IHCeasy® NDUFS7 Ready-To-Use IHC Kit
NDUFS7 Ready-to-use reagent kit for IHC.
Reactivity
Human, Mouse, Rat
Sample Type
FFPE tissue
Cat no : KHC3178
Synonyms
CI-20kD, Complex I-20kD, EC:7.1.1.2, NADH dehydrogenase [ubiquinone] iron-sulfur protein 7, mitochondrial, NADH-ubiquinone oxidoreductase 20 kDa subunit
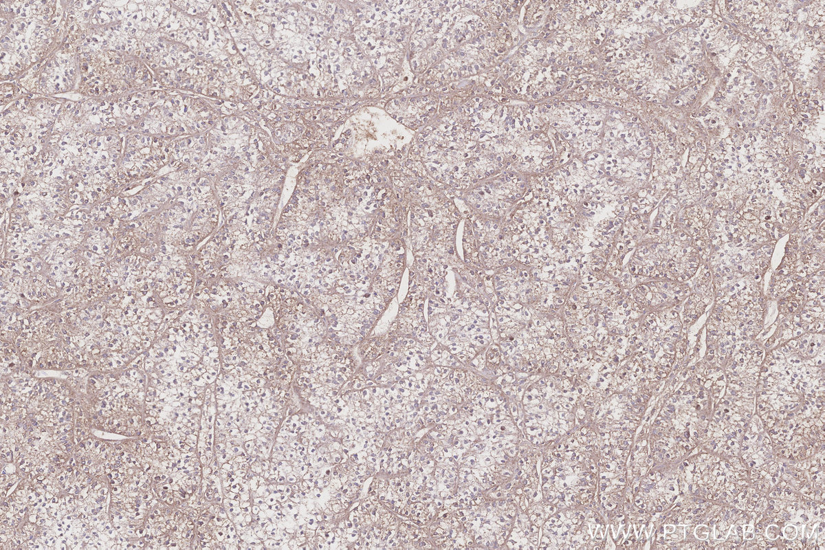
Validation Data Gallery
Product Information
KHC3178 is a ready-to-use IHC kit for staining of NDUFS7. The kit provides all reagents, from antigen retrieval to cover slip mounting, that require little to no diluting or handling prior to use. Simply apply the reagents to your sample slide according to the protocol and you're steps away from obtaining high-quality IHC data.
| Product name | IHCeasy® NDUFS7 Ready-To-Use IHC Kit |
| Sample type | FFPE tissue |
| Assay type | Immunohistochemistry |
| Primary antibody type | Rabbit Polyclonal |
| Secondary antibody type | Polymer-HRP-Goat anti-Rabbit |
| Reactivity | Human, Mouse, Rat |
Kit components
| Component | Size | Concentration |
|---|---|---|
| Antigen Retrieval Buffer | 100 mL | 50× |
| Washing Buffer | 100 mL ×2 | 20× |
| Blocking Buffer | 5 mL | RTU |
| Primary Antibody | 5 mL | RTU |
| Secondary Antibody | 5 mL | RTU |
| Chromogen Component A | 0.2 mL | RTU |
| Chromogen Component B | 4 mL | RTU |
| Signal Enhancer | 5 mL | RTU |
| Counter Staining Reagent | 5 mL | RTU |
| Mounting Media | 5 mL | RTU |
| Datasheet | 1 Copy | |
| Manual | 1 Copy |
Background Information
NDUFS7(NADH dehydrogenase [ubiquinone] iron-sulfur protein 7, mitochondrial) protein is one of the most conserved subunits of mitochondrial respiratory chain complex I and plays a central role in the interaction with the electron acceptor ubiquinone and in the proton-translocating mechanism. Defects in NDUFS7 are a cause of Leigh syndrome (LS) and mitochondrial complex I deficiency (MT-C1D).
Properties
| Storage Instructions | All the reagents are stored at 2-8°C. The kit is stable for 6 months from the date of receipt. |
| Synonyms | CI-20kD, Complex I-20kD, EC:7.1.1.2, NADH dehydrogenase [ubiquinone] iron-sulfur protein 7, mitochondrial, NADH-ubiquinone oxidoreductase 20 kDa subunit |



