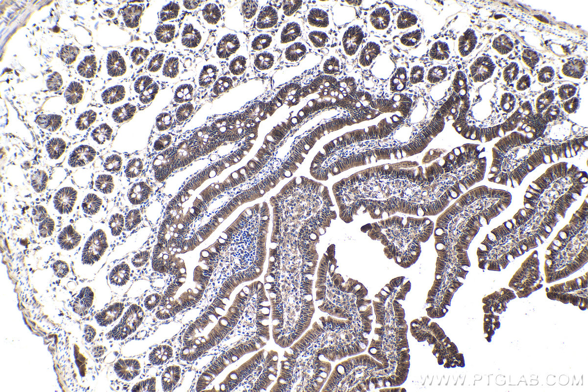
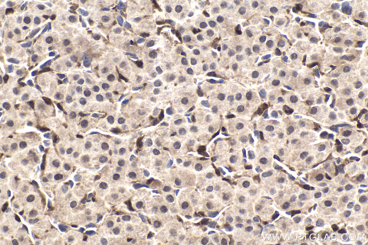
IHCeasy® NFATC4 Ready-To-Use IHC Kit
NFATC4 Ready-to-use reagent kit for IHC.
Reactivity
Human, Mouse, Rat
Sample Type
FFPE tissue
Cat no : KHC1740
Synonyms
NF AT3, NF ATc4, NFAT3, NFATC4
Validation Data Gallery
Product Information
KHC1740 is a ready-to-use IHC kit for staining of NFATC4. The kit provides all reagents, from antigen retrieval to cover slip mounting, that require little to no diluting or handling prior to use. Simply apply the reagents to your sample slide according to the protocol and you're steps away from obtaining high-quality IHC data.
| Product name | IHCeasy NFATC4 Ready-To-Use IHC Kit |
| Sample type | FFPE tissue |
| Assay type | Immunohistochemistry |
| Primary antibody type | Rabbit Polyclonal |
| Secondary antibody type | Polymer-HRP-Goat anti-Rabbit |
| Reactivity | Human, Mouse, Rat |
Kit components
| Component | Size | Concentration |
|---|---|---|
| Antigen Retrieval Buffer | 100 mL | 50× |
| Washing Buffer | 100 mL ×2 | 20× |
| Blocking Buffer | 5 mL | RTU |
| Primary Antibody | 5 mL | RTU |
| Secondary Antibody | 5 mL | RTU |
| Chromogen Component A | 0.2 mL | RTU |
| Chromogen Component B | 4 mL | RTU |
| Signal Enhancer | 5 mL | RTU |
| Counter Staining Reagent | 5 mL | RTU |
| Mounting Media | 5 mL | RTU |
| Datasheet | 1 Copy | |
| Manual | 1 Copy |
Background Information
NFATC4, also named NFAT3, is a member from the Nuclear Factor of Activated T cells (NFATs) transcription factor family. NFATc4 contains a conserved Rel homology domain (RHD) which includes the DNA-binding motif, and two transactivation domains (TADs) which locate at the N-terminus and C-terminus respectively. NFATC4 is involved in several physiological processes, including the development and function of the immune, cardiovascular, musculoskeletal, and nervous systems. It is also reported that NFATC4 could take part in cell growth, cell migration, tumor metastasis, and patient survival recently.
Properties
| Storage Instructions | All the reagents are stored at 2-8°C. The kit is stable for 6 months from the date of receipt. |
| Synonyms | NF AT3, NF ATc4, NFAT3, NFATC4 |






