receipt. |
| Synonyms | CAG3A, CTG3a, NBL, numb homolog (Drosophila) like, Numb like protein, NUMB R, Numb related protein, NUMBL, NUMBLIKE, NUMBR, TNRC23 |







