IHCeasy® NUDC Ready-To-Use IHC Kit
NUDC Ready-to-use reagent kit for IHC.
Reactivity
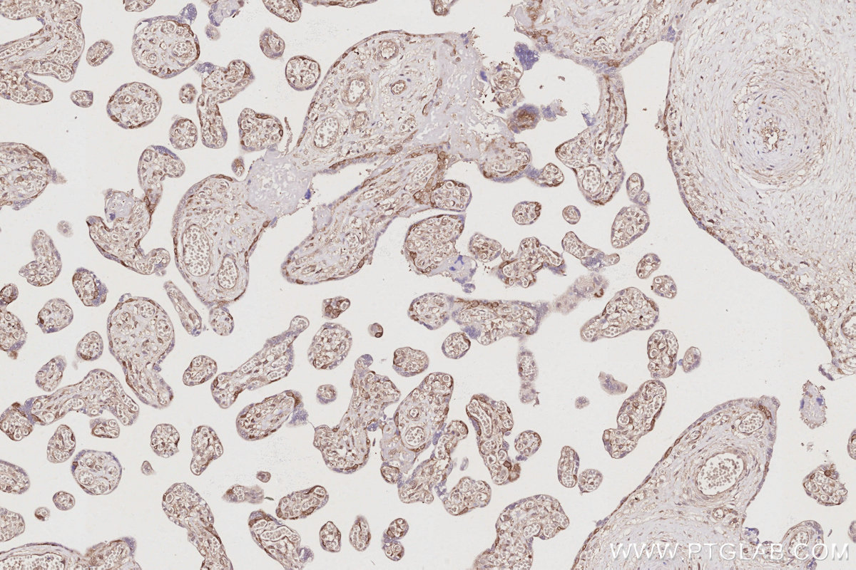
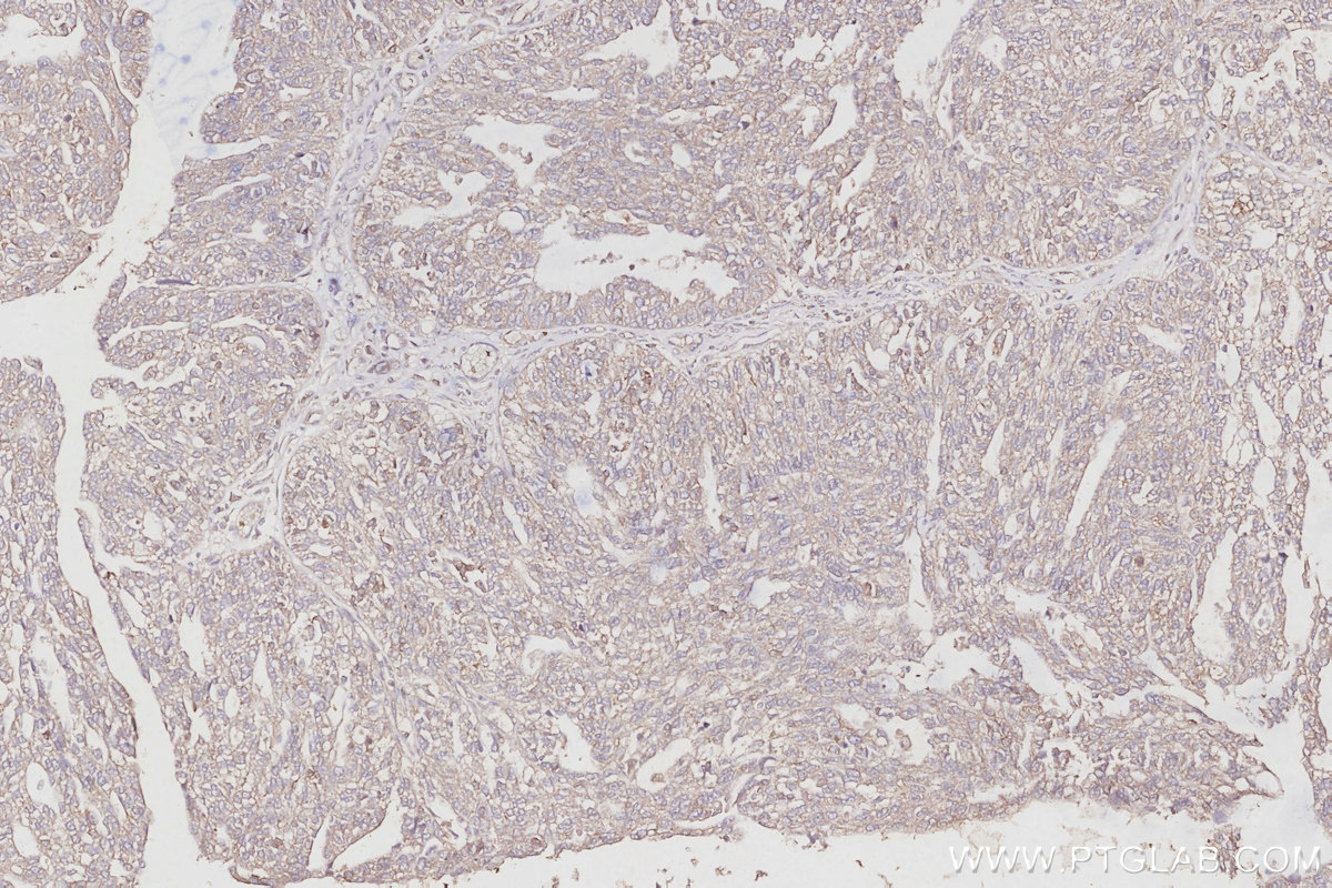
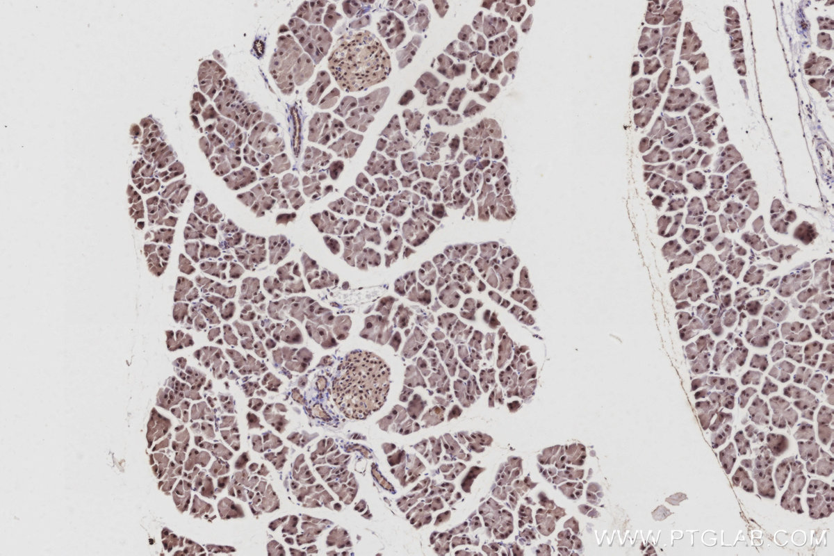
Human, Mouse, Rat
Sample Type
FFPE tissue
Cat no : KHC3052
Synonyms
HNUDC, MNUDC
Validation Data Gallery
Product Information
KHC3052 is a ready-to-use IHC kit for staining of NUDC. The kit provides all reagents, from antigen retrieval to cover slip mounting, that require little to no diluting or handling prior to use. Simply apply the reagents to your sample slide according to the protocol and you're steps away from obtaining high-quality IHC data.
| Product name | IHCeasy® NUDC Ready-To-Use IHC Kit |
| Sample type | FFPE tissue |
| Assay type | Immunohistochemistry |
| Primary antibody type | Rabbit Polyclonal |
| Secondary antibody type | Polymer-HRP-Goat anti-Rabbit |
| Reactivity | Human, Mouse, Rat |
Kit components
| Component | Size | Concentration |
|---|---|---|
| Antigen Retrieval Buffer | 100 mL | 50× |
| Washing Buffer | 100 mL ×2 | 20× |
| Blocking Buffer | 5 mL | RTU |
| Primary Antibody | 5 mL | RTU |
| Secondary Antibody | 5 mL | RTU |
| Chromogen Component A | 0.2 mL | RTU |
| Chromogen Component B | 4 mL | RTU |
| Signal Enhancer | 5 mL | RTU |
| Counter Staining Reagent | 5 mL | RTU |
| Mounting Media | 5 mL | RTU |
| Datasheet | 1 Copy | |
| Manual | 1 Copy |
Background Information
Nuclear distribution protein C (NudC) is a highly conserved dynein/dynactin associated protein implicated in mitosis and cytokinesis. NudC is localized on major mitotic structures, and is involved in regulating spindle formation stability of kinetochore microtubule attachments, and chromosomes congression in early mitosis. NudC also is required for multi-protein transport along axons in neurons.
Properties
| Storage Instructions | All the reagents are stored at 2-8°C. The kit is stable for 6 months from the date of receipt. |
| Synonyms | HNUDC, MNUDC |





