IHCeasy® NNT Ready-To-Use IHC Kit
NNT Ready-to-use reagent kit for IHC.
Reactivity
Human, Mouse, Rat
Sample Type
FFPE tissue
Cat no : KHC0645
Synonyms
NNT
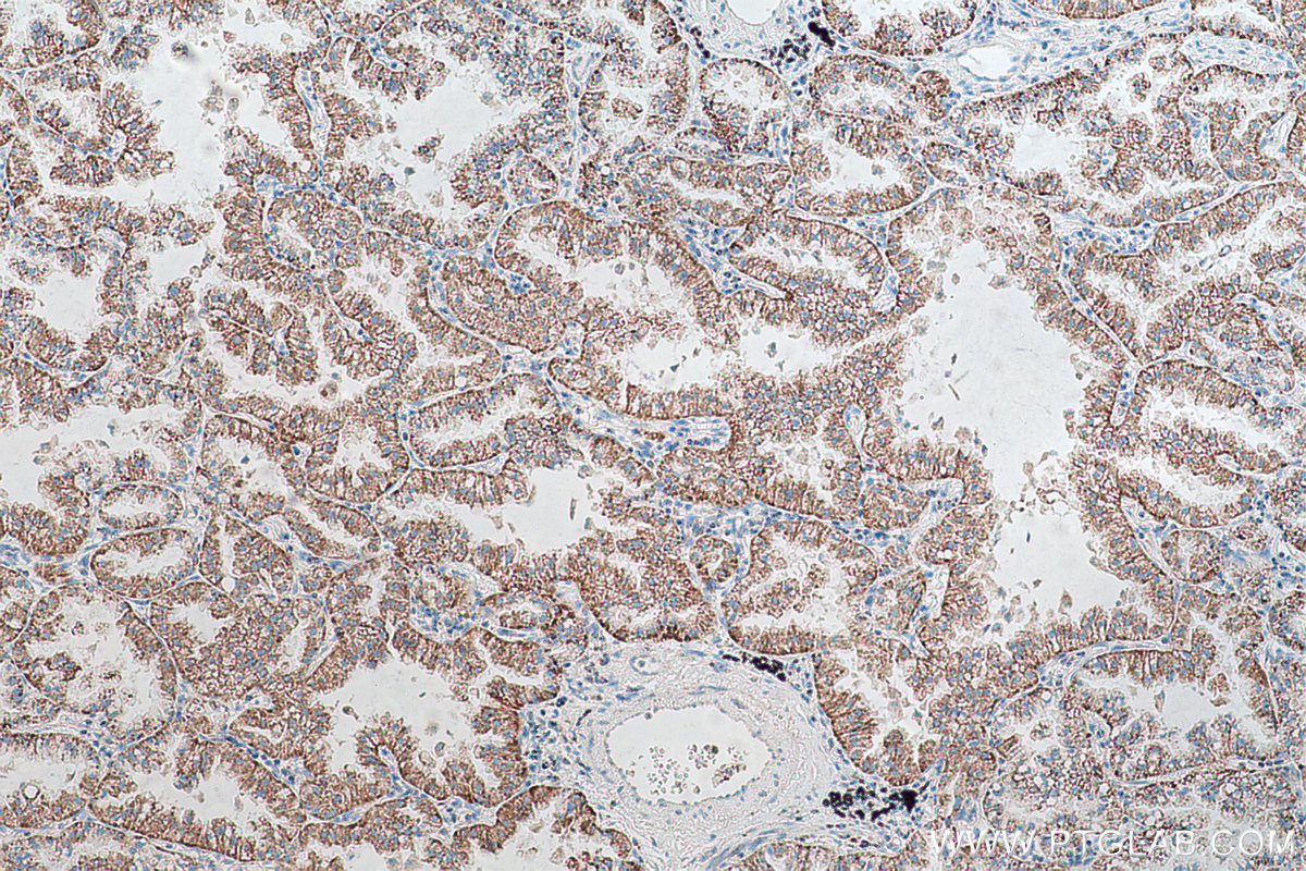
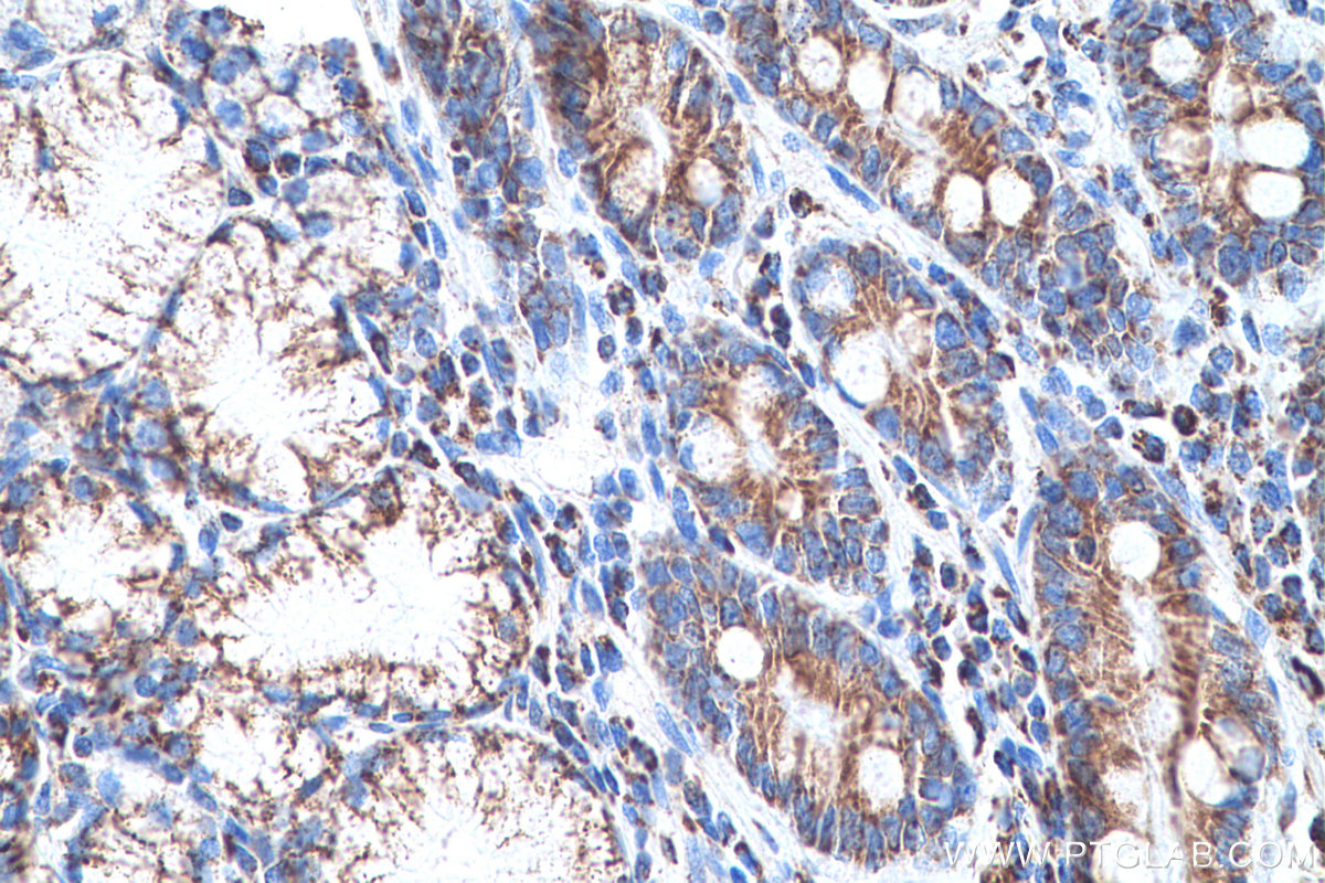
Validation Data Gallery
Product Information
KHC0645 is a ready-to-use IHC kit for staining of NNT. The kit provides all reagents, from antigen retrieval to cover slip mounting, that require little to no diluting or handling prior to use. Simply apply the reagents to your sample slide according to the protocol and you're steps away from obtaining high-quality IHC data.
| Product name | IHCeasy NNT Ready-To-Use IHC Kit | 
| Sample type | FFPE tissue | 
| Assay type | Immunohistochemistry | 
| Primary antibody type | Mouse Monoclonal | 
| Secondary antibody type | Polymer-HRP-Goat anti-Mouse | 
| Reactivity | Human, Mouse, Rat | 
Kit components
| Component | Size | Concentration | 
|---|---|---|
| Antigen Retrieval Buffer | 100 mL | 50× | 
| Washing Buffer | 100 mL ×2 | 20× | 
| Blocking Buffer | 5 mL | RTU | 
| Primary Antibody | 5 mL | RTU | 
| Secondary Antibody | 5 mL | RTU | 
| Chromogen Component A | 0.2 mL | RTU | 
| Chromogen Component B | 4 mL | RTU | 
| Signal Enhancer | 5 mL | RTU | 
| Counter Staining Reagent | 5 mL | RTU | 
| Mounting Media | 5 mL | RTU | 
| Datasheet | 1 Copy | |
| Manual | 1 Copy | 
Background Information
NNT(nicotinamide nucleotide transhydrogenase) is a transmembrane protein and functions as a proton pumping transhydrogenase. The protein is present in both prokaryotes and eukaryotes and is located in the inner membrane of mitochondria. In prokaryotic cells, the enzyme is composed of α and β subunits respectively. In eukaryotic cells, the enzyme is usually composed of a single peptide. Although NNT catalyzes the interconversion of NADH and NADPH, the forward reaction using the reducing power of NADH to regenerate NADPH would be favored under conditions of oxidative stress. It can exsit as a homodimer.
Properties
| Storage Instructions | All the reagents are stored at 2-8°C. The kit is stable for 6 months from the date of receipt. | 
| Synonyms | NNT | 








