IHCeasy® NUBP1 Ready-To-Use IHC Kit
NUBP1 Ready-to-use reagent kit for IHC.
Reactivity
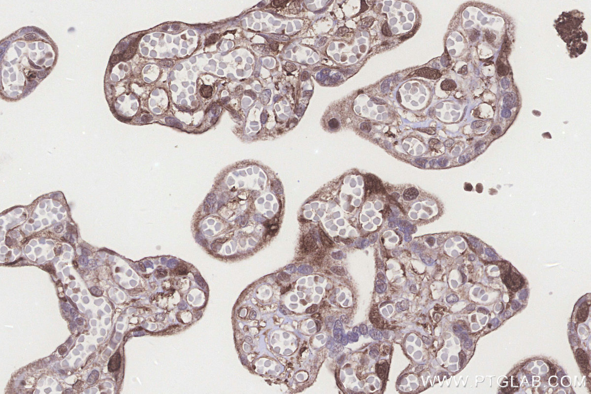
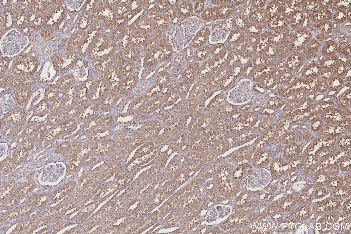
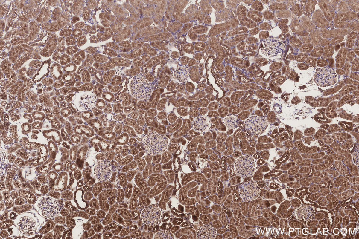
Human, Mouse, Rat
Sample Type
FFPE tissue
Cat no : KHC3226
Synonyms
Cytosolic Fe-S cluster assembly factor NUBP1, NBP, NBP 1, NBP1, Nbp35
Validation Data Gallery
Product Information
KHC3226 is a ready-to-use IHC kit for staining of NUBP1. The kit provides all reagents, from antigen retrieval to cover slip mounting, that require little to no diluting or handling prior to use. Simply apply the reagents to your sample slide according to the protocol and you're steps away from obtaining high-quality IHC data.
| Product name | IHCeasy® NUBP1 Ready-To-Use IHC Kit |
| Sample type | FFPE tissue |
| Assay type | Immunohistochemistry |
| Primary antibody type | Rabbit Polyclonal |
| Secondary antibody type | Polymer-HRP-Goat anti-Rabbit |
| Reactivity | Human, Mouse, Rat |
Kit components
| Component | Size | Concentration |
|---|---|---|
| Antigen Retrieval Buffer | 100 mL | 50× |
| Washing Buffer | 100 mL ×2 | 20× |
| Blocking Buffer | 5 mL | RTU |
| Primary Antibody | 5 mL | RTU |
| Secondary Antibody | 5 mL | RTU |
| Chromogen Component A | 0.2 mL | RTU |
| Chromogen Component B | 4 mL | RTU |
| Signal Enhancer | 5 mL | RTU |
| Counter Staining Reagent | 5 mL | RTU |
| Mounting Media | 5 mL | RTU |
| Datasheet | 1 Copy | |
| Manual | 1 Copy |
Properties
| Storage Instructions | All the reagents are stored at 2-8°C. The kit is stable for 6 months from the date of receipt. |
| Synonyms | Cytosolic Fe-S cluster assembly factor NUBP1, NBP, NBP 1, NBP1, Nbp35 |






