IHCeasy® NOX4 Ready-To-Use IHC Kit
NOX4 Ready-to-use reagent kit for IHC.
Reactivity
Human, Mouse, Rat
Sample Type
FFPE tissue
Cat no : KHC1954
Synonyms
Kidney oxidase 1, KOX, KOX 1, NADPH oxidase 4, NOX4, Renal NAD(P)H oxidase, RENOX
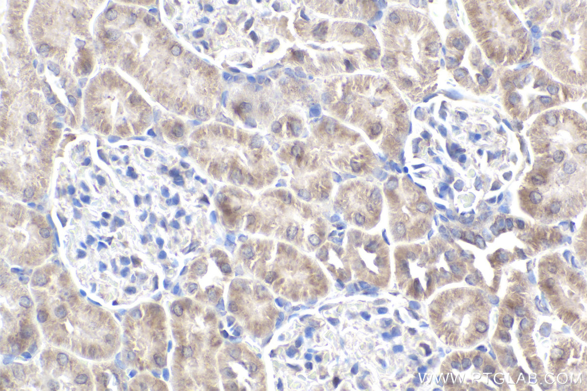
Validation Data Gallery
Product Information
KHC1954 is a ready-to-use IHC kit for staining of NOX4. The kit provides all reagents, from antigen retrieval to cover slip mounting, that require little to no diluting or handling prior to use. Simply apply the reagents to your sample slide according to the protocol and you're steps away from obtaining high-quality IHC data.
| Product name | IHCeasy NOX4 Ready-To-Use IHC Kit |
| Sample type | FFPE tissue |
| Assay type | Immunohistochemistry |
| Primary antibody type | Rabbit Polyclonal |
| Secondary antibody type | Polymer-HRP-Goat anti-Rabbit |
| Reactivity | Human, Mouse, Rat |
Kit components
| Component | Size | Concentration |
|---|---|---|
| Antigen Retrieval Buffer | 100 mL | 50× |
| Washing Buffer | 100 mL ×2 | 20× |
| Blocking Buffer | 5 mL | RTU |
| Primary Antibody | 5 mL | RTU |
| Secondary Antibody | 5 mL | RTU |
| Chromogen Component A | 0.2 mL | RTU |
| Chromogen Component B | 4 mL | RTU |
| Signal Enhancer | 5 mL | RTU |
| Counter Staining Reagent | 5 mL | RTU |
| Mounting Media | 5 mL | RTU |
| Datasheet | 1 Copy | |
| Manual | 1 Copy |
Background Information
NOX4 (NADPH oxidase 4) is a phagocyte-type oxidase, similar to that responsible for the production of large amounts of reactive oxygen species (ROS) in neutrophil granulocytes with resultant antimicrobial activity and it has been postulated to function in the kidney as an oxygen sensor that regulates the synthesis of erythropoietin in the renal cortex. The truncated NOX4 splice variant D lacks the majority of the transmembrane domain and has been shown to produce higher levels of ROS and DNA damage compared to its prototype. NOX4D has previously been shown to localise to the nucleus and nucleolus in various cell types and is implicated in the generation of reactive oxygen species (ROS) and DNA damage.
Properties
| Storage Instructions | All the reagents are stored at 2-8°C. The kit is stable for 6 months from the date of receipt. |
| Synonyms | Kidney oxidase 1, KOX, KOX 1, NADPH oxidase 4, NOX4, Renal NAD(P)H oxidase, RENOX |





