IHCeasy® NFIC Ready-To-Use IHC Kit
NFIC Ready-to-use reagent kit for IHC.
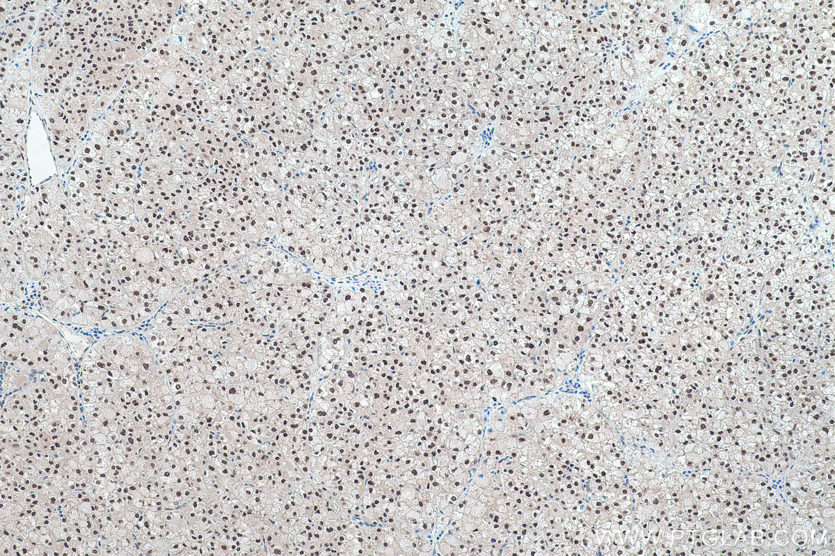
Reactivity
Human, Mouse, Rat
Sample Type
FFPE tissue
Cat no : KHC0441
Synonyms
CTF, CTF5, NF I, NF I/C, NF1 C, NFI, NFI C, NFIC, Nuclear factor 1 C type, Nuclear factor 1/C, Nuclear factor I/C, TGGCA binding protein
Validation Data Gallery
Product Information
KHC0441 is a ready-to-use IHC kit for staining of NFIC. The kit provides all reagents, from antigen retrieval to cover slip mounting, that require little to no diluting or handling prior to use. Simply apply the reagents to your sample slide according to the protocol and you're steps away from obtaining high-quality IHC data.
| Product name | IHCeasy NFIC Ready-To-Use IHC Kit |
| Sample type | FFPE tissue |
| Assay type | Immunohistochemistry |
| Primary antibody type | Rabbit Polyclonal |
| Secondary antibody type | Polymer-HRP-Goat anti-Rabbit |
| Reactivity | Human, Mouse, Rat |
Kit components
| Component | Size | Concentration |
|---|---|---|
| Antigen Retrieval Buffer | 100 mL | 50× |
| Washing Buffer | 100 mL ×2 | 20× |
| Blocking Buffer | 5 mL | RTU |
| Primary Antibody | 5 mL | RTU |
| Secondary Antibody | 5 mL | RTU |
| Chromogen Component A | 0.2 mL | RTU |
| Chromogen Component B | 4 mL | RTU |
| Signal Enhancer | 5 mL | RTU |
| Counter Staining Reagent | 5 mL | RTU |
| Mounting Media | 5 mL | RTU |
| Datasheet | 1 Copy | |
| Manual | 1 Copy |
Background Information
NFIC, also named as Nuclear factor 1 C-type, is a 508 amino acid protein, which contains 1 CTF/NF-I DNA-binding domain and belongs to the CTF/NF-I family. NFIC localizes in the nucleus and recognizes and binds the palindromic sequence 5'-TTGGCNNNNNGCCAA-3' present in viral and cellular promoters and in the origin of replication of adenovirus type 2. These proteins are individually capable of activating transcription and replication.
Properties
| Storage Instructions | All the reagents are stored at 2-8°C. The kit is stable for 6 months from the date of receipt. |
| Synonyms | CTF, CTF5, NF I, NF I/C, NF1 C, NFI, NFI C, NFIC, Nuclear factor 1 C type, Nuclear factor 1/C, Nuclear factor I/C, TGGCA binding protein |






